验证数据展示
产品信息
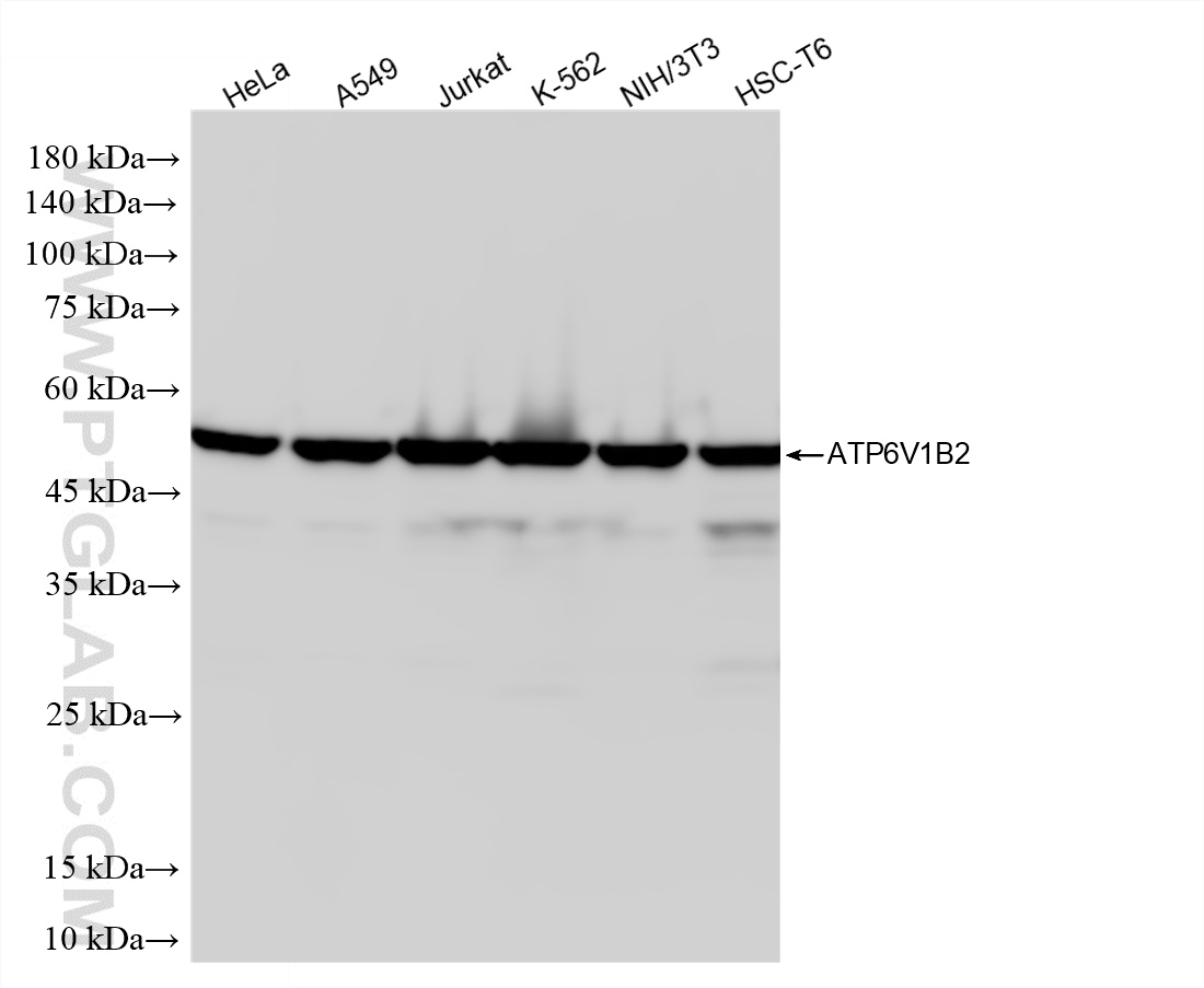
87302-4-PBS targets ATP6V1B2 in WB, IF/ICC, Indirect ELISA applications and shows reactivity with human, mouse, rat samples.
| 经测试应用 | WB, IF/ICC, Indirect ELISA Application Description |
| 经测试反应性 | human, mouse, rat |
| 免疫原 |
CatNo: Ag7174 Product name: Recombinant human ATP6V1B2 protein Source: e coli.-derived, PGEX-4T Tag: GST Domain: 162-511 aa of BC003100 Sequence: CRIYPEEMIQTGISAIDGMNSIARGQKIPIFSAAGLPHNEIAAQICRQAGLVKKSKDVVDYSEENFAIVFAAMGVNMETARFFKSDFEENGSMDNVCLFLNLANDPTIERIITPRLALTTAEFLAYQCEKHVLVILTDMSSYAEALREVSAAREEVPGRRGFPGYMYTDLATIYERAGRVEGRNGSITQIPILTMPNDDITHPIPDLTGYITEGQIYVDRQLHNRQIYPPINVLPSLSRLMKSAIGEGMTRKDHADVSNQLYACYAIGKDVQAMKAVVGEEALTSDDLLYLEFLQKFERNFIAQGPYENRTVFETLDIGWQLLRIFPKEMLKRIPQSTLSEFYPRDSAKH 种属同源性预测 |
| 宿主/亚型 | Rabbit / IgG |
| 抗体类别 | Recombinant |
| 产品类型 | Antibody |
| 全称 | ATPase, H+ transporting, lysosomal 56/58kDa, V1 subunit B2 |
| 别名 | ATP6B1B2, ATP6B2, HO57, VATB, V-ATPase subunit B 2 |
| 计算分子量 | 57 kDa |
| 观测分子量 | 56-58 kDa |
| GenBank蛋白编号 | BC003100 |
| 基因名称 | ATP6V1B2 |
| Gene ID (NCBI) | 526 |
| 偶联类型 | Unconjugated |
| 形式 | Liquid |
| 纯化方式 | Protein A purification |
| UNIPROT ID | P21281 |
| 储存缓冲液 | PBS only, pH 7.3. |
| 储存条件 | Store at -80°C. The product is shipped with ice packs. Upon receipt, store it immediately at -80°C |
背景介绍
ATP6V1B2(V-type proton ATPase subunit B, brain isoform) is also named as ATP6B2, VPP3,HO57. It belongs to the ATPase alpha/beta chains family.V-ATPase is an heteromultimeric enzyme composed of a peripheral catalytic V1 complex attached to an integral membrane V0 proton pore complex.The quasi-ubiquitous ATP6V1B2 is one of 2 isoforms of ATP6V1 and is expressed in most cell types, where it plays a major role in organelle acidification (PMID:18667600).



