验证数据展示
经过测试的应用
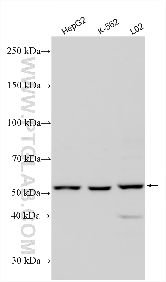
| Positive WB detected in | HepG2 cells, A549 cells, HeLa cells, mouse brain tissue, mouse heart tissue, mouse skeletal muscle tissue, K-562 cells, L02 cells, rat brain tissue |
| Positive IP detected in | mouse brain tissue |
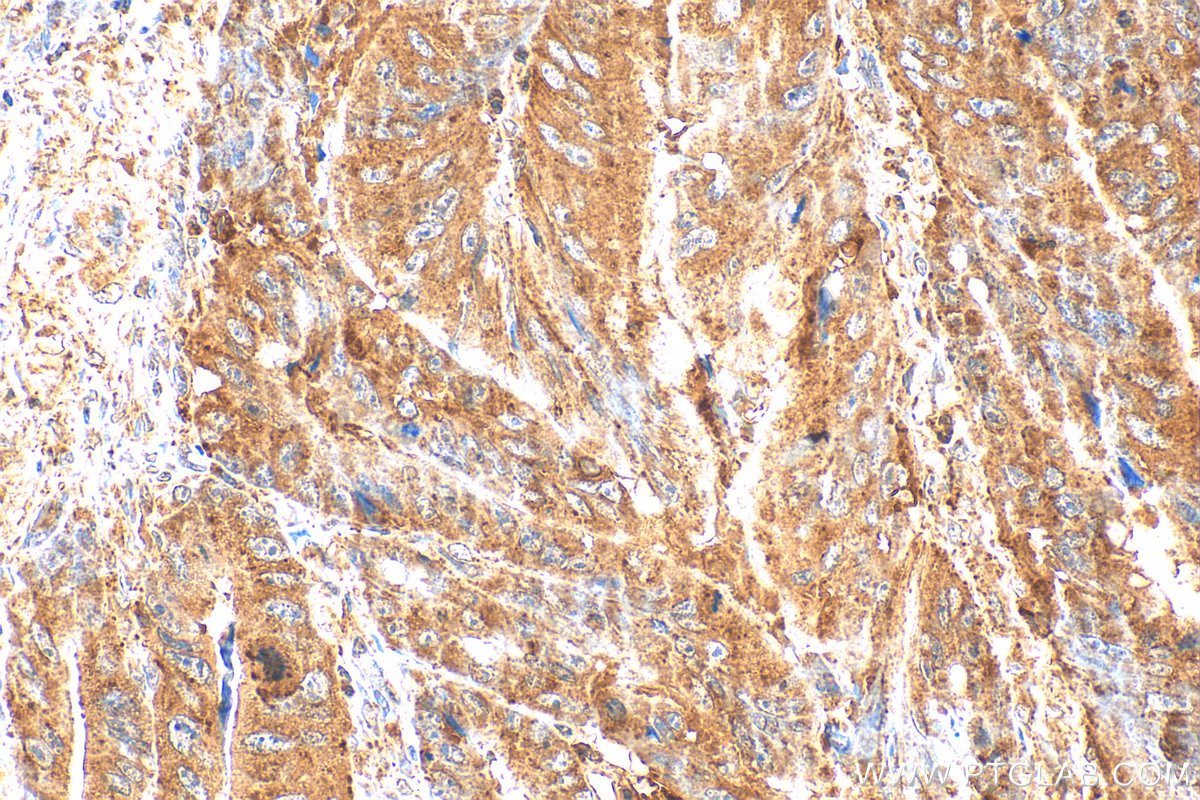
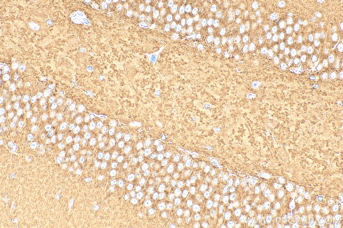
| Positive IHC detected in | human colon cancer tissue, mouse brain tissue Note: suggested antigen retrieval with TE buffer pH 9.0; (*) Alternatively, antigen retrieval may be performed with citrate buffer pH 6.0 |
推荐稀释比
| 应用 | 推荐稀释比 |
|---|---|
| Western Blot (WB) | WB : 1:2000-1:10000 |
| Immunoprecipitation (IP) | IP : 0.5-4.0 ug for 1.0-3.0 mg of total protein lysate |
| Immunohistochemistry (IHC) | IHC : 1:200-1:800 |
| It is recommended that this reagent should be titrated in each testing system to obtain optimal results. | |
| Sample-dependent, Check data in validation data gallery. | |
产品信息
15097-1-AP targets ATP6V1B2 in WB, IHC, IP, ELISA applications and shows reactivity with human, mouse, rat samples.
| 经测试应用 | WB, IHC, IP, ELISA Application Description |
| 文献引用应用 | WB, IHC, IP |
| 经测试反应性 | human, mouse, rat |
| 文献引用反应性 | human, mouse, pig, monkey |
| 免疫原 |
CatNo: Ag7174 Product name: Recombinant human ATP6V1B2 protein Source: e coli.-derived, PGEX-4T Tag: GST Domain: 162-511 aa of BC003100 Sequence: CRIYPEEMIQTGISAIDGMNSIARGQKIPIFSAAGLPHNEIAAQICRQAGLVKKSKDVVDYSEENFAIVFAAMGVNMETARFFKSDFEENGSMDNVCLFLNLANDPTIERIITPRLALTTAEFLAYQCEKHVLVILTDMSSYAEALREVSAAREEVPGRRGFPGYMYTDLATIYERAGRVEGRNGSITQIPILTMPNDDITHPIPDLTGYITEGQIYVDRQLHNRQIYPPINVLPSLSRLMKSAIGEGMTRKDHADVSNQLYACYAIGKDVQAMKAVVGEEALTSDDLLYLEFLQKFERNFIAQGPYENRTVFETLDIGWQLLRIFPKEMLKRIPQSTLSEFYPRDSAKH 种属同源性预测 |
| 宿主/亚型 | Rabbit / IgG |
| 抗体类别 | Polyclonal |
| 产品类型 | Antibody |
| 全称 | ATPase, H+ transporting, lysosomal 56/58kDa, V1 subunit B2 |
| 别名 | ATP6B1B2, ATP6B2, HO57, VATB, V-ATPase subunit B 2 |
| 计算分子量 | 57 kDa |
| 观测分子量 | 56-58 kDa |
| GenBank蛋白编号 | BC003100 |
| 基因名称 | ATP6V1B2 |
| Gene ID (NCBI) | 526 |
| RRID | AB_2243297 |
| 偶联类型 | Unconjugated |
| 形式 | Liquid |
| 纯化方式 | Antigen affinity purification |
| UNIPROT ID | P21281 |
| 储存缓冲液 | PBS with 0.02% sodium azide and 50% glycerol, pH 7.3. |
| 储存条件 | Store at -20°C. Stable for one year after shipment. Aliquoting is unnecessary for -20oC storage. |
背景介绍
ATP6V1B2(V-type proton ATPase subunit B, brain isoform) is also named as ATP6B2, VPP3,HO57. It belongs to the ATPase alpha/beta chains family.V-ATPase is an heteromultimeric enzyme composed of a peripheral catalytic V1 complex attached to an integral membrane V0 proton pore complex.The quasi-ubiquitous ATP6V1B2 is one of 2 isoforms of ATP6V1 and is expressed in most cell types, where it plays a major role in organelle acidification(PMID:18667600).
实验方案
| Product Specific Protocols | |
|---|---|
| IHC protocol for ATP6V1B2 antibody 15097-1-AP | Download protocol |
| IP protocol for ATP6V1B2 antibody 15097-1-AP | Download protocol |
| WB protocol for ATP6V1B2 antibody 15097-1-AP | Download protocol |
| Standard Protocols | |
|---|---|
| Click here to view our Standard Protocols |
发表文章
| Species | Application | Title |
|---|---|---|
Nat Microbiol The interferon-inducible isoform of NCOA7 inhibits endosome-mediated viral entry. | ||
Autophagy KAT7-mediated CANX (calnexin) crotonylation regulates leucine-stimulated MTORC1 activity. | ||
Cell Mol Life Sci The Ncoa7 locus regulates V-ATPase formation and function, neurodevelopment and behaviour. | ||
Microorganisms Exopolysaccharides from Bifidobacterium animalis Ameliorate Escherichia coli-Induced IPEC-J2 Cell Damage via Inhibiting Apoptosis and Restoring Autophagy. | ||
J Cancer Upregulation of V-ATPase by STAT3 Activation Promotes Anoikis Resistance and Tumor Metastasis. | ||
Vet Res Butyrate-mediated autophagy inhibition limits cytosolic Salmonella Infantis replication in the colon of pigs treated with a mixture of Lactobacillus and Bacillus. |











