验证数据展示
经过测试的应用
| Positive WB detected in | HeLa cells, HEK-293 cells, human brain tissue, mouse kidney tissue |
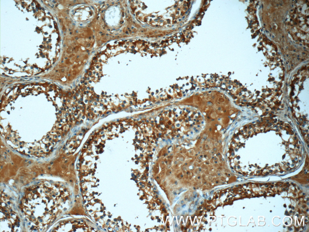
| Positive IHC detected in | human testis tissue Note: suggested antigen retrieval with TE buffer pH 9.0; (*) Alternatively, antigen retrieval may be performed with citrate buffer pH 6.0 |
推荐稀释比
| 应用 | 推荐稀释比 |
|---|---|
| Western Blot (WB) | WB : 1:500-1:1000 |
| Immunohistochemistry (IHC) | IHC : 1:20-1:200 |
| It is recommended that this reagent should be titrated in each testing system to obtain optimal results. | |
| Sample-dependent, Check data in validation data gallery. | |
产品信息
51152-1-AP targets ATP6V1A in WB, IHC, ELISA applications and shows reactivity with human, mouse samples.
| 经测试应用 | WB, IHC, ELISA Application Description |
| 经测试反应性 | human, mouse |
| 免疫原 | Peptide 种属同源性预测 |
| 宿主/亚型 | Rabbit / IgG |
| 抗体类别 | Polyclonal |
| 产品类型 | Antibody |
| 全称 | ATPase, H+ transporting, lysosomal 70kDa, V1 subunit A |
| 别名 | ATP6A1, ATP6V1A, ATP6V1A1, HO68, V ATPase 69 kDa subunit, V ATPase subunit A, VA68, Vacuolar ATPase isoform VA68, Vma1, VPP2 |
| 计算分子量 | 68 kDa |
| 观测分子量 | 68 kDa |
| GenBank蛋白编号 | NM_001690 |
| 基因名称 | ATP6V1A |
| Gene ID (NCBI) | 523 |
| RRID | AB_2881254 |
| 偶联类型 | Unconjugated |
| 形式 | Liquid |
| 纯化方式 | Antigen affinity purification |
| UNIPROT ID | P38606 |
| 储存缓冲液 | PBS with 0.02% sodium azide and 50% glycerol, pH 7.3. |
| 储存条件 | Store at -20°C. Stable for one year after shipment. Aliquoting is unnecessary for -20oC storage. |
背景介绍
The vacuolar-type H(+)-ATPase (V-ATPase) is responsible for the acidification of endosomes, lysosomes, and other intracellular organelles. It is also involved in hydrogen ion transport across the plasma membrane into the extracellular space. The V-ATPase is a multisubunit complex with cytosolic and transmembrane domains. The cytosolic catalytic domain consists of 3 A subunits and 3 B subunits, which bind and hydrolyze ATP, as well as regulatory accessory subunits.ATP6V1A is V-type proton ATPase catalytic subunit A.This antibody is specific to ATP6V1A.
实验方案
| Product Specific Protocols | |
|---|---|
| WB protocol for ATP6V1A antibody 51152-1-AP | Download protocol |
| IHC protocol for ATP6V1A antibody 51152-1-AP | Download protocol |
| Standard Protocols | |
|---|---|
| Click here to view our Standard Protocols |





