验证数据展示
经过测试的应用
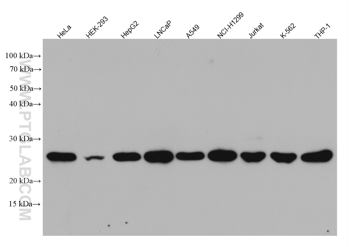
| Positive WB detected in | HeLa cells, HEK-293 cells, HepG2 cells, LNCaP cells, A549 cells, NCI-H1299 cells, Jurkat cells, K-562 cells, THP-1 cells |
| Positive IHC detected in | human liver cancer tissue, human colon cancer tissue Note: suggested antigen retrieval with TE buffer pH 9.0; (*) Alternatively, antigen retrieval may be performed with citrate buffer pH 6.0 |
| Positive IF/ICC detected in | HeLa cells |
推荐稀释比
| 应用 | 推荐稀释比 |
|---|---|
| Western Blot (WB) | WB : 1:2000-1:10000 |
| Immunohistochemistry (IHC) | IHC : 1:500-1:2000 |
| Immunofluorescence (IF)/ICC | IF/ICC : 1:50-1:500 |
| It is recommended that this reagent should be titrated in each testing system to obtain optimal results. | |
| Sample-dependent, Check data in validation data gallery. | |
发表文章中的应用
| WB | See 1 publications below |
产品信息
66696-1-Ig targets ATP5O in WB, IHC, IF/ICC, ELISA applications and shows reactivity with human samples.
| 经测试应用 | WB, IHC, IF/ICC, ELISA Application Description |
| 文献引用应用 | WB |
| 经测试反应性 | human |
| 文献引用反应性 | human |
| 免疫原 |
CatNo: Ag1458 Product name: Recombinant human ATP5O protein Source: e coli.-derived, PGEX-4T Tag: GST Domain: 1-213 aa of BC021233 Sequence: MAAPAVSGLSRQVRCFSTSVVRPFAKLVRPPVQVYGIEGRYATALYSAASKQNKLEQVEKELLRVAQILKEPKVAASVLNPYVKRSIKVKSLNDITAKERFSPLTTNLINLLAENGRLSNTQGVVSAFSTMMSVHRGEVPCTVTSASPLEEATLSELKTVLKSFLSQGQVLKLEAKTDPSILGGMIVRIGEKYVDMSVKTKIQKLGRAMREIV 种属同源性预测 |
| 宿主/亚型 | Mouse / IgG1 |
| 抗体类别 | Monoclonal |
| 产品类型 | Antibody |
| 全称 | ATP synthase, H+ transporting, mitochondrial F1 complex, O subunit |
| 别名 | ATP5PO, 1D3B8, ATP synthase peripheral stalk subunit OSCP, ATPO, OSCP |
| 计算分子量 | 23 kDa |
| 观测分子量 | 23-25 kDa |
| GenBank蛋白编号 | BC021233 |
| 基因名称 | ATP5O |
| Gene ID (NCBI) | 539 |
| RRID | AB_2882049 |
| 偶联类型 | Unconjugated |
| 形式 | Liquid |
| 纯化方式 | Protein G purification |
| UNIPROT ID | P48047 |
| 储存缓冲液 | PBS with 0.02% sodium azide and 50% glycerol, pH 7.3. |
| 储存条件 | Store at -20°C. Stable for one year after shipment. Aliquoting is unnecessary for -20oC storage. |
背景介绍
ATP5O(ATP synthase subunit O, mitochondrial) is also named as ATPO, OSCP and belongs to the ATPase delta chain family. The gene encodes the oligomycin sensitivity-conferring protein (OSCP) of ATP synthase. The predicted polypeptide is 213 amino acids long with more than 80% identity to the bovine and mouse homologs and it is expressed at highest levels in muscle and heart by the northern blot(PMID:7490082). Many studies have indicated that mitochondrial dysfunction is central to the development of most age-related human diseases including neurodegenerative diseases, cancer, and type 2 diabetes.
实验方案
| Product Specific Protocols | |
|---|---|
| IF protocol for ATP5O antibody 66696-1-Ig | Download protocol |
| IHC protocol for ATP5O antibody 66696-1-Ig | Download protocol |
| WB protocol for ATP5O antibody 66696-1-Ig | Download protocol |
| Standard Protocols | |
|---|---|
| Click here to view our Standard Protocols |








