验证数据展示
经过测试的应用
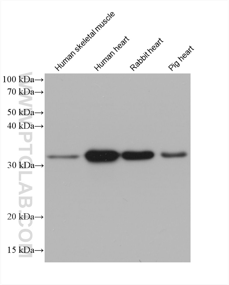
| Positive WB detected in | human heart tissue, fetal human brain tissue, HeLa cells, Caki-1 cells, human skeletal muscle tissue, TF-1 cells, Rabbit heart tissue, Pig heart tissue |
| Positive IHC detected in | human liver cancer tissue Note: suggested antigen retrieval with TE buffer pH 9.0; (*) Alternatively, antigen retrieval may be performed with citrate buffer pH 6.0 |
| Positive IF/ICC detected in | HepG2 cells |
| Positive FC (Intra) detected in | HeLa cells |
推荐稀释比
| 应用 | 推荐稀释比 |
|---|---|
| Western Blot (WB) | WB : 1:500-1:2000 |
| Immunohistochemistry (IHC) | IHC : 1:100-1:400 |
| Immunofluorescence (IF)/ICC | IF/ICC : 1:50-1:500 |
| Flow Cytometry (FC) (INTRA) | FC (INTRA) : 0.40 ug per 10^6 cells in a 100 µl suspension |
| It is recommended that this reagent should be titrated in each testing system to obtain optimal results. | |
| Sample-dependent, Check data in validation data gallery. | |
发表文章中的应用
| WB | See 4 publications below |
产品信息
60284-1-Ig targets ATP5C1 in WB, IHC, IF/ICC, FC (Intra), ELISA applications and shows reactivity with human, pig, rabbit samples.
| 经测试应用 | WB, IHC, IF/ICC, FC (Intra), ELISA Application Description |
| 文献引用应用 | WB |
| 经测试反应性 | human, pig, rabbit |
| 文献引用反应性 | human, zebrafish |
| 免疫原 |
CatNo: Ag1343 Product name: Recombinant human ATP5C1 protein Source: e coli.-derived, PGEX-4T Tag: GST Domain: 1-298 aa of BC000931 Sequence: MFSRAGVAGLSAWTLQPQWIQVRNMATLKDITRRLKSIKNIQKITKSMKMVAAAKYARAERELKPARIYGLGSLALYEKADIKGPEDKKKHLLIGVSSDRGLCGAIHSSIAKQMKSEVATLTAAGKEVMLVGIGDKIRGILYRTHSDQFLVAFKEVGRKPPTFGDASVIALELLNSGYEFDEGSIIFNKFRSVISYKTEEKPIFSLNTVASADSMSIYDDIDADVLQNYQEYNLANIIYYSLKESTTSEQSARMTAMDNASKNASEMIDKLTLTFNRTRQAVITKELIEIISGAAALD 种属同源性预测 |
| 宿主/亚型 | Mouse / IgG2a |
| 抗体类别 | Monoclonal |
| 产品类型 | Antibody |
| 全称 | ATP synthase, H+ transporting, mitochondrial F1 complex, gamma polypeptide 1 |
| 别名 | 1B5A2, ATP synthase F1 subunit gamma, ATP5C, ATP5CL1, ATP5F1C |
| 计算分子量 | 33 kDa |
| 观测分子量 | 33 kDa |
| GenBank蛋白编号 | BC000931 |
| 基因名称 | ATP5C1 |
| Gene ID (NCBI) | 509 |
| RRID | AB_2881402 |
| 偶联类型 | Unconjugated |
| 形式 | Liquid |
| 纯化方式 | Protein A purification |
| UNIPROT ID | P36542 |
| 储存缓冲液 | PBS with 0.02% sodium azide and 50% glycerol, pH 7.3. |
| 储存条件 | Store at -20°C. Stable for one year after shipment. Aliquoting is unnecessary for -20oC storage. |
背景介绍
ATP5C1(ATP synthase subunit gamma, mitochondrial) is also named as ATP5C, ATP5CL1 and belongs to the ATPase gamma chain family. Some scientists reported the complete sequence of the gene for the human ATP synthase gamma subunit and described tissue-specific isoforms of the subunit generated by alternative splicing of exon 9. The liver (L) isoform differed from the heart (H) isoform by the addition of a single amino acid (asp273) at the C terminus. (PMID:8227057).
实验方案
| Product Specific Protocols | |
|---|---|
| FC protocol for ATP5C1 antibody 60284-1-Ig | Download protocol |
| IF protocol for ATP5C1 antibody 60284-1-Ig | Download protocol |
| IHC protocol for ATP5C1 antibody 60284-1-Ig | Download protocol |
| WB protocol for ATP5C1 antibody 60284-1-Ig | Download protocol |
| Standard Protocols | |
|---|---|
| Click here to view our Standard Protocols |
发表文章
| Species | Application | Title |
|---|---|---|
Nucleic Acids Res Ablation of Mto1 in zebrafish exhibited hypertrophic cardiomyopathy manifested by mitochondrion RNA maturation deficiency. | ||
Autophagy AKT-mediated phosphorylation of ATG4B impairs mitochondrial activity and enhances the Warburg effect in hepatocellular carcinoma cells. | ||
Nucleic Acids Res Deletion of Gtpbp3 in zebrafish revealed the hypertrophic cardiomyopathy manifested by aberrant mitochondrial tRNA metabolism. | ||
Nat Cell Biol Small heat shock proteins operate as molecular chaperones in the mitochondrial intermembrane space |









