验证数据展示
经过测试的应用
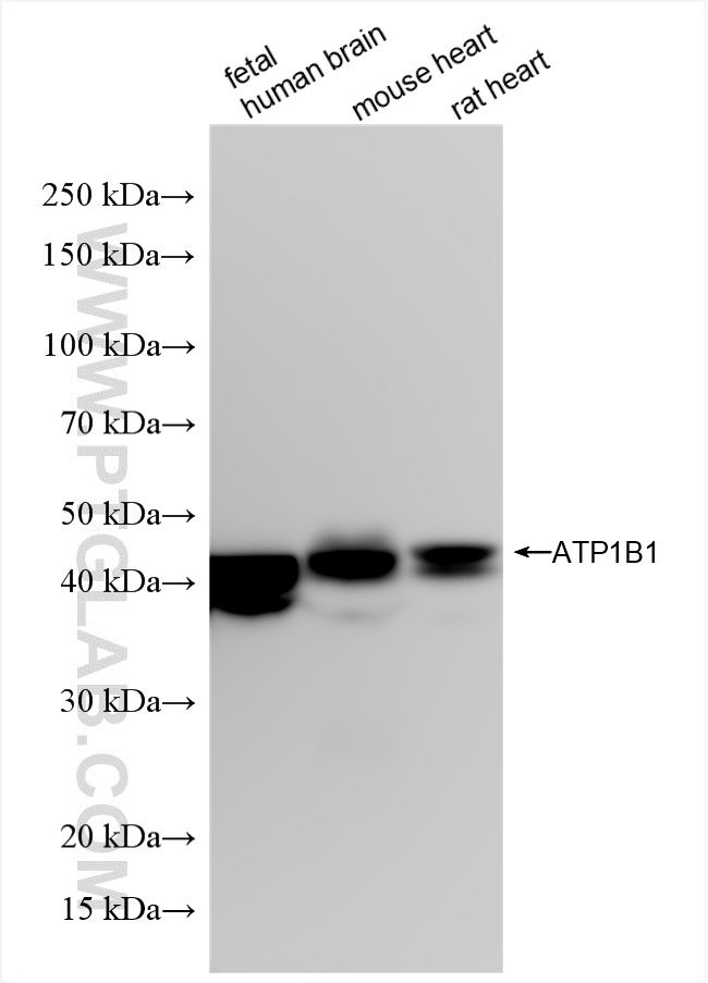
| Positive WB detected in | mouse brain tissue, fetal human brain tissue, mouse heart tissue, rat heart tissue, rat brain tissue |
| Positive IHC detected in | mouse brain tissue, mouse liver tissue Note: suggested antigen retrieval with TE buffer pH 9.0; (*) Alternatively, antigen retrieval may be performed with citrate buffer pH 6.0 |
推荐稀释比
| 应用 | 推荐稀释比 |
|---|---|
| Western Blot (WB) | WB : 1:5000-1:50000 |
| Immunohistochemistry (IHC) | IHC : 1:250-1:1000 |
| It is recommended that this reagent should be titrated in each testing system to obtain optimal results. | |
| Sample-dependent, Check data in validation data gallery. | |
发表文章中的应用
| WB | See 1 publications below |
产品信息
85916-1-RR targets ATP1B1 in WB, IHC, IF-P, ELISA applications and shows reactivity with human, mouse, rat samples.
| 经测试应用 | WB, IHC, ELISA Application Description |
| 文献引用应用 | WB |
| 经测试反应性 | human, mouse, rat |
| 文献引用反应性 | human |
| 免疫原 |
CatNo: Eg3007 Product name: Recombinant Mouse ATP1B1 protein (rFc Tag) Source: mammalian cells-derived, V37 Tag: C-rFc Domain: 63-304 aa of NM_009721.6 Sequence: ELKPTYQDRVAPPGLTQIPQIQKTEISFRPNDPKSYEAYVLNIIRFLEKYKDSAQKDDMIFEDCGNVPSEPKERGDINHERGERKVCRFKLDWLGNCSGLNDDSYGYREGKPCIIIKLNRVLGFKPKPPKNESLETYPLMMKYNPNVLPVQCTGKRDEDKDKVGNIEYFGMGGYYGFPLQYYPYYGKLLQPKYLQPLLAVQFTNLTVDTEIRVECKAYGENIGYSEKDRFQGRFDVKIEIKS 种属同源性预测 |
| 宿主/亚型 | Rabbit / IgG |
| 抗体类别 | Recombinant |
| 产品类型 | Antibody |
| 全称 | ATPase, Na+/K+ transporting, beta 1 polypeptide |
| 别名 | ATP1B 1, Atp4b, Beta 1 subunit of Na(+) K(+) ATPase, Na, K-ATPase β1, Na+/K+ ATPase beta 1 subunit |
| 计算分子量 | 35 kDa |
| 观测分子量 | 40-50 kDa |
| GenBank蛋白编号 | NM_009721.6 |
| 基因名称 | Atp1b1 |
| Gene ID (NCBI) | 11931 |
| RRID | AB_3744471 |
| 偶联类型 | Unconjugated |
| 形式 | Liquid |
| 纯化方式 | Protein A purification |
| UNIPROT ID | P14094 |
| 储存缓冲液 | PBS with 0.02% sodium azide and 50% glycerol, pH 7.3. |
| 储存条件 | Store at -20°C. Stable for one year after shipment. Aliquoting is unnecessary for -20oC storage. |
背景介绍
ATP1B1 is one of beta subunits of the Na+/K+ ATPase and responsible for formation and structural integrity of the Na+/K+ ATPase. The Na+/K+ ATPase is a plasma membrane pump consisting of alpha, beta, and gamma subunits. At least four of Na+/K+-ATPase beta subunits (β1, β2, β3, β4) have been identified in mammalian cells; the β1-subunit (ATP1B1) is the most ubiquitous. The Na+/K+ ATPase β subunits have multiple N-glycosylation sites. The predicted MW of ATP1B1 is 35 kDa, while it migrates around 40-52 kDa due to the variable glycosylation. (PMID: 10896885, 17714085)
实验方案
| Product Specific Protocols | |
|---|---|
| IHC protocol for ATP1B1 antibody 85916-1-RR | Download protocol |
| WB protocol for ATP1B1 antibody 85916-1-RR | Download protocol |
| Standard Protocols | |
|---|---|
| Click here to view our Standard Protocols |



