验证数据展示
经过测试的应用
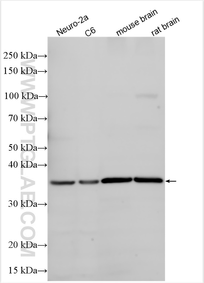
| Positive WB detected in | Neuro-2a cells, HepG2 cells, mouse small intestine tissue, mouse brain tissue, rat brain tissue, C6 cells |
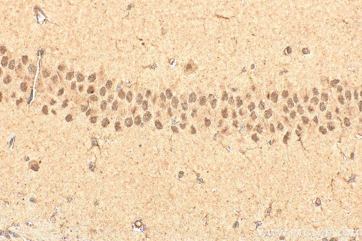
| Positive IHC detected in | human colon cancer tissue, mouse brain tissue Note: suggested antigen retrieval with TE buffer pH 9.0; (*) Alternatively, antigen retrieval may be performed with citrate buffer pH 6.0 |
| Positive IF/ICC detected in | HepG2 cells |
| Positive FC (Intra) detected in | HepG2 cells |
推荐稀释比
| 应用 | 推荐稀释比 |
|---|---|
| Western Blot (WB) | WB : 1:1000-1:6000 |
| Immunohistochemistry (IHC) | IHC : 1:1000-1:4000 |
| Immunofluorescence (IF)/ICC | IF/ICC : 1:400-1:1600 |
| Flow Cytometry (FC) (INTRA) | FC (INTRA) : 0.4 ug per 10^6 cells in a 100 µl suspension |
| It is recommended that this reagent should be titrated in each testing system to obtain optimal results. | |
| Sample-dependent, Check data in validation data gallery. | |
产品信息
21215-1-AP targets ATOH1 in WB, IHC, IF/ICC, FC (Intra), chIP, ELISA applications and shows reactivity with human, mouse, rat samples.
| 经测试应用 | WB, IHC, IF/ICC, FC (Intra), ELISA Application Description |
| 文献引用应用 | WB, IHC, IF, chIP |
| 经测试反应性 | human, mouse, rat |
| 文献引用反应性 | human, mouse, rat, pig, monkey, chicken |
| 免疫原 |
CatNo: Ag15615 Product name: Recombinant human ATOH1 protein Source: e coli.-derived, PGEX-4T Tag: GST Domain: 1-354 aa of BC069594 Sequence: MSRLLHAEEWAEVKELGDHHRQPQPHHLPQPPPPPQPPATLQAREHPVYPPELSLLDSTDPRAWLAPTLQGICTARAAQYLLHSPELGASEAAAPRDEVDGRGELVRRSSGGASSSKSPGPVKVREQLCKLKGGVVVDELGCSRQRAPSSKQVNGVQKQRRLAANARERRRMHGLNHAFDQLRNVIPSFNNDKKLSKYETLQMAQIYINALSELLQTPSGGEQPPPPPASCKSDHHHLRTAASYEGGAGNATAAGAQQASGGSQRPTPPGSCRTRFSAPASAGGYSVQLDALHFSTFEDSALTAMMAQKNLSPSLPGSILQPVQEENSKTSPRSHRSDGEFSPHSHYSDSDEAS 种属同源性预测 |
| 宿主/亚型 | Rabbit / IgG |
| 抗体类别 | Polyclonal |
| 产品类型 | Antibody |
| 全称 | atonal homolog 1 (Drosophila) |
| 别名 | ATH1, bHLHa14, Class A basic helix-loop-helix protein 14, HATH1, Helix-loop-helix protein hATH-1 |
| 计算分子量 | 354 aa, 38 kDa |
| 观测分子量 | 35-40 kDa |
| GenBank蛋白编号 | BC069594 |
| 基因名称 | ATOH1 |
| Gene ID (NCBI) | 474 |
| RRID | AB_10733126 |
| 偶联类型 | Unconjugated |
| 形式 | Liquid |
| 纯化方式 | Antigen affinity purification |
| UNIPROT ID | Q92858 |
| 储存缓冲液 | PBS with 0.02% sodium azide and 50% glycerol, pH 7.3. |
| 储存条件 | Store at -20°C. Stable for one year after shipment. Aliquoting is unnecessary for -20oC storage. |
背景介绍
ATOH1, also named as Protein atonal homolog 1 or BHLHA14, is a 364 amino acid protein, which contains 1 bHLH (basic helix-loop-helix) domain. ATOH1,as a transcriptional regulator in the nucleus activates E box-dependent transcription in collaboration with TCF3/E47, but the activity is completely antagonized by the negative regulator of neurogenesis HES1. ATOH1 plays a role in the differentiation of subsets of neural cells by activating E box-dependent transcription.
实验方案
| Product Specific Protocols | |
|---|---|
| FC protocol for ATOH1 antibody 21215-1-AP | Download protocol |
| IF protocol for ATOH1 antibody 21215-1-AP | Download protocol |
| IHC protocol for ATOH1 antibody 21215-1-AP | Download protocol |
| WB protocol for ATOH1 antibody 21215-1-AP | Download protocol |
| Standard Protocols | |
|---|---|
| Click here to view our Standard Protocols |
发表文章
| Species | Application | Title |
|---|---|---|
Cell Res Decoding the spatiotemporal regulation of transcription factors during human spinal cord development | ||
Immunity IL-17RA-signaling in Lgr5+ intestinal stem cells induces expression of transcription factor ATOH1 to promote secretory cell lineage commitment. | ||
Nat Cell Biol Merkel cell polyomavirus activates LSD1-mediated blockade of non-canonical BAF to regulate transformation and tumorigenesis. | ||
J Clin Invest Sox2 haploinsufficiency primes regeneration and Wnt responsiveness in the mouse cochlea. | ||
Dev Cell Self-organized pattern formation in the developing mouse neural tube by a temporal relay of BMP signaling | ||
Proc Natl Acad Sci U S A Sufu- and Spop-mediated regulation of Gli2 is essential for the control of mammalian cochlear hair cell differentiation |











