验证数据展示
经过测试的应用
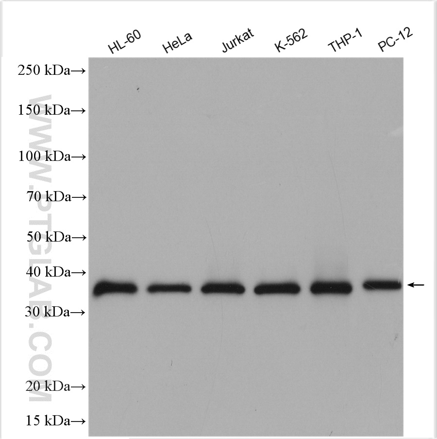
| Positive WB detected in | HL-60 cells, HeLa cells, Jurkat cells, K-562 cells, THP-1 cells, PC-12 cells |
| Positive IHC detected in | mouse kidney tissue Note: suggested antigen retrieval with TE buffer pH 9.0; (*) Alternatively, antigen retrieval may be performed with citrate buffer pH 6.0 |
| Positive IF/ICC detected in | HEK-293 cells |
推荐稀释比
| 应用 | 推荐稀释比 |
|---|---|
| Western Blot (WB) | WB : 1:2000-1:12000 |
| Immunohistochemistry (IHC) | IHC : 1:500-1:2000 |
| Immunofluorescence (IF)/ICC | IF/ICC : 1:200-1:800 |
| It is recommended that this reagent should be titrated in each testing system to obtain optimal results. | |
| Sample-dependent, Check data in validation data gallery. | |
产品信息
11262-2-AP targets ATG3 in WB, IHC, IF/ICC, ELISA applications and shows reactivity with human, mouse, rat samples.
| 经测试应用 | WB, IHC, IF/ICC, ELISA Application Description |
| 文献引用应用 | WB, IHC, IF |
| 经测试反应性 | human, mouse, rat |
| 文献引用反应性 | human, mouse, rat, pig |
| 免疫原 |
CatNo: Ag1785 Product name: Recombinant human ATG3 protein Source: e coli.-derived, PGEX-4T Tag: GST Domain: 1-314 aa of BC024221 Sequence: MQNVINTVKGKALEVAEYLTPVLKESKFKETGVITPEEFVAAGDHLVHHCPTWQWATGEELKVKAYLPTGKQFLVTKNVPCYKRCKQMEYSDELEAIIEEDDGDGGWVDTYHNTGITGITEAVKEITLENKDNIRLQDCSALCEEEEDEDEGEAADMEEYEESGLLETDEATLDTRKIVEACKAKTDAGGEDAILQTRTYDLYITYDKYYQTPRLWLFGYDEQRQPLTVEHMYEDISQDHVKKTVTIENHPHLPPPPMCSVHPCRHAEVMKKIIETVAEGGGELGVHMYLLIFLKFVQAVIPTIEYDYTRHFTM 种属同源性预测 |
| 宿主/亚型 | Rabbit / IgG |
| 抗体类别 | Polyclonal |
| 产品类型 | Antibody |
| 全称 | ATG3 autophagy related 3 homolog (S. cerevisiae) |
| 别名 | Autophagy-related protein 3, ATG 3, APG3-like, APG3L, APG3 LIKE |
| 计算分子量 | 36 kDa |
| 观测分子量 | 36-40 kDa |
| GenBank蛋白编号 | BC024221 |
| 基因名称 | ATG3 |
| Gene ID (NCBI) | 64422 |
| RRID | AB_2059234 |
| 偶联类型 | Unconjugated |
| 形式 | Liquid |
| 纯化方式 | Antigen affinity purification |
| UNIPROT ID | Q9NT62 |
| 储存缓冲液 | PBS with 0.02% sodium azide and 50% glycerol, pH 7.3. |
| 储存条件 | Store at -20°C. Stable for one year after shipment. Aliquoting is unnecessary for -20oC storage. |
背景介绍
Autophagy is a lysosome-dependent conserved catabolic process in response to various stresses, such as oxidative stress and ischemia, for the degradation and recycling of aged or dysfunctional intracellular components and damaged organelles. A large group of autophagy-related genes (ATGs) have been identifed as essential drivers in diferent stages of autophagy. Autophagy-related 3 (ATG3), one of the autophagyrelated gene family members, serves as an E2-like enzyme contributing to the conjugation of microtubule-associated protein light chain 3 (LC3) to lipid phosphotidylethanolamine (PE). ATG3 plays a signifcant role in the regulation of autophagy, viability, and death.
实验方案
| Product Specific Protocols | |
|---|---|
| IF protocol for ATG3 antibody 11262-2-AP | Download protocol |
| IHC protocol for ATG3 antibody 11262-2-AP | Download protocol |
| WB protocol for ATG3 antibody 11262-2-AP | Download protocol |
| Standard Protocols | |
|---|---|
| Click here to view our Standard Protocols |
发表文章
| Species | Application | Title |
|---|---|---|
Cell Death Dis Cytoplasmic fragment of CD147 generated by regulated intramembrane proteolysis contributes to HCC by promoting autophagy. | ||
Chemosphere Genome-wide transcriptional profiling and functional analysis reveal miR-330-MAPK15 axis involving in cellular responses to deoxynivalenol exposure. | ||
Front Cell Dev Biol Aquaporin-8 transports hydrogen peroxide to regulate granulosa cell autophagy | ||
Front Immunol Toxoplasma gondii CDPK3 Controls the Intracellular Proliferation of Parasites in Macrophages. | ||
Oncotarget Upregulation of the lncRNA Meg3 induces autophagy to inhibit tumorigenesis and progression of epithelial ovarian carcinoma by regulating activity of ATG3. | ||
Ecotoxicol Environ Saf Exposure to DEHP induces testis toxicity and injury through the ROS/mTOR/NLRP3 signaling pathway in immature rats. |



