验证数据展示
经过测试的应用
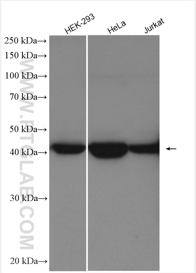
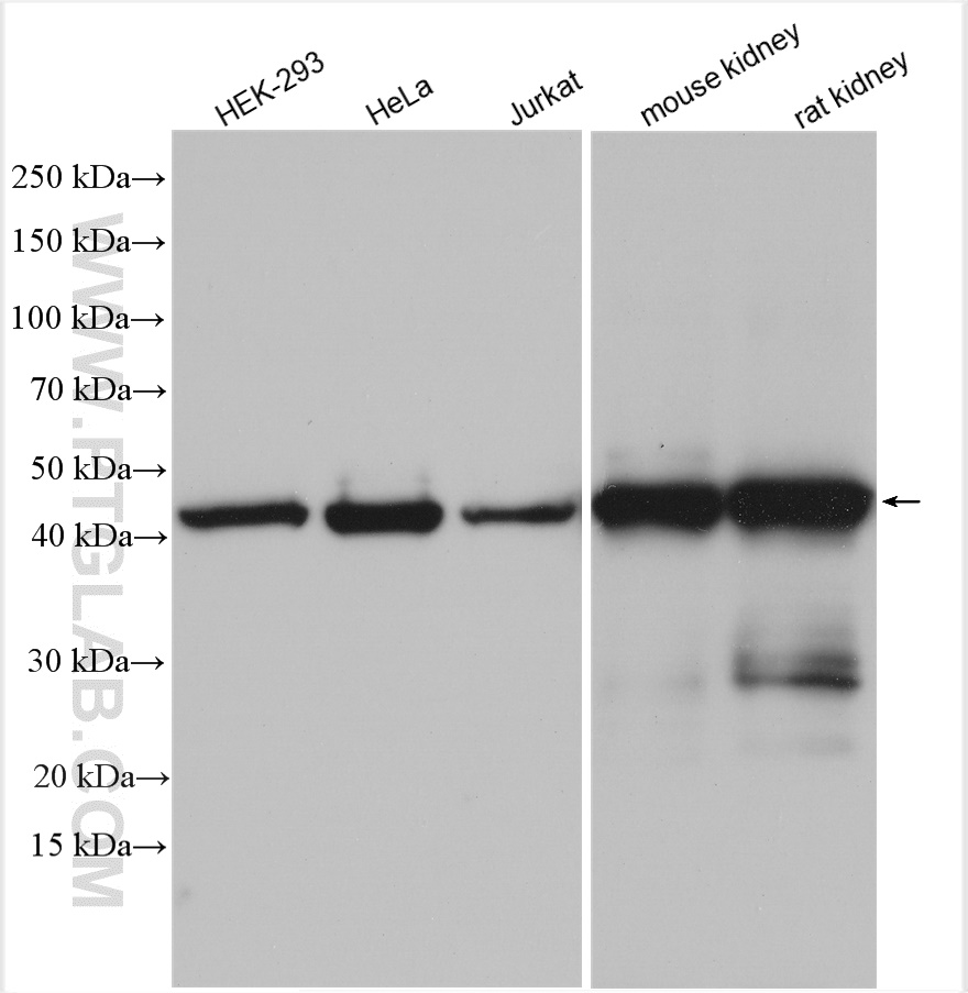
| Positive WB detected in | HEK-293 cells, HeLa cells, rat kidney tissue, SMMC-7721 cells, Jurkat cells, mouse kidney tissue |
| Positive IP detected in | HeLa cells |
| Positive IHC detected in | human testis tissue, human liver tissue, human placenta tissue, human liver cancer tissue Note: suggested antigen retrieval with TE buffer pH 9.0; (*) Alternatively, antigen retrieval may be performed with citrate buffer pH 6.0 |
| Positive IF/ICC detected in | HeLa cells |
| Positive FC (Intra) detected in | HeLa cells |
推荐稀释比
| 应用 | 推荐稀释比 |
|---|---|
| Western Blot (WB) | WB : 1:5000-1:50000 |
| Immunoprecipitation (IP) | IP : 0.5-4.0 ug for 1.0-3.0 mg of total protein lysate |
| Immunohistochemistry (IHC) | IHC : 1:50-1:500 |
| Immunofluorescence (IF)/ICC | IF/ICC : 1:200-1:800 |
| Flow Cytometry (FC) (INTRA) | FC (INTRA) : 0.25 ug per 10^6 cells in a 100 µl suspension |
| It is recommended that this reagent should be titrated in each testing system to obtain optimal results. | |
| Sample-dependent, Check data in validation data gallery. | |
产品信息
16210-1-AP targets ASS1 in WB, IHC, IF/ICC, FC (Intra), IP, CoIP, ChIP, ELISA applications and shows reactivity with human, mouse, rat samples.
| 经测试应用 | WB, IHC, IF/ICC, FC (Intra), IP, ELISA Application Description |
| 文献引用应用 | WB, IHC, IF, CoIP, ChIP |
| 经测试反应性 | human, mouse, rat |
| 文献引用反应性 | human, mouse, rat |
| 免疫原 |
CatNo: Ag9200 Product name: Recombinant human ASS1 protein Source: e coli.-derived, PGEX-4T Tag: GST Domain: 149-412 aa of BC009243 Sequence: EFYNRFKGRNDLMEYAKQHGIPIPVTPKNPWSMDENLMHISYEAGILENPKNQAPPGLYTKTQDPAKAPNTPDILEIEFKKGVPVKVTNVKDGTTHQTSLELFMYLNEVAGKHGVGRIDIVENRFIGMKSRGIYETPAGTILYHAHLDIEAFTMDREVRKIKQGLGLKFAELVYTGFWHSPECEFVRHCIAKSQERVEGKVQVSVLKGQVYILGRESPLSLYNEELVSMNVQGDYEPTDATGFININSLRLKEYHRLQSKVTAK 种属同源性预测 |
| 宿主/亚型 | Rabbit / IgG |
| 抗体类别 | Polyclonal |
| 产品类型 | Antibody |
| 全称 | argininosuccinate synthetase 1 |
| 别名 | ASS, EC:6.3.4.5 |
| 计算分子量 | 412 aa, 47 kDa |
| 观测分子量 | 45 kDa |
| GenBank蛋白编号 | BC009243 |
| 基因名称 | ASS1 |
| Gene ID (NCBI) | 445 |
| RRID | AB_2060466 |
| 偶联类型 | Unconjugated |
| 形式 | Liquid |
| 纯化方式 | Antigen affinity purification |
| UNIPROT ID | P00966 |
| 储存缓冲液 | PBS with 0.02% sodium azide and 50% glycerol, pH 7.3. |
| 储存条件 | Store at -20°C. Stable for one year after shipment. Aliquoting is unnecessary for -20oC storage. |
背景介绍
ASS1 is a rate-limiting enzyme in the urea cycle. Citrullinemia type I is an autosomal recessive disorder that is caused by a deficiency of the urea cycle enzyme argininosuccinate synthetase (ASS1). Deficiency of ASS1 shows various clinical manifestations encompassing severely affected patients with fatal neonatal hyperammonemia as well as asymptomatic individuals with only a biochemical phenotype(PMID:19006241).
实验方案
| Product Specific Protocols | |
|---|---|
| FC protocol for ASS1 antibody 16210-1-AP | Download protocol |
| IF protocol for ASS1 antibody 16210-1-AP | Download protocol |
| IHC protocol for ASS1 antibody 16210-1-AP | Download protocol |
| IP protocol for ASS1 antibody 16210-1-AP | Download protocol |
| WB protocol for ASS1 antibody 16210-1-AP | Download protocol |
| Standard Protocols | |
|---|---|
| Click here to view our Standard Protocols |
发表文章
| Species | Application | Title |
|---|---|---|
Immunity Excessive Polyamine Generation in Keratinocytes Promotes Self-RNA Sensing by Dendritic Cells in Psoriasis. | ||
Sci Transl Med An extracorporeal bioartificial liver embedded with 3D-layered human liver progenitor-like cells relieves acute liver failure in pigs. | ||
Mol Cell Arginine deprivation enriches lung cancer proteomes with cysteine by inducing arginine-to-cysteine substitutants | ||
Autophagy BNIP3-dependent mitophagy promotes cytosolic localization of LC3B and metabolic homeostasis in the liver. | ||
J Am Soc Nephrol Hnf4a Is Required for the Development of Cdh6-Expressing Progenitors into Proximal Tubules in the Mouse Kidney. |




















