验证数据展示
经过测试的应用
| Positive WB detected in | HEK-293 cells, HeLa cells, A431 cells, BxPC-3 cells |
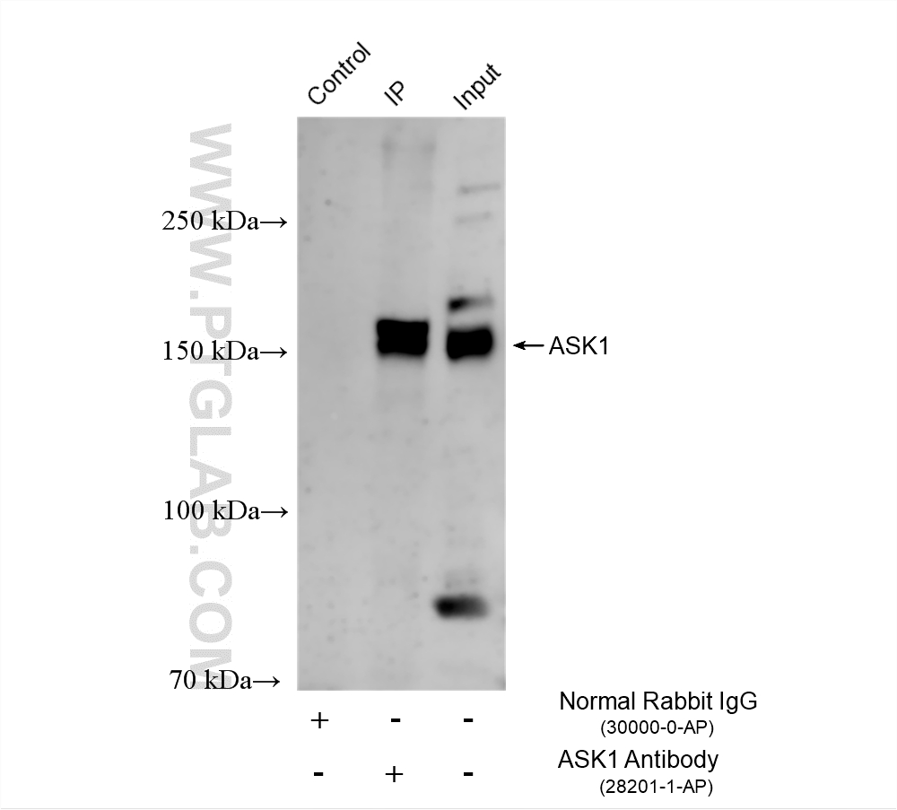
| Positive IP detected in | HeLa cells |
| Positive IHC detected in | human pancreas cancer tissue, mouse heart tissue Note: suggested antigen retrieval with TE buffer pH 9.0; (*) Alternatively, antigen retrieval may be performed with citrate buffer pH 6.0 |
推荐稀释比
| 应用 | 推荐稀释比 |
|---|---|
| Western Blot (WB) | WB : 1:500-1:2000 |
| Immunoprecipitation (IP) | IP : 0.5-4.0 ug for 1.0-3.0 mg of total protein lysate |
| Immunohistochemistry (IHC) | IHC : 1:200-1:800 |
| It is recommended that this reagent should be titrated in each testing system to obtain optimal results. | |
| Sample-dependent, Check data in validation data gallery. | |
产品信息
28201-1-AP targets ASK1 in WB, IHC, IP, ELISA applications and shows reactivity with human, mouse samples.
| 经测试应用 | WB, IHC, IP, ELISA Application Description |
| 文献引用应用 | WB, IP |
| 经测试反应性 | human, mouse |
| 文献引用反应性 | human, mouse, rat |
| 免疫原 |
CatNo: Ag28092 Product name: Recombinant human ASK1 protein Source: e coli.-derived, PGEX-4T Tag: GST Domain: 1180-1374 aa of BC054503 Sequence: LASESDTADQEDLDVEDDHEEQPSNQTVRRPQAVIEDAVATSGVSTLSSTVSHDSQSAHRSLNVQLGRMKIETNRLLEELVRKEKELQALLHRAIEEKDQEIKHLKLKSQPIEIPELPVFHLNSSGTNTEDSELTDWLRVNGADEDTISRFLAEDYTLLDVLYYVTRDDLKCLRLRGGMLCTLWKAIIDFRNKQT 种属同源性预测 |
| 宿主/亚型 | Rabbit / IgG |
| 抗体类别 | Polyclonal |
| 产品类型 | Antibody |
| 全称 | mitogen-activated protein kinase kinase kinase 5 |
| 别名 | ASK-1, MAP3K5, Apoptosis signal-regulating kinase 1, ASK 1, EC:2.7.11.25 |
| 计算分子量 | 155 kDa |
| 观测分子量 | 155 kDa |
| GenBank蛋白编号 | BC054503 |
| 基因名称 | ASK1 |
| Gene ID (NCBI) | 4217 |
| RRID | AB_2782957 |
| 偶联类型 | Unconjugated |
| 形式 | Liquid |
| 纯化方式 | Antigen affinity purification |
| UNIPROT ID | Q99683 |
| 储存缓冲液 | PBS with 0.02% sodium azide and 50% glycerol, pH 7.3. |
| 储存条件 | Store at -20°C. Stable for one year after shipment. Aliquoting is unnecessary for -20oC storage. |
背景介绍
ASK1(Apoptosis signal-regulating kinase 1) is also named as MAP3K5, MAPKKK5, MEKK5 and belongs to the MAP kinase kinase kinase subfamily. It is an evolutionarily conserved mitogen activated protein 3-kinase that activates both Jnk and p38 mitogen-activated protein kinases. ASK1 is activated in response to various cytotoxic stresses including TNF, Fas and reactive oxygen species (ROS) such as H2O2, and activates c-Jun NH 2-terminal kinase (JNK) and p38. 28201-1-AP antibody detects the 155 kDa band in SDS-PAGE.
实验方案
| Product Specific Protocols | |
|---|---|
| IHC protocol for ASK1 antibody 28201-1-AP | Download protocol |
| IP protocol for ASK1 antibody 28201-1-AP | Download protocol |
| WB protocol for ASK1 antibody 28201-1-AP | Download protocol |
| Standard Protocols | |
|---|---|
| Click here to view our Standard Protocols |
发表文章
| Species | Application | Title |
|---|---|---|
Redox Biol FUT2-dependent fucosylation of HYOU1 protects intestinal stem cells against inflammatory injury by regulating unfolded protein response | ||
Int J Biol Macromol Mycobacterium tuberculosis Rv2521 promotes ferroptosis-dependent pathogenicity by inhibiting NF-κB activation | ||
Phytomedicine Dihydrocapsaicin attenuates oxidative stress and apoptosis in acute myocardial infarction via promoting Raf-1/ASK1 complex formation | ||
Free Radic Biol Med Urolithin A protects against domoic acid-induced cognitive deficits via promoting estrogen receptor-α-mediated mitochondrial biogenesis signaling in mice | ||
Oxid Med Cell Longev Melatonin Alleviates Neuroinflammation and Metabolic Disorder in DSS-Induced Depression Rats. | ||





