• KD/KO Validated

ARPC1B Recombinant monoclonal antibody

ARPC1B Uni-rAb® Recombinant Antibody for WB, IP, ELISA
Cat No. 87393-1-RR

产品说明书

CloneNo. 252807F12

宿主/亚型

Rabbit / IgG

种属反应性

human, mouse, rat

应用

WB, IP, ELISA

Actin-related protein 2/3 complex subunit 1B, ARC41, p41 ARC, p41-ARC

缓冲液配方:  PBS, Azide, Glycerol
PBS, Azide, Glycerol
PBS Only
偶联物:  Unconjugated
Unconjugated
规格价格库存


经过测试的应用

Positive WB detected inHeLa cells, HEK-293T cells, rat spleen tissue, mouse spleen tissue
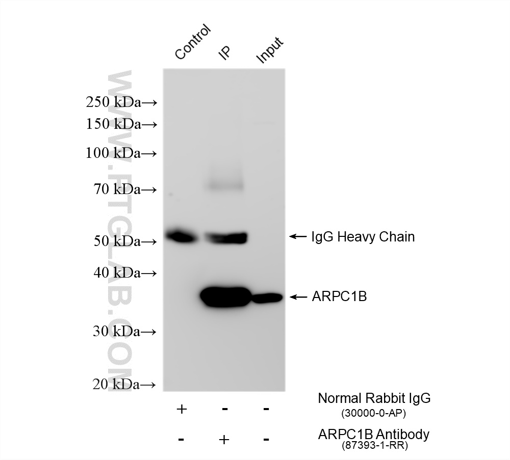
Positive IP detected inHeLa cells
Planning an IHC experiment? We recommend our IHCeasy ARPC1B Ready-To-Use IHC Kit. ARPC1B primary antibody included.

推荐稀释比

应用推荐稀释比
Western Blot (WB)WB : 1:5000-1:50000
Immunoprecipitation (IP)IP : 0.5-4.0 ug for 1.0-3.0 mg of total protein lysate
It is recommended that this reagent should be titrated in each testing system to obtain optimal results.
Sample-dependent, Check data in validation data gallery.

产品信息

87393-1-RR targets ARPC1B in WB, IP, ELISA applications and shows reactivity with human, mouse, rat samples.

经测试应用 WB, IP, ELISA Application Description
经测试反应性 human, mouse, rat
免疫原

CatNo: Ag29001

Product name: Recombinant human ARPC1B protein

Source: e coli.-derived, PGEX-4T

Tag: GST

Domain: 265-372 aa of BC007555

Sequence: CFPVLFTYDAAAGMLSFGGRLDVPKQSSQRGLTARERFQNLDKKASSEGGTAAGAGLDSLHKNSVSQISVLSGGKAKCSQFCTTGMDGGMSIWDVKSLESALKDLKIK

种属同源性预测
宿主/亚型 Rabbit / IgG
抗体类别 Recombinant
产品类型 Antibody
全称 actin related protein 2/3 complex, subunit 1B, 41kDa
别名 Actin-related protein 2/3 complex subunit 1B, ARC41, p41 ARC, p41-ARC
计算分子量 41 kDa
观测分子量 37 kDa
GenBank蛋白编号BC007555
基因名称 ARPC1B
Gene ID (NCBI) 10095
偶联类型 Unconjugated
形式Liquid
纯化方式Protein A purification
UNIPROT IDO15143
储存缓冲液 PBS with 0.02% sodium azide and 50% glycerol, pH 7.3.
储存条件Store at -20°C. Stable for one year after shipment. Aliquoting is unnecessary for -20oC storage.

背景介绍

ARPC1B also known as ARC41, p41-ARC, or p40-ARC, is one of seven subunits of the human Arp2/3 protein complex, that belongs to the SOP2 family. ARPC1B localizes on centrosomes and has a distinct role in centrosomal homeostasis. ARPC1B is both a physiological activator and substrate of Aurora A kinase, and these interactions help to maintain mitotic integrity in mammalian cells. In recent resaeach, ARPC1B is selected as a candidate prediction marker for sensitivity of Choroidal malignant melanomas to radiotherapy.

实验方案

Product Specific Protocols
IP protocol for ARPC1B antibody 87393-1-RRDownload protocol
WB protocol for ARPC1B antibody 87393-1-RRDownload protocol
Standard Protocols
Click here to view our Standard Protocols
Loading...
||
New chat

Able

正在加载,请稍候...