验证数据展示
经过测试的应用
| Positive WB detected in | PC-3 cells, HeLa cells, human brain tissue |
| Positive IP detected in | mouse testis tissue |
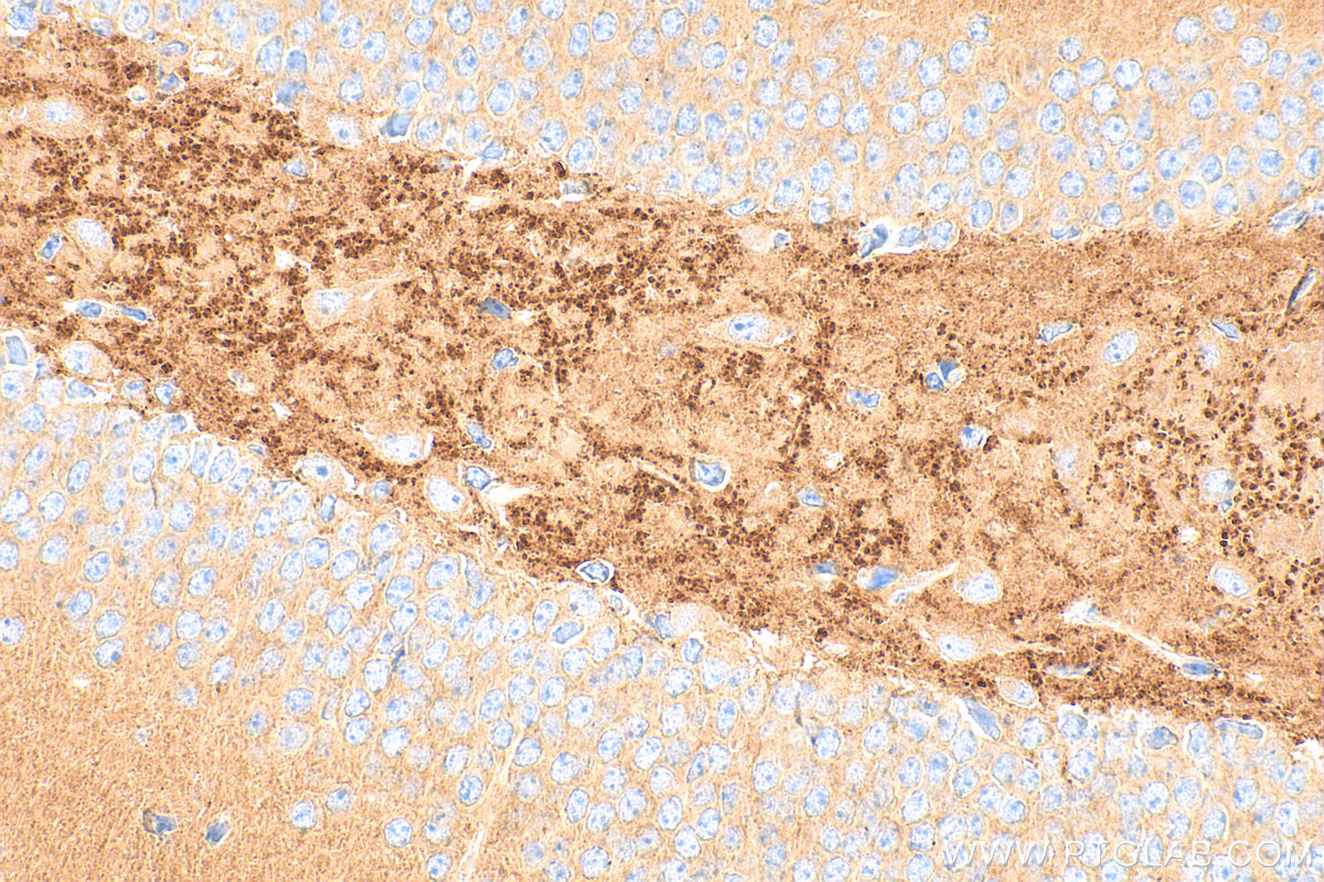
| Positive IHC detected in | mouse brain tissue, human prostate cancer tissue Note: suggested antigen retrieval with TE buffer pH 9.0; (*) Alternatively, antigen retrieval may be performed with citrate buffer pH 6.0 |
| Positive IF/ICC detected in | HeLa cells |
推荐稀释比
| 应用 | 推荐稀释比 |
|---|---|
| Western Blot (WB) | WB : 1:500-1:2000 |
| Immunoprecipitation (IP) | IP : 0.5-4.0 ug for 1.0-3.0 mg of total protein lysate |
| Immunohistochemistry (IHC) | IHC : 1:50-1:500 |
| Immunofluorescence (IF)/ICC | IF/ICC : 1:50-1:500 |
| It is recommended that this reagent should be titrated in each testing system to obtain optimal results. | |
| Sample-dependent, Check data in validation data gallery. | |
产品信息
13571-1-AP targets ARFGAP1 in WB, IHC, IF/ICC, IP, ELISA applications and shows reactivity with human, mouse, rat samples.
| 经测试应用 | WB, IHC, IF/ICC, IP, ELISA Application Description |
| 文献引用应用 | WB, IF |
| 经测试反应性 | human, mouse, rat |
| 文献引用反应性 | human, mouse, rat, pig |
| 免疫原 |
CatNo: Ag4468 Product name: Recombinant human ARFGAP1 protein Source: e coli.-derived, PGEX-4T Tag: GST Domain: 1-414 aa of BC028233 Sequence: MASPRTRKVLKEVRVQDENNVCFECGAFNPQWVSVTYGIWICLECSGRHRGLGVHLSFVRSVTMDKWKDIELEKMKAGGNAKFREFLESQEDYDPCWSLQEKYNSRAAALFRDKVVALAEGREWSLESSPAQNWTPPQPRTLPSMVHRVSGQPQSVTASSDKAFEDWLNDDLGSYQGAQGNRYVGFGNTPPPQKKEDDFLNNAMSSLYSGWSSFTTGASRFASAAKEGATKFGSQASQKFWGHKQQPEPASELGHSLNENVLKPAQEKVKEGKIFDDVSSGVSQLASKGVGSKGWRDVTTFFSGKAEGPLDSPSEGHSYQNSGLDHFQNSNIDQSFWETFGSAEPTKTRKSPSSDSWTCADTSTERRSSDSWEVWGSASTNRNSNSDGGEGGEGTKKAVPPAVPTDDGWDNQNW 种属同源性预测 |
| 宿主/亚型 | Rabbit / IgG |
| 抗体类别 | Polyclonal |
| 产品类型 | Antibody |
| 全称 | ADP-ribosylation factor GTPase activating protein 1 |
| 别名 | ADP-ribosylation factor 1 GTPase-activating protein, ADP-ribosylation factor GTPase-activating protein 1, ARF GAP 1, ARF1 GAP, ARF1-directed GTPase-activating protein |
| 计算分子量 | 414 aa, 46 kDa |
| 观测分子量 | 46 kDa, 50 kDa |
| GenBank蛋白编号 | BC028233 |
| 基因名称 | ARFGAP1 |
| Gene ID (NCBI) | 55738 |
| RRID | AB_2058621 |
| 偶联类型 | Unconjugated |
| 形式 | Liquid |
| 纯化方式 | Antigen affinity purification |
| UNIPROT ID | Q8N6T3 |
| 储存缓冲液 | PBS with 0.02% sodium azide and 50% glycerol, pH 7.3. |
| 储存条件 | Store at -20°C. Stable for one year after shipment. Aliquoting is unnecessary for -20oC storage. |
背景介绍
Protein coats deform flat lipid membranes into buds and capture membrane proteins to form transport vesicles. The assembly-disassembly cycle of the COPI coat on Golgi membranes is coupled to the GTP-GDP cycle of the small G protein ARF1. ARFGAP1 contributes to vesicle budding by increasing the GTPase activity of ARF1, because it promotes hydrolysis of the ARF1-bound GTP and thus, is required for the dissociation of coat proteins from Golgi-derived membranes and vesicles, a prerequisite for vesicle's fusion with target compartment. for ARFGAP1 may has a role in regulating the GTPase activity and neuronal toxicity of LRRK2; reciprocally, LRRK2 phosphorylates ArfGAP1 and is required for ArfGAP1 neuronal toxicity.
实验方案
| Product Specific Protocols | |
|---|---|
| IF protocol for ARFGAP1 antibody 13571-1-AP | Download protocol |
| IHC protocol for ARFGAP1 antibody 13571-1-AP | Download protocol |
| IP protocol for ARFGAP1 antibody 13571-1-AP | Download protocol |
| WB protocol for ARFGAP1 antibody 13571-1-AP | Download protocol |
| Standard Protocols | |
|---|---|
| Click here to view our Standard Protocols |
发表文章
| Species | Application | Title |
|---|---|---|
PLoS Genet GTPase activity and neuronal toxicity of Parkinson's disease-associated LRRK2 is regulated by ArfGAP1.
| ||
FASEB J ArfGAP1 acts as a GTPase-activating protein for human ADP-ribosylation factor-like 1 protein.
| ||
Vet Microbiol ARFGAP1 binds to classical swine fever virus NS5A protein and enhances CSFV replication in PK-15 cells. | ||
bioRxiv ATG2A engages Rab1a and ARFGAP1 positive membranes during autophagosome biogenesis |








