验证数据展示
经过测试的应用
| Positive WB detected in | A549 cells, A431 cells, C6 cells, HeLa cells, HepG2 cells, MCF-7 cells, MDA-MB-453s cells, multi-cells, U-937 cells, K-562 cells, NIH/3T3 cells, Calu-1 cells |
| Positive IP detected in | HeLa cells |
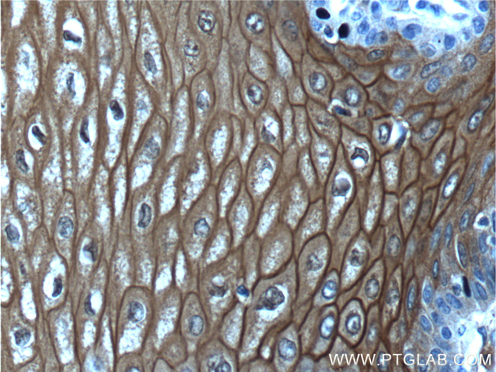
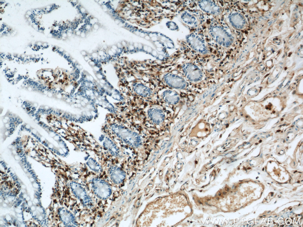
| Positive IHC detected in | human colon tissue, human kidney tissue, human lung tissue, human oesophagus tissue, human ovary cancer tissue, human ovary tumor tissue, human small intestine tissue Note: suggested antigen retrieval with TE buffer pH 9.0; (*) Alternatively, antigen retrieval may be performed with citrate buffer pH 6.0 |
| Positive IF/ICC detected in | A549 cells, A431 cells |
| Positive FC (Intra) detected in | NIH/3T3 cells, Jurkat cells |
推荐稀释比
| 应用 | 推荐稀释比 |
|---|---|
| Western Blot (WB) | WB : 1:5000-1:50000 |
| Immunoprecipitation (IP) | IP : 0.5-4.0 ug for 1.0-3.0 mg of total protein lysate |
| Immunohistochemistry (IHC) | IHC : 1:2500-1:10000 |
| Immunofluorescence (IF)/ICC | IF/ICC : 1:200-1:800 |
| Flow Cytometry (FC) (INTRA) | FC (INTRA) : 0.50 ug per 10^6 cells in a 100 µl suspension |
| It is recommended that this reagent should be titrated in each testing system to obtain optimal results. | |
| Sample-dependent, Check data in validation data gallery. | |
产品信息
21990-1-AP targets Annexin A1 in WB, IHC, IF/ICC, FC (Intra), IP, CoIP, ELISA applications and shows reactivity with human, mouse, rat samples.
| 经测试应用 | WB, IHC, IF/ICC, FC (Intra), IP, ELISA Application Description |
| 文献引用应用 | WB, IHC, IF, IP, CoIP |
| 经测试反应性 | human, mouse, rat |
| 文献引用反应性 | human, mouse, rat, pig, bovine, hamster |
| 免疫原 |
CatNo: Ag17273 Product name: Recombinant human ANXA1 protein Source: e coli.-derived, PGEX-4T Tag: GST Domain: 1-346 aa of BC001275 Sequence: MAMVSEFLKQAWFIENEEQEYVQTVKSSKGGPGSAVSPYPTFNPSSDVAALHKAIMVKGVDEATIIDILTKRNNAQRQQIKAAYLQETGKPLDETLKKALTGHLEEVVLALLKTPAQFDADELRAAMKGLGTDEDTLIEILASRTNKEIRDINRVYREELKRDLAKDITSDTSGDFRNALLSLAKGDRSEDFGVNEDLADSDARALYEAGERRKGTDVNVFNTILTTRSYPQLRRVFQKYTKYSKHDMNKVLDLELKGDIEKCLTAIVKCATSKPAFFAEKLHQAMKGVGTRHKALIRIMVSRSEIDMNDIKAFYQKMYGISLCQAILDETKGDYEKILVALCGGN 种属同源性预测 |
| 宿主/亚型 | Rabbit / IgG |
| 抗体类别 | Polyclonal |
| 产品类型 | Antibody |
| 全称 | annexin A1 |
| 别名 | ANXA1, Annexin 1, Annexin Ac2-26, Annexin I, Annexin-1 |
| 计算分子量 | 346 aa, 39 kDa |
| 观测分子量 | 37 kDa |
| GenBank蛋白编号 | BC001275 |
| 基因名称 | Annexin A1 |
| Gene ID (NCBI) | 301 |
| RRID | AB_11182596 |
| 偶联类型 | Unconjugated |
| 形式 | Liquid |
| 纯化方式 | Antigen affinity purification |
| UNIPROT ID | P04083 |
| 储存缓冲液 | PBS with 0.02% sodium azide and 50% glycerol, pH 7.3. |
| 储存条件 | Store at -20°C. Stable for one year after shipment. Aliquoting is unnecessary for -20oC storage. |
背景介绍
ANXA1, also named as ANX1, LPC1 and p35, belongs to the annexin family. It is a member of the annexin family of Ca2+-binding and phospholipidbinding proteins, and it is particularly abundant in various populations of peripheral blood leukocytes. ANXA1 regulates phospholipase A2 activity. It seems to bind from two to four calcium ions with high affinity. ANXA1 is a pleiotrophic protein produced by many cell types including peripheral blood leucocytes.
实验方案
| Product Specific Protocols | |
|---|---|
| FC protocol for Annexin A1 antibody 21990-1-AP | Download protocol |
| IF protocol for Annexin A1 antibody 21990-1-AP | Download protocol |
| IHC protocol for Annexin A1 antibody 21990-1-AP | Download protocol |
| IP protocol for Annexin A1 antibody 21990-1-AP | Download protocol |
| WB protocol for Annexin A1 antibody 21990-1-AP | Download protocol |
| Standard Protocols | |
|---|---|
| Click here to view our Standard Protocols |
发表文章
| Species | Application | Title |
|---|---|---|
Cell Host Microbe Global mapping of Salmonella enterica-host protein-protein interactions during infection. | ||
Oncogene The E3 ligase RBCK1 reduces the sensitivity of ccRCC to sunitinib through the ANKRD35-MITD1-ANXA1 axis
| ||
Elife ER-luminal [Ca2+] regulation of InsP3 receptor gating mediated by an ER-luminal peripheral Ca2+-binding protein. | ||
Mol Ther Membrane Stabilization by Modified Steroid Offers a Potential Therapy for Muscular Dystrophy Due to Dysferlin Deficit. | ||
Cancer Immunol Immunother Circulating PD-L1 is associated with T cell infiltration and predicts prognosis in patients with CRLM following hepatic resection. |






























