验证数据展示
经过测试的应用
| Positive WB detected in | mouse pancreas tissue |
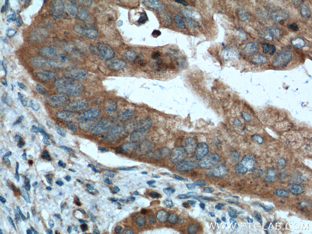
| Positive IHC detected in | human pancreas cancer tissue Note: suggested antigen retrieval with TE buffer pH 9.0; (*) Alternatively, antigen retrieval may be performed with citrate buffer pH 6.0 |
| Positive IF-P detected in | rat pancreas tissue |
推荐稀释比
| 应用 | 推荐稀释比 |
|---|---|
| Western Blot (WB) | WB : 1:5000-1:20000 |
| Immunohistochemistry (IHC) | IHC : 1:50-1:500 |
| Immunofluorescence (IF)-P | IF-P : 1:200-1:800 |
| It is recommended that this reagent should be titrated in each testing system to obtain optimal results. | |
| Sample-dependent, Check data in validation data gallery. | |
产品信息
12540-1-AP targets Amylase Alpha in WB, IHC, IF-P, ELISA applications and shows reactivity with human, mouse, rat samples.
| 经测试应用 | WB, IHC, IF-P, ELISA Application Description |
| 文献引用应用 | WB, IHC, IF |
| 经测试反应性 | human, mouse, rat |
| 文献引用反应性 | human, mouse, rat |
| 免疫原 |
CatNo: Ag3260 Product name: Recombinant human AMY2B protein Source: e coli.-derived, T-HIS Tag: 6*His Domain: 160-511 aa of BC011179 Sequence: SGDIENYNDATQVRDCRLVGLLDLALEKDYVRSKIAEYMNHLIDIGVAGFRLDASKHMWPGDIKAILDKLHNLNSNWFPAGSKPFIYQEVIDLGGEPIKSSDYFGNGRVTEFKYGAKLGTVIRKWNGEKMSYLKNWGEGWGFMPSDRALVFVDNHDNQRGHGAGGASILTFWDARLYKMAVGFMLAHPYGFTRVMSSYRWPRQFQNGNDVNDWVGPPNNNGVIKEVTINPDTTCGNDWVCEHRWRQIRNMVNFRNVVDGQPFTNWYDNGSNQVAFGRGNRGFIVFNNDDWTFSLTLQTGLPAGTYCDVISGDKINGNCTGIKIYVSDDGKAHFSISNSAEDPFIAIHAESKL 种属同源性预测 |
| 宿主/亚型 | Rabbit / IgG |
| 抗体类别 | Polyclonal |
| 产品类型 | Antibody |
| 全称 | amylase, alpha 2B (pancreatic) |
| 别名 | AMY2B, Amylase, alpha, 1,4-alpha-D-glucan glucanohydrolase 2B, Alpha amylase, Alpha amylase 2B |
| 计算分子量 | 511 aa, 58 kDa |
| 观测分子量 | 58 kDa |
| GenBank蛋白编号 | BC011179 |
| 基因名称 | AMY2B |
| Gene ID (NCBI) | 280 |
| RRID | AB_2273990 |
| 偶联类型 | Unconjugated |
| 形式 | Liquid |
| 纯化方式 | Antigen affinity purification |
| UNIPROT ID | P19961 |
| 储存缓冲液 | PBS with 0.02% sodium azide and 50% glycerol, pH 7.3. |
| 储存条件 | Store at -20°C. Stable for one year after shipment. Aliquoting is unnecessary for -20oC storage. |
背景介绍
AMY2B(alpha-amylase 2B) belongs to the glycosyl hydrolase 13 family. This protein is involved in the endohydrolysis of 1,4-alpha-glucosidic linkages in oligosaccharides and polysaccharides. The full length 58 kDa protein has a signal peptide with 15 amino acids. Human amylases (Amy1, Amy2A, and Amy2B) commonly have two potential N-glycosylation sites (N427 and N476) in their C-terminal region (S Takashima, J Amano, 2012). 12540-1-AP can recognize both AMY2A and AMY2B.
实验方案
| Product Specific Protocols | |
|---|---|
| IF protocol for Amylase Alpha antibody 12540-1-AP | Download protocol |
| IHC protocol for Amylase Alpha antibody 12540-1-AP | Download protocol |
| WB protocol for Amylase Alpha antibody 12540-1-AP | Download protocol |
| Standard Protocols | |
|---|---|
| Click here to view our Standard Protocols |
发表文章
| Species | Application | Title |
|---|---|---|
ACS Nano Inflammation and Acinar Cell Dual-Targeting Nanomedicines for Synergistic Treatment of Acute Pancreatitis via Ca2+ Homeostasis Regulation and Pancreas Autodigestion Inhibition | ||
Cancer Lett SULF2 enhances GDF15-SMAD axis to facilitate the initiation and progression of pancreatic cancer. | ||
Biochim Biophys Acta Mol Basis Dis Pyrazole derivative Z10 ameliorates acute pancreatitis by inhibiting the ERK/Ddt pathway | ||
Int Immunopharmacol Gastrodin ameliorates acute pancreatitis by modulating macrophage inflammation cascade via inhibition the p38/NF-κB pathway | ||
Mol Biol Cell Vacuolization of mucolipidosis type II mouse exocrine gland cells represents accumulation of autolysosomes. | ||
Biomed Pharmacother Serotonin-RhoA/ROCK axis promotes acinar-to-ductal metaplasia in caerulein-induced chronic pancreatitis. |



