验证数据展示
经过测试的应用
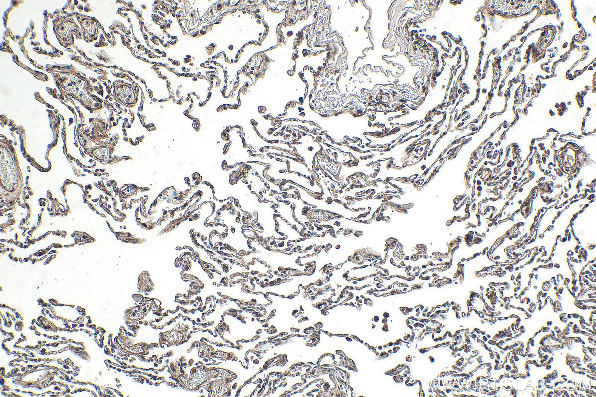
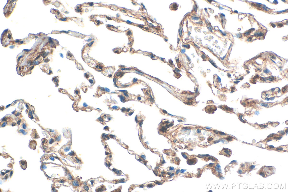
| Positive IHC detected in | human lung tissue Note: suggested antigen retrieval with TE buffer pH 9.0; (*) Alternatively, antigen retrieval may be performed with citrate buffer pH 6.0 |
| Positive IF/ICC detected in | HeLa cells |
推荐稀释比
| 应用 | 推荐稀释比 |
|---|---|
| Immunohistochemistry (IHC) | IHC : 1:50-1:500 |
| Immunofluorescence (IF)/ICC | IF/ICC : 1:50-1:500 |
| It is recommended that this reagent should be titrated in each testing system to obtain optimal results. | |
| Sample-dependent, Check data in validation data gallery. | |
发表文章中的应用
| IF | See 1 publications below |
产品信息
27231-1-AP targets ALMS1 in IHC, IF/ICC, ELISA applications and shows reactivity with human samples.
| 经测试应用 | IHC, IF/ICC, ELISA Application Description |
| 文献引用应用 | IF |
| 经测试反应性 | human |
| 文献引用反应性 | human |
| 免疫原 |
CatNo: Ag26100 Product name: Recombinant human ALMS1 protein Source: e coli.-derived, PGEX-4T Tag: GST Domain: 2881-3000 aa of NM_015120 Sequence: LEQRELFEQSKAPRADDHVRKHHSPSPQHQDYVAPDLPSCIFLEQRELFEQCKAPYVDHQMRENHSPLPQGQDSIASDLPSPISLEQCQSKAPGVDDQMNKHHFPLPQGQDCVVEKNNQH 种属同源性预测 |
| 宿主/亚型 | Rabbit / IgG |
| 抗体类别 | Polyclonal |
| 产品类型 | Antibody |
| 全称 | Alstrom syndrome 1 |
| 别名 | Alstrom syndrome 1, Alstrom syndrome protein 1, KIAA0328 |
| 计算分子量 | 461 kDa |
| GenBank蛋白编号 | NM_015120 |
| 基因名称 | ALMS1 |
| Gene ID (NCBI) | 7840 |
| RRID | AB_2880812 |
| 偶联类型 | Unconjugated |
| 形式 | Liquid |
| 纯化方式 | Antigen affinity purification |
| UNIPROT ID | Q8TCU4 |
| 储存缓冲液 | PBS with 0.02% sodium azide and 50% glycerol, pH 7.3. |
| 储存条件 | Store at -20°C. Stable for one year after shipment. Aliquoting is unnecessary for -20oC storage. |
背景介绍
ALMS1 (Alstrom syndrome protein 1) is also KIAA0328. ALMS1 encodes a ~ 0.5 megadalton protein that localises to the base of centrioles. Some studies have suggested a role for this protein in maintaining centriole-nucleated sensory organelles termed primary cilia, and AS is now considered to belong to the growing class of human genetic disorders linked to ciliary dysfunction (ciliopathies). The ALMS1 protein is a component of the centrosome (PMID:30421101). ALMS1 is involved in PCM1-dependent intracellular transport. ALMS1 is required, directly or indirectly, for the localization of NCAPD2 to the proximal ends of centrioles. It is required for proper formation and/or maintenance of primary cilia (PC), microtubule-based structures that protrude from the surface of epithelial cells.
实验方案
| Product Specific Protocols | |
|---|---|
| IF protocol for ALMS1 antibody 27231-1-AP | Download protocol |
| IHC protocol for ALMS1 antibody 27231-1-AP | Download protocol |
| Standard Protocols | |
|---|---|
| Click here to view our Standard Protocols |


