验证数据展示
经过测试的应用
| Positive WB detected in | HEK-293 cells, HeLa cells, A549 cells, Jurkat cells, mouse liver tissue, rat liver tissue, HepG2 cells, MCF-7 cells, NIH/3T3 cells |
| Positive IP detected in | HepG2 cells |
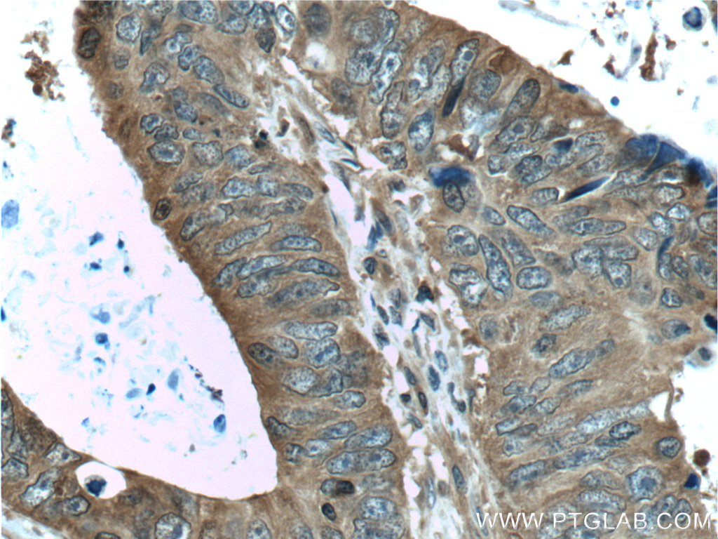
| Positive IHC detected in | human colon cancer tissue, human lung cancer tissue, human skeletal muscle tissue Note: suggested antigen retrieval with TE buffer pH 9.0; (*) Alternatively, antigen retrieval may be performed with citrate buffer pH 6.0 |
| Positive IF/ICC detected in | HeLa cells |
推荐稀释比
| 应用 | 推荐稀释比 |
|---|---|
| Western Blot (WB) | WB : 1:5000-1:50000 |
| Immunoprecipitation (IP) | IP : 0.5-4.0 ug for 1.0-3.0 mg of total protein lysate |
| Immunohistochemistry (IHC) | IHC : 1:100-1:400 |
| Immunofluorescence (IF)/ICC | IF/ICC : 1:50-1:500 |
| It is recommended that this reagent should be titrated in each testing system to obtain optimal results. | |
| Sample-dependent, Check data in validation data gallery. | |
产品信息
11217-1-AP targets ALDOA in WB, IHC, IF/ICC, IP, CoIP, RIP, ELISA applications and shows reactivity with human, mouse, rat samples.
| 经测试应用 | WB, IHC, IF/ICC, IP, ELISA Application Description |
| 文献引用应用 | WB, IHC, IF, IP, CoIP, RIP |
| 经测试反应性 | human, mouse, rat |
| 文献引用反应性 | human, mouse, rat, pig, sheep |
| 免疫原 |
CatNo: Ag1726 Product name: Recombinant human ALDOA protein Source: e coli.-derived, PGEX-4T Tag: GST Domain: 2-364 aa of BC016800 Sequence: PYQYPALTPEQKKELSDIAHRIVAPGKGILAADESTGSIAKRLQSIGTENTEENRRFYRQLLLTADDRVNPCIGGVILFHETLYQKADDGRPFPQVIKSKGGVVGIKVDKGVVPLAGTNGETTTQGLDGLSERCAQYKKDGADFAKWRCVLKIGEHTPSALAIMENANVLARYASICQQNGIVPIVEPEILPDGDHDLKRCQYVTEKVLAAVYKALSDHHIYLEGTLLKPNMVTPGHACTQKFSHEEIAMATVTALRRTVPPAVTGITFLSGGQSEEEASINLNAINKCPLLKPWALTFSYGRALQASALKAWGGKKENLKAAQEEYVKRALANSLACQGKYTPSGQAGAAASESLFVSNHAY 种属同源性预测 |
| 宿主/亚型 | Rabbit / IgG |
| 抗体类别 | Polyclonal |
| 产品类型 | Antibody |
| 全称 | aldolase A, fructose-bisphosphate |
| 别名 | Muscle-type aldolase, Lung cancer antigen NY-LU-1, Fructose-bisphosphate aldolase A, EC:4.1.2.13, Aldolase A |
| 计算分子量 | 39 kDa |
| 观测分子量 | 35-40 kDa |
| GenBank蛋白编号 | BC016800 |
| 基因名称 | ALDOA |
| Gene ID (NCBI) | 226 |
| RRID | AB_2224626 |
| 偶联类型 | Unconjugated |
| 形式 | Liquid |
| 纯化方式 | Antigen affinity purification |
| UNIPROT ID | P04075 |
| 储存缓冲液 | PBS with 0.02% sodium azide and 50% glycerol, pH 7.3. |
| 储存条件 | Store at -20°C. Stable for one year after shipment. Aliquoting is unnecessary for -20oC storage. |
背景介绍
ALDOA(Fructose-bisphosphate aldolase A) is also named as lung cancer antigen NY-LU-1,muscle-type aldolase,ALDA and belongs to the class I fructose-bisphosphate aldolase family.The ALDOA gene encodes a homotetrameric protein(PMID:14615364).It is found in skeletal muscle and red blood cells, and functions in glycolysis, promoting the reversible cleavage of FBP to triose phosphate, G-3-P and DHAP. ALDOA is upregulated in various cancers, including human lung squamous and renal cell carcinomas(PMID:19937139).
实验方案
| Product Specific Protocols | |
|---|---|
| IF protocol for ALDOA antibody 11217-1-AP | Download protocol |
| IHC protocol for ALDOA antibody 11217-1-AP | Download protocol |
| IP protocol for ALDOA antibody 11217-1-AP | Download protocol |
| WB protocol for ALDOA antibody 11217-1-AP | Download protocol |
| Standard Protocols | |
|---|---|
| Click here to view our Standard Protocols |
发表文章
| Species | Application | Title |
|---|---|---|
Nat Neurosci Metabolic lactate production coordinates vasculature development and progenitor behavior in the developing mouse neocortex. | ||
Dev Cell Spatiotemporal Analysis of a Glycolytic Activity Gradient Linked to Mouse Embryo Mesoderm Development. | ||
Int J Biol Sci Chronic stress promotes colorectal cancer progression by enhancing glycolysis through β2-AR/CREB1 signal pathway | ||
Cell Death Dis The ubiquitin-like protein UBTD1 promotes colorectal cancer progression by stabilizing c-Myc to upregulate glycolysis | ||
Mol Ther Single-Cell Transcriptome Analysis Reveals Intratumoral Heterogeneity in ccRCC, which Results in Different Clinical Outcomes. |














