验证数据展示
产品信息
86297-1-PBS targets ALDH4A1 as part of a matched antibody pair:
MP02370-1: 86297-2-PBS capture and 86297-1-PBS detection (validated in Cytometric bead array)
Unconjugated rabbit recombinant monoclonal antibody in PBS only (BSA and azide free) storage buffer at a concentration of 1 mg/mL, ready for conjugation. Created using Proteintech’s proprietary in-house recombinant technology. Recombinant production enables unrivalled batch-to-batch consistency, easy scale-up, and future security of supply.
This conjugation ready format makes antibodies ideal for use in many applications including: ELISAs, multiplex assays requiring matched pairs, mass cytometry, and multiplex imaging applications.Antibody use should be optimized by the end user for each application and assay.
| 经测试应用 | WB, Cytometric bead array, Indirect ELISA, Sample test Application Description |
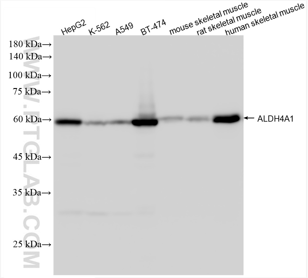
| 经测试反应性 | human, mouse, rat |
| 免疫原 |
CatNo: Ag2147 Product name: Recombinant human ALDH4A1 protein Source: e coli.-derived, PGEX-4T Tag: GST Domain: 246-563 aa of BC023600 Sequence: YRILREAGLPPNIIQFVPADGPLFGDTVTSSEHLCGINFTGSVPTFKHLWKQVAQNLDRFHTFPRLAGECGGKNFHFVHRSADVESVVSGTLRSAFEYGGQKCSACSRLYVPHSLWPQIKGRLLEEHSRIKVGDPAEDFGTFFSAVIDAKSFARIKKWLEHARSSPSLTILAGGKCDDSVGYFVEPCIVESKDPQEPIMKEEIFGPVLSVYVYPDDKYKETLQLVDSTTSYGLTGAVFSQDKDVVQEATKVLRNAAGNFYINDKSTGSIVGQQPFGGARASGTNDKPGGPHYILRWTSPQVIKETHKPLGDWSYAYMQ 种属同源性预测 |
| 宿主/亚型 | Rabbit / IgG |
| 抗体类别 | Recombinant |
| 产品类型 | Antibody |
| 全称 | aldehyde dehydrogenase 4 family, member A1 |
| 别名 | ALDH4, ALDH4A 1, Delta-1-pyrroline-5-carboxylate dehydrogenase, mitochondrial, EC:1.2.1.88, L-glutamate gamma-semialdehyde dehydrogenase |
| 计算分子量 | 563 aa, 62 kDa |
| 观测分子量 | 62 kDa |
| GenBank蛋白编号 | BC023600 |
| 基因名称 | ALDH4A1 |
| Gene ID (NCBI) | 8659 |
| 偶联类型 | Unconjugated |
| 形式 | Liquid |
| 纯化方式 | Protein A purification |
| UNIPROT ID | P30038 |
| 储存缓冲液 | PBS only, pH 7.3. |
| 储存条件 | Store at -80°C. The product is shipped with ice packs. Upon receipt, store it immediately at -80°C |
背景介绍
ALDH4A1(Aldehyde dehydrogenase family 4 member A1) is also named as ALDH4, P5CDH,P5C dehydrogenase and belongs to the aldehyde dehydrogenase family. P5CDH is a mitochondrial matrix NAD(+)-dependent dehydrogenase which catalyzes the second step of the proline degradation pathway, converting pyrroline-5-carboxylate to glutamate. Defects in ALDH4A1 are the cause of hyperprolinemia type 2 (HP-2).



