验证数据展示
经过测试的应用
| Positive WB detected in | mouse liver tissue, rat liver tissue |
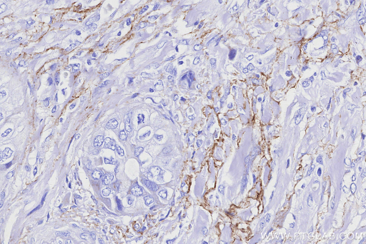
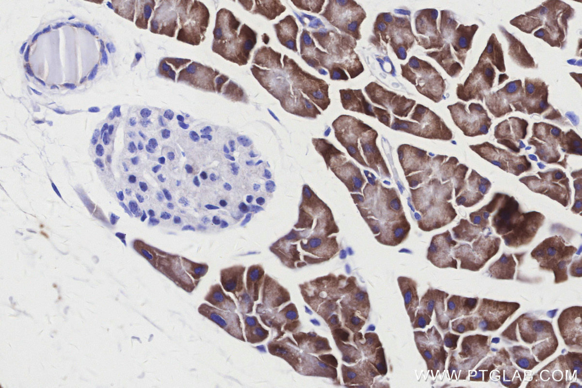
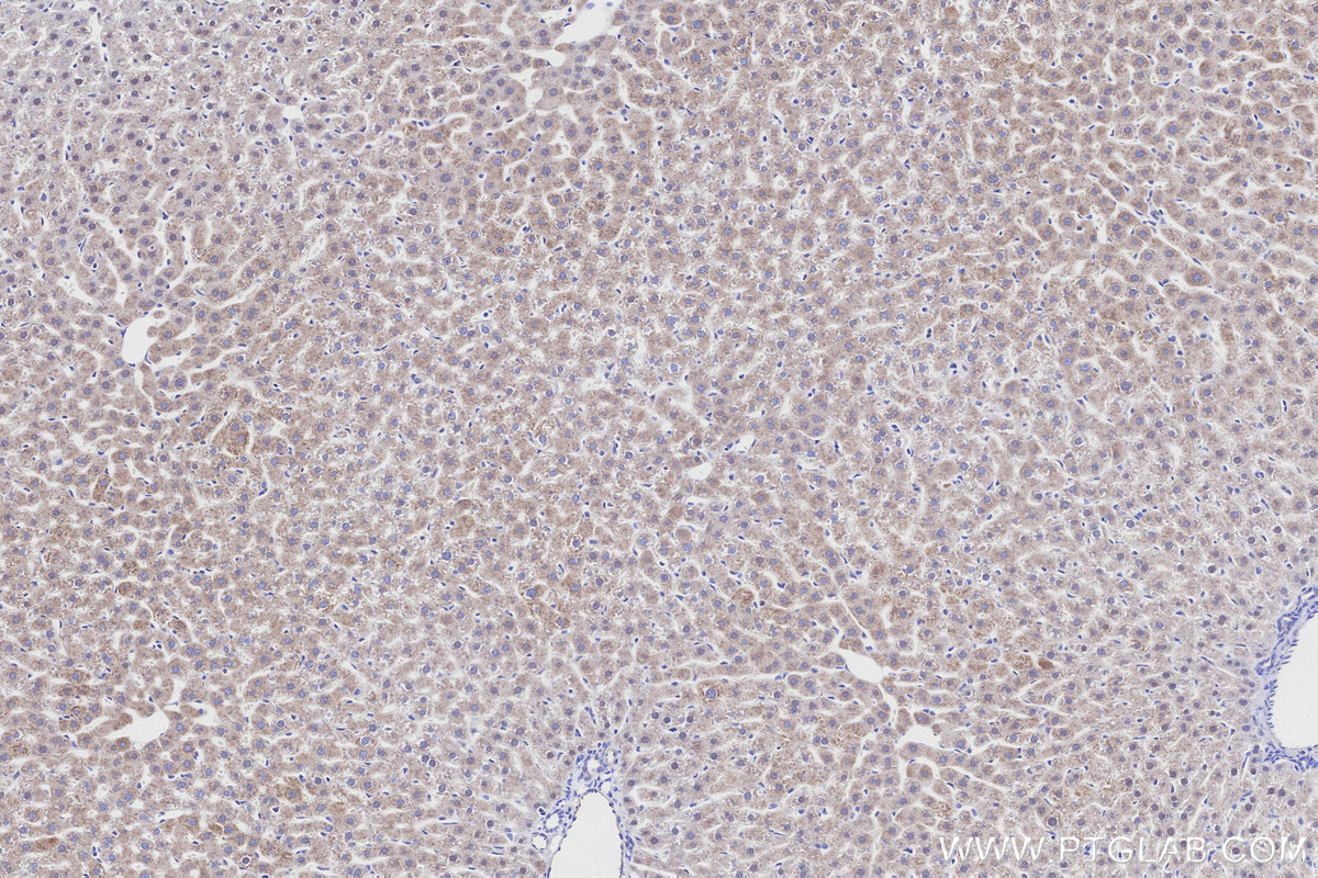
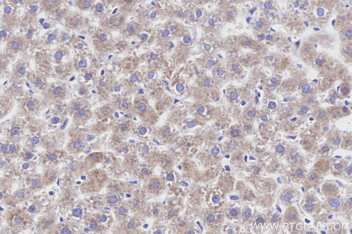
| Positive IHC detected in | rat liver tissue, human pancreas cancer tissue, mouse pancreas tissue Note: suggested antigen retrieval with TE buffer pH 9.0; (*) Alternatively, antigen retrieval may be performed with citrate buffer pH 6.0 |
| Positive IF/ICC detected in | Neuro-2a cells |
推荐稀释比
| 应用 | 推荐稀释比 |
|---|---|
| Western Blot (WB) | WB : 1:5000-1:50000 |
| Immunohistochemistry (IHC) | IHC : 1:4000-1:16000 |
| Immunofluorescence (IF)/ICC | IF/ICC : 1:250-1:1000 |
| It is recommended that this reagent should be titrated in each testing system to obtain optimal results. | |
| Sample-dependent, Check data in validation data gallery. | |
产品信息
85980-2-RR targets ALDH1L1 in WB, IHC, IF/ICC, ELISA applications and shows reactivity with human, mouse, rat samples.
| 经测试应用 | WB, IHC, IF/ICC, ELISA Application Description |
| 经测试反应性 | human, mouse, rat |
| 免疫原 |
CatNo: Ag11285 Product name: Recombinant human ALDH1L1 protein Source: e coli.-derived, PGEX-4T Tag: GST Domain: 157-505 aa of BC027241 Sequence: DDTVSTLYNRFLFPEGIKGMVQAVRLIAEGKAPRLPQPEEGATYEGIQKKETAKINWDQPAEAIHNWIRGNDKVPGAWTEACEQKLTFFNSTLNTSGLVPEGDALPIPGAHRPGVVTKAGLILFGNDDKMLLVKNIQLEDGKMILASNFFKGAASSVLELTEAELVTAEAVRSVWQRILPKVLEVEDSTDFFKSGAASVDVVRLVEEVKELCDGLELENEDVYMASTFGDFIQLLVRKLRGDDEEGECSIDYVEMAVNKRTVRMPHQLFIGGEFVDAEGAKTSETINPTDGSVICQVSLAQVTDVDKAVAAAKDAFENGRWGKISARDRGRLMYRAPPSPSTRPDPTAT 种属同源性预测 |
| 宿主/亚型 | Rabbit / IgG |
| 抗体类别 | Recombinant |
| 产品类型 | Antibody |
| 全称 | aldehyde dehydrogenase 1 family, member L1 |
| 别名 | 10 FTHFDH, 10-FTHFDH, ALDH1L 1, Cytosolic 10-formyltetrahydrofolate dehydrogenase, EC:1.5.1.6 |
| 计算分子量 | 99 kDa |
| 观测分子量 | 100 kDa |
| GenBank蛋白编号 | BC027241 |
| 基因名称 | ALDH1L1 |
| Gene ID (NCBI) | 10840 |
| RRID | AB_3744521 |
| 偶联类型 | Unconjugated |
| 形式 | Liquid |
| 纯化方式 | Protein A purification |
| UNIPROT ID | O75891 |
| 储存缓冲液 | PBS with 0.02% sodium azide and 50% glycerol, pH 7.3. |
| 储存条件 | Store at -20°C. Stable for one year after shipment. Aliquoting is unnecessary for -20oC storage. |
背景介绍
Aldehyde dehydrogenase 1 family member L1 (ALDH1L1), belongs to the aldehyde dehydrogenase family of proteins and is responsible for formate oxidation in vivo. Loss of ALDH1L1 is associated with decreased apoptosis, increased cell motility, and cancer progression. ALDH1L1 catalyzes the conversion of 10-formyltetrahydrofolate, nicotinamide adenine dinucleotide phosphate (NADP+), and water to tetrahydrofolate, NADPH, and carbon dioxide. ALDH1L1 has some isoforms with MW of 99, 88 and 55 kDa.
实验方案
| Product Specific Protocols | |
|---|---|
| IF protocol for ALDH1L1 antibody 85980-2-RR | Download protocol |
| IHC protocol for ALDH1L1 antibody 85980-2-RR | Download protocol |
| WB protocol for ALDH1L1 antibody 85980-2-RR | Download protocol |
| Standard Protocols | |
|---|---|
| Click here to view our Standard Protocols |






