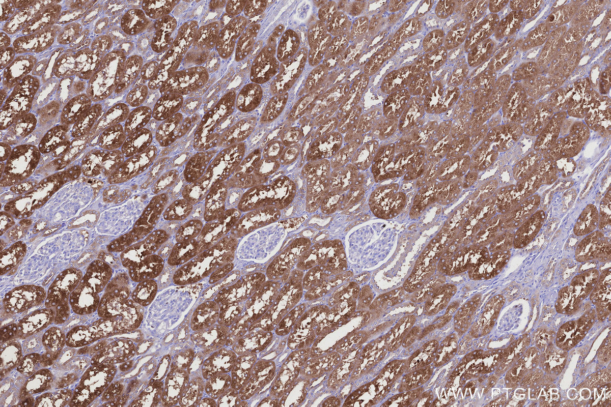
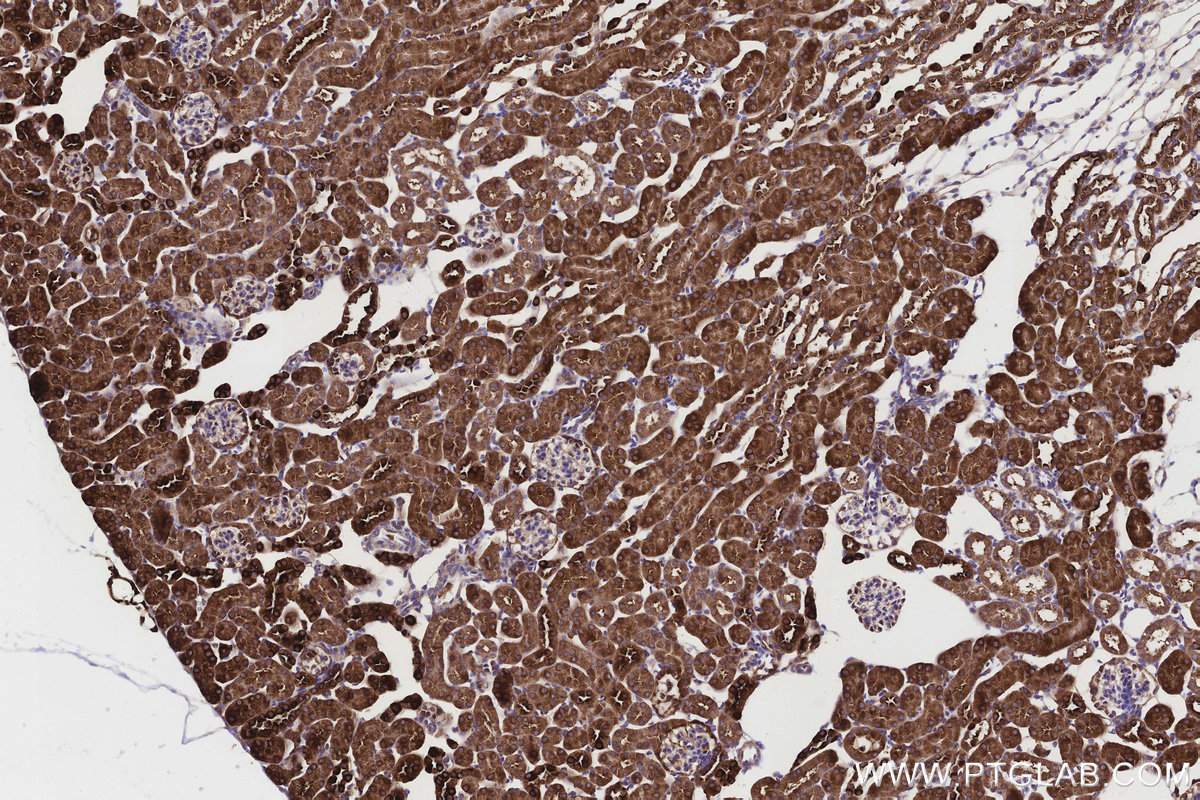
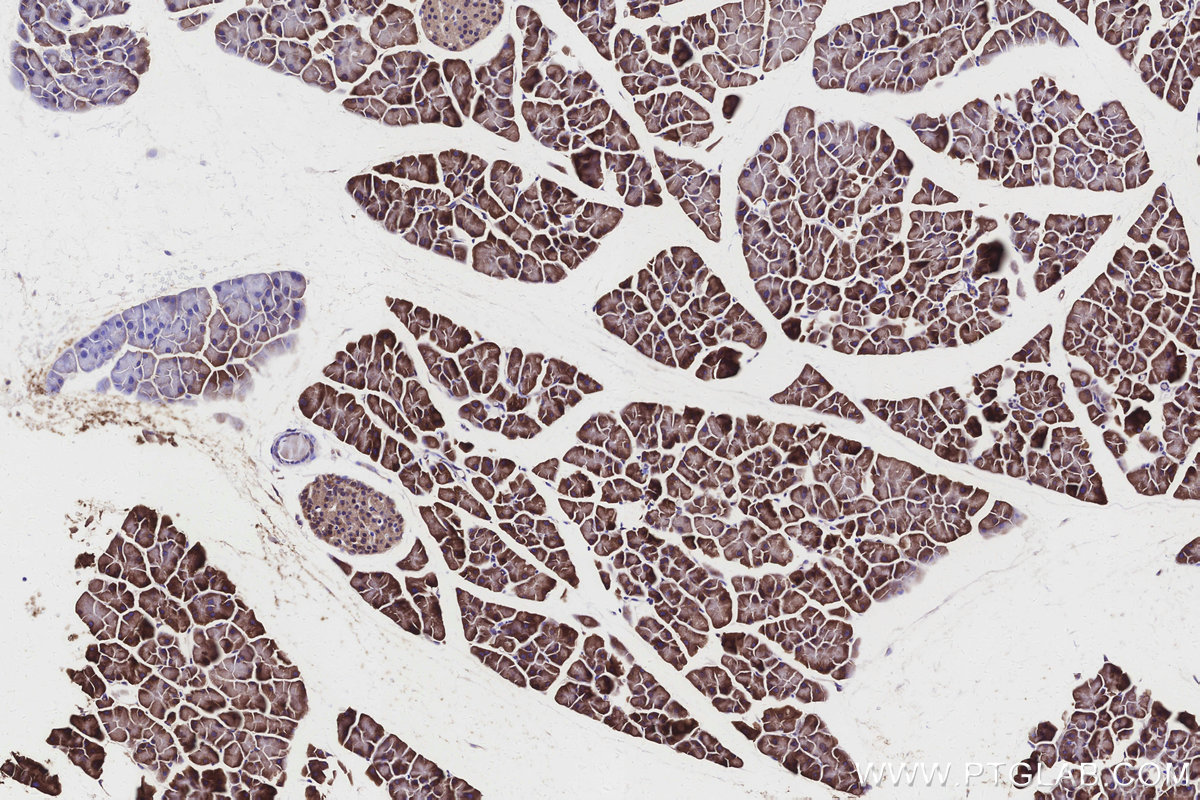
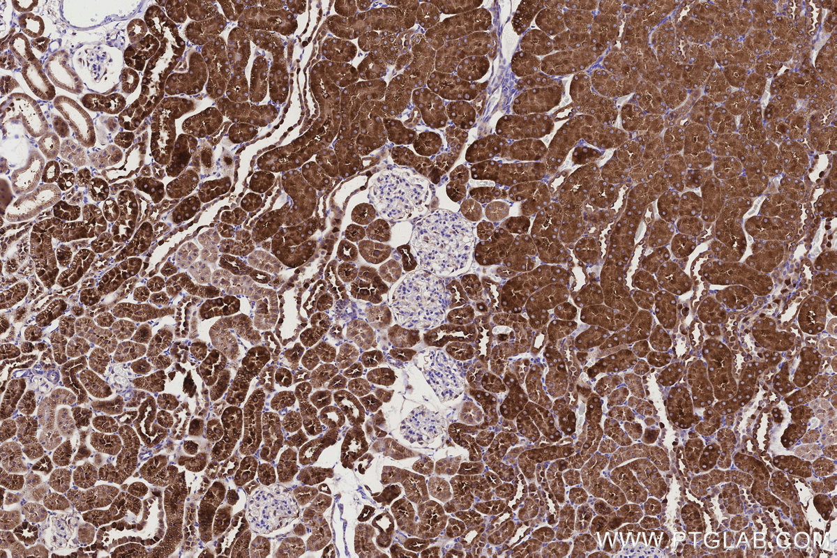
IHCeasy® ALDH1L1 Ready-To-Use IHC Kit
ALDH1L1 Ready-to-use reagent kit for IHC.
Reactivity
Human, Mouse, Rat
Sample Type
FFPE tissue
Cat no : KHC3151
Synonyms
10 FTHFDH, 10-FTHFDH, ALDH1L 1, Cytosolic 10-formyltetrahydrofolate dehydrogenase, EC:1.5.1.6
Validation Data Gallery
Product Information
KHC3151 is a ready-to-use IHC kit for staining of ALDH1L1. The kit provides all reagents, from antigen retrieval to cover slip mounting, that require little to no diluting or handling prior to use. Simply apply the reagents to your sample slide according to the protocol and you're steps away from obtaining high-quality IHC data.
| Product name | IHCeasy® ALDH1L1 Ready-To-Use IHC Kit |
| Sample type | FFPE tissue |
| Assay type | Immunohistochemistry |
| Primary antibody type | Rabbit Polyclonal |
| Secondary antibody type | Polymer-HRP-Goat anti-Rabbit |
| Reactivity | Human, Mouse, Rat |
Kit components
| Component | Size | Concentration |
|---|---|---|
| Antigen Retrieval Buffer | 100 mL | 50× |
| Washing Buffer | 100 mL ×2 | 20× |
| Blocking Buffer | 5 mL | RTU |
| Primary Antibody | 5 mL | RTU |
| Secondary Antibody | 5 mL | RTU |
| Chromogen Component A | 0.2 mL | RTU |
| Chromogen Component B | 4 mL | RTU |
| Signal Enhancer | 5 mL | RTU |
| Counter Staining Reagent | 5 mL | RTU |
| Mounting Media | 5 mL | RTU |
| Datasheet | 1 Copy | |
| Manual | 1 Copy |
Background Information
Aldehyde dehydrogenase 1 family member L1 (ALDH1L1), belongs to the aldehyde dehydrogenase family of proteins and is responsible for formate oxidation in vivo. Loss of ALDH1L1 is associated with decreased apoptosis, increased cell motility, and cancer progression. ALDH1L1 catalyzes the conversion of 10-formyltetrahydrofolate, nicotinamide adenine dinucleotide phosphate (NADP+), and water to tetrahydrofolate, NADPH, and carbon dioxide.
Properties
| Storage Instructions | All the reagents are stored at 2-8°C. The kit is stable for 6 months from the date of receipt. |
| Synonyms | 10 FTHFDH, 10-FTHFDH, ALDH1L 1, Cytosolic 10-formyltetrahydrofolate dehydrogenase, EC:1.5.1.6 |






