验证数据展示
经过测试的应用
| Positive WB detected in | A549 cells, human liver tissue, mouse brain tissue, U2OS cells |
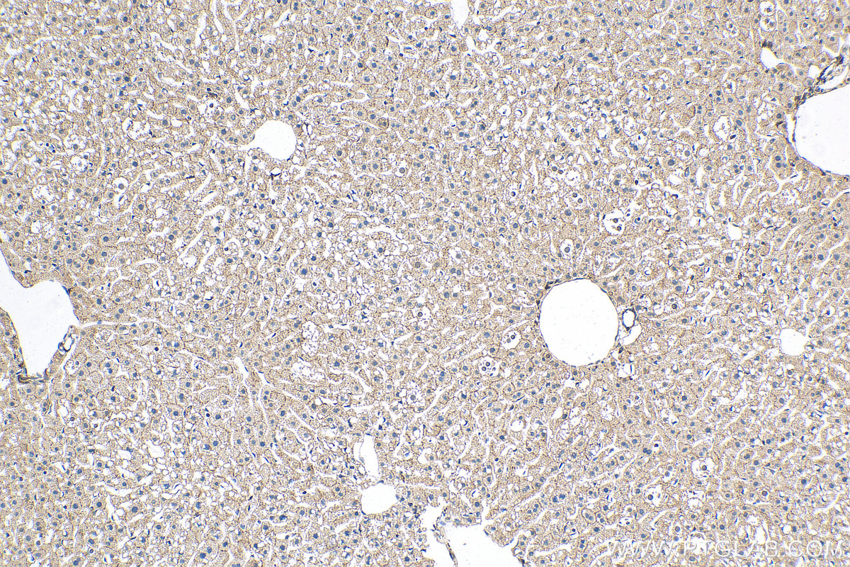
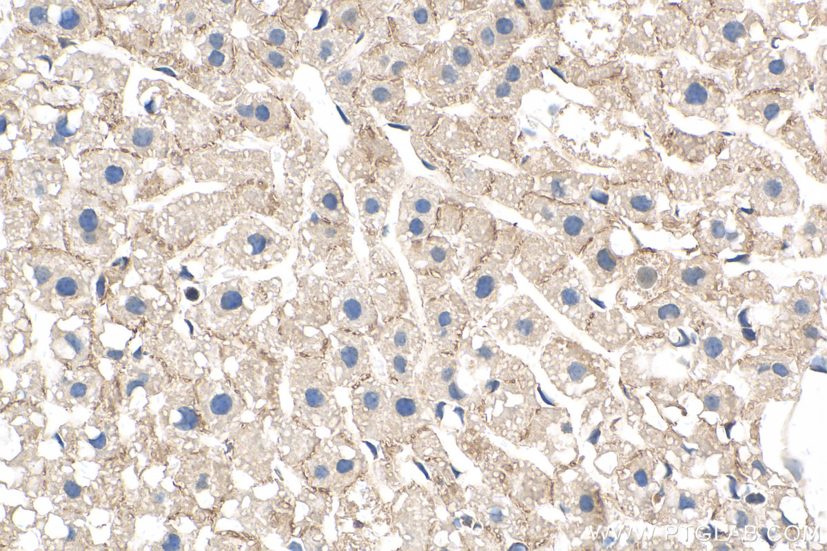
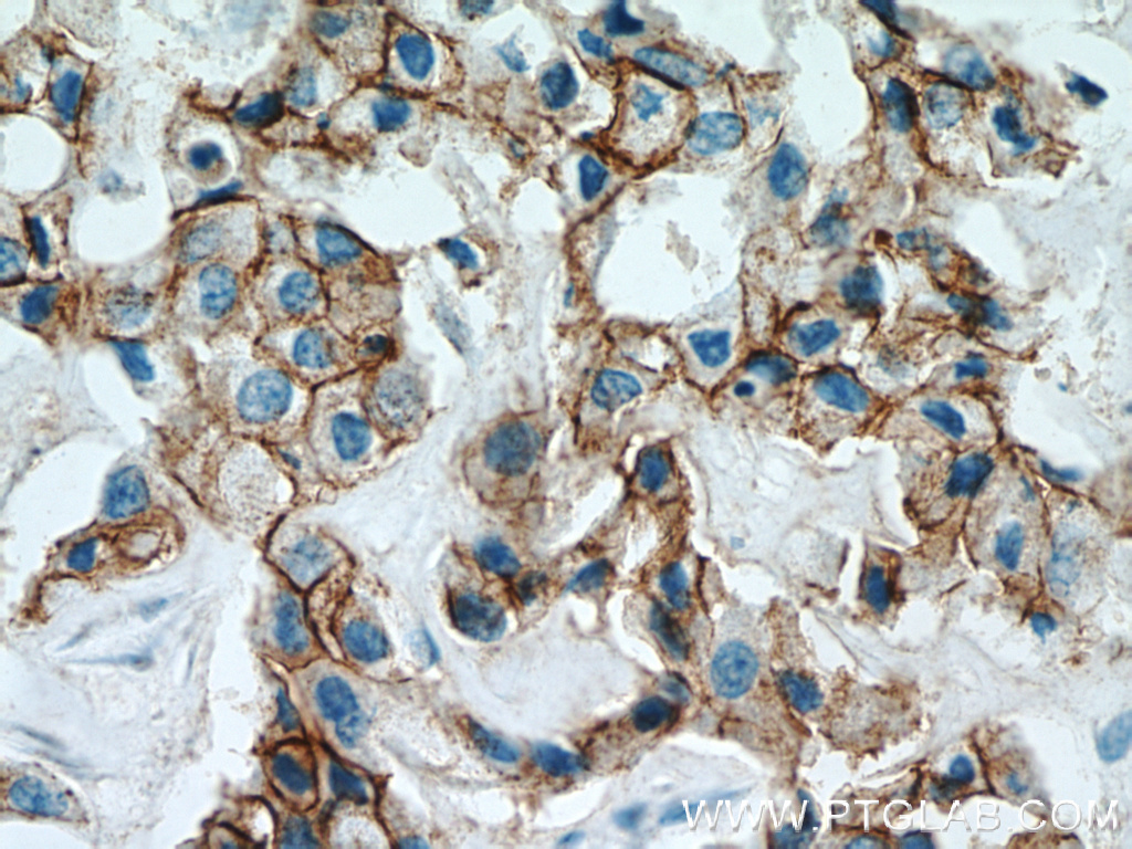
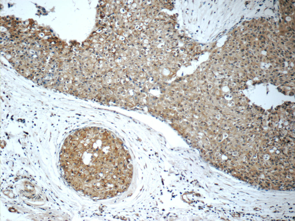
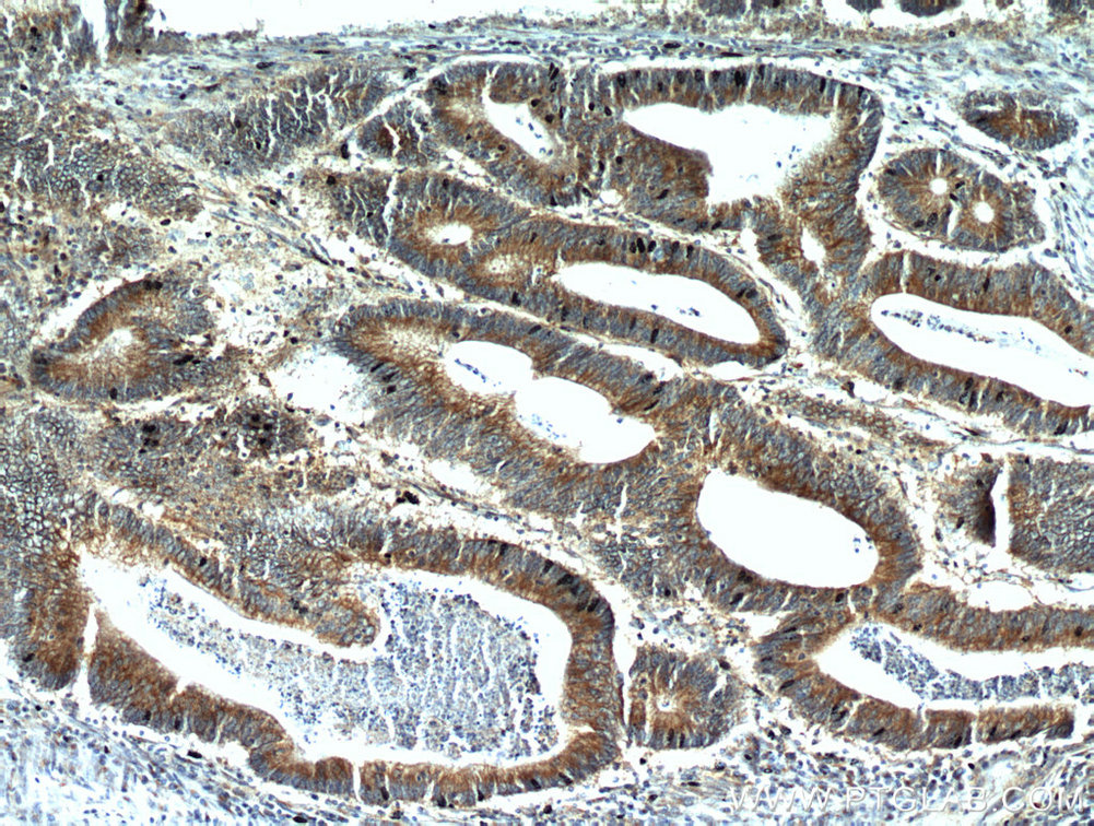
| Positive IHC detected in | mouse liver tissue, human breast cancer tissue, human colon cancer tissue, mouse brain tissue Note: suggested antigen retrieval with TE buffer pH 9.0; (*) Alternatively, antigen retrieval may be performed with citrate buffer pH 6.0 |
推荐稀释比
| 应用 | 推荐稀释比 |
|---|---|
| Western Blot (WB) | WB : 1:2000-1:12000 |
| Immunohistochemistry (IHC) | IHC : 1:50-1:500 |
| It is recommended that this reagent should be titrated in each testing system to obtain optimal results. | |
| Sample-dependent, Check data in validation data gallery. | |
产品信息
21972-1-AP targets ALCAM in WB, IHC, IF, ELISA applications and shows reactivity with human, mouse samples.
| 经测试应用 | WB, IHC, ELISA Application Description |
| 文献引用应用 | WB, IHC, IF |
| 经测试反应性 | human, mouse |
| 文献引用反应性 | human, mouse |
| 免疫原 |
CatNo: Ag16892 Product name: Recombinant human ALCAM protein Source: e coli.-derived, PGEX-4T Tag: GST Domain: 28-400 aa of BC137097 Sequence: WYTVNSAYGDTIIIPCRLDVPQNLMFGKWKYEKPDGSPVFIAFRSSTKKSVQYDDVPEYKDRLNLSENYTLSISNARISDEKRFVCMLVTEDNVFEAPTIVKVFKQPSKPEIVSKALFLETEQLKKLGDCISEDSYPDGNITWYRNGKVLHPLEGAVVIIFKKEMDPVTQLYTMTSTLEYKTTKADIQMPFTCSVTYYGPSGQKTIHSEQAVFDIYYPTEQVTIQVLPPKNAIKEGDNITLKCLGNGNPPPEEFLFYLPGQPEGIRSSNTYTLTDVRRNATGDYKCSLIDKKSMIASTAITVHYLDLSLNPSGEVTRQIGDALPVSCTISASRNATVVWMKDNIRLRSSPSFSSLHYQDAGNYVCETALQEVE 种属同源性预测 |
| 宿主/亚型 | Rabbit / IgG |
| 抗体类别 | Polyclonal |
| 产品类型 | Antibody |
| 全称 | activated leukocyte cell adhesion molecule |
| 别名 | MEMD, CD166 |
| 计算分子量 | 583 aa, 65 kDa |
| 观测分子量 | 100-110 kDa |
| GenBank蛋白编号 | BC137097 |
| 基因名称 | ALCAM |
| Gene ID (NCBI) | 214 |
| RRID | AB_2878958 |
| 偶联类型 | Unconjugated |
| 形式 | Liquid |
| 纯化方式 | Antigen affinity purification |
| UNIPROT ID | Q13740 |
| 储存缓冲液 | PBS with 0.02% sodium azide and 50% glycerol, pH 7.3. |
| 储存条件 | Store at -20°C. Stable for one year after shipment. Aliquoting is unnecessary for -20oC storage. |
背景介绍
Activated leukocyte cell adhesion molecule (ALCAM, also known as CD166) is a cell adhesion molecule that belongs to the immunoglobulin superfamily. It is involved in cell-cell adhesion through homophilic and heterophilic (to CD6) interactions. ALCAM is widely expressed in a variety of normal tissues. Altered ALCAM expression has been associated with the differentiation state and progression in some neoplasms including melanoma, prostate, colorectal, and breast cancers (PMID: 20461761; 18172759).
实验方案
| Product Specific Protocols | |
|---|---|
| IHC protocol for ALCAM antibody 21972-1-AP | Download protocol |
| WB protocol for ALCAM antibody 21972-1-AP | Download protocol |
| Standard Protocols | |
|---|---|
| Click here to view our Standard Protocols |
发表文章
| Species | Application | Title |
|---|---|---|
Cancer Discov Dynamic glycoprotein hyposialylation promotes chemotherapy evasion and metastatic seeding of quiescent circulating tumor cell clusters in breast cancer | ||
EBioMedicine Organoid modelling identifies that DACH1 functions as a tumour promoter in colorectal cancer by modulating BMP signalling. | ||
Front Oncol USP7 regulates growth and maintains the stemness of p53-mutant colorectal cancer cells via stabilizing of mutant p53 | ||
Invest Ophthalmol Vis Sci The Spatial Transcriptomic Atlas of Human Limbus and Vital Niche Microenvironment Regulating the Fate of Limbal Epithelial Stem Cells | ||
Onco Targets Ther Alpha-1 Antitrypsin Induces Epithelial-to-Mesenchymal Transition, Endothelial-to-Mesenchymal Transition, and Drug Resistance in Lung Cancer Cells. | ||












