验证数据展示
经过测试的应用
| Positive WB detected in | THP-1 cells, U-937 cells, HL-60 cells, K-562 cells, Jurkat cells |
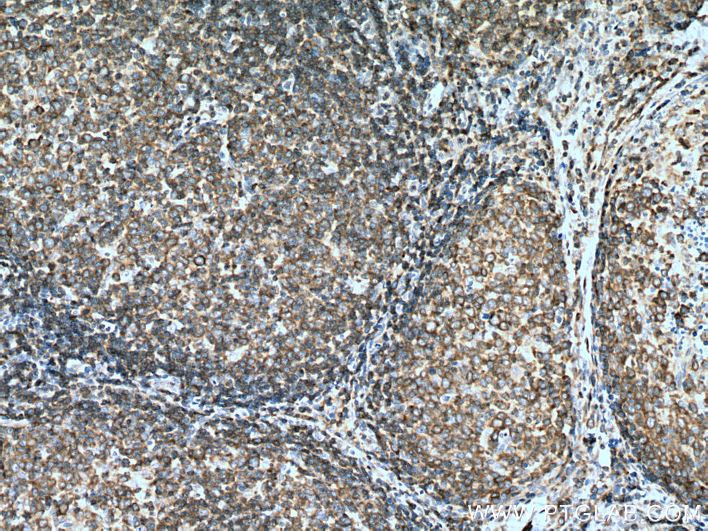
| Positive IHC detected in | human lymphoma tissue, human tonsillitis tissue Note: suggested antigen retrieval with TE buffer pH 9.0; (*) Alternatively, antigen retrieval may be performed with citrate buffer pH 6.0 |
| Positive IF/ICC detected in | Jurkat cells |
| Positive FC (Intra) detected in | HeLa cells |
推荐稀释比
| 应用 | 推荐稀释比 |
|---|---|
| Western Blot (WB) | WB : 1:1000-1:4000 |
| Immunohistochemistry (IHC) | IHC : 1:200-1:800 |
| Immunofluorescence (IF)/ICC | IF/ICC : 1:200-1:800 |
| Flow Cytometry (FC) (INTRA) | FC (INTRA) : 0.40 ug per 10^6 cells in a 100 µl suspension |
| It is recommended that this reagent should be titrated in each testing system to obtain optimal results. | |
| Sample-dependent, Check data in validation data gallery. | |
产品信息
67067-1-Ig targets ADRBK1 in WB, IHC, IF/ICC, FC (Intra), CoIP, ELISA applications and shows reactivity with human samples.
| 经测试应用 | WB, IHC, IF/ICC, FC (Intra), ELISA Application Description |
| 文献引用应用 | WB, IF, CoIP |
| 经测试反应性 | human |
| 文献引用反应性 | human, mouse |
| 免疫原 |
CatNo: Ag5071 Product name: Recombinant human ADRBK1 protein Source: e coli.-derived, PET28a Tag: 6*His Domain: 390-689 aa of BC037963 Sequence: PFRQHKTKDKHEIDRMTLTMAVELPDSFSPELRSLLEGLLQRDVNRRLGCLGRGAQEVKESPFFRSLDWQMVFLQKYPPPLIPPRGEVNAADAFDIGSFDEEDTKGIKLLDSDQELYRNFPLTISERWQQEVAETVFDTINAETDRLEARKKAKNKQLGHEEDYALGKDCIMHGYMSKMGNPFLTQWQRRYFYLFPNRLEWRGEGEAPQSLLTMEEIQSVEETQIKERKCLLLKIRGGKQFILQCDSDPELVQWKKELRDAYREAQQLVQRVPKMKNKPRSPVVELSKVPLVQRGSANGL 种属同源性预测 |
| 宿主/亚型 | Mouse / IgG2a |
| 抗体类别 | Monoclonal |
| 产品类型 | Antibody |
| 全称 | adrenergic, beta, receptor kinase 1 |
| 别名 | ARBK1, GRK2, BARK, BARK1, Beta ARK 1 |
| 计算分子量 | 689 aa, 80 kDa |
| 观测分子量 | 80 kDa |
| GenBank蛋白编号 | BC037963 |
| 基因名称 | ADRBK1 |
| Gene ID (NCBI) | 156 |
| RRID | AB_2882377 |
| 偶联类型 | Unconjugated |
| 形式 | Liquid |
| 纯化方式 | Protein A purification |
| UNIPROT ID | P25098 |
| 储存缓冲液 | PBS with 0.02% sodium azide and 50% glycerol, pH 7.3. |
| 储存条件 | Store at -20°C. Stable for one year after shipment. Aliquoting is unnecessary for -20oC storage. |
实验方案
| Product Specific Protocols | |
|---|---|
| FC protocol for ADRBK1 antibody 67067-1-Ig | Download protocol |
| IF protocol for ADRBK1 antibody 67067-1-Ig | Download protocol |
| IHC protocol for ADRBK1 antibody 67067-1-Ig | Download protocol |
| WB protocol for ADRBK1 antibody 67067-1-Ig | Download protocol |
| Standard Protocols | |
|---|---|
| Click here to view our Standard Protocols |










