验证数据展示
经过测试的应用
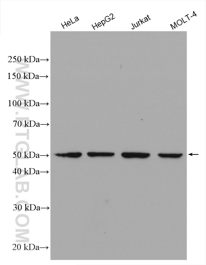
| Positive WB detected in | HeLa cells, HepG2 cells, Jurkat cells, MOLT-4 cells | 
| Positive IHC detected in | human liver tissue Note: suggested antigen retrieval with TE buffer pH 9.0; (*) Alternatively, antigen retrieval may be performed with citrate buffer pH 6.0 | 
| Positive IF/ICC detected in | HeLa cells | 
推荐稀释比
| 应用 | 推荐稀释比 | 
|---|---|
| Western Blot (WB) | WB : 1:500-1:2000 | 
| Immunohistochemistry (IHC) | IHC : 1:20-1:200 | 
| Immunofluorescence (IF)/ICC | IF/ICC : 1:50-1:500 | 
| It is recommended that this reagent should be titrated in each testing system to obtain optimal results. | |
| Sample-dependent, Check data in validation data gallery. | |
发表文章中的应用
| WB | See 4 publications below | 
| IF | See 1 publications below | 
产品信息
15639-1-AP targets ADPGK in WB, IHC, IF/ICC, ELISA applications and shows reactivity with human, mouse, rat samples.
| 经测试应用 | WB, IHC, IF/ICC, ELISA Application Description | 
| 文献引用应用 | WB, IF | 
| 经测试反应性 | human, mouse, rat | 
| 文献引用反应性 | human, mouse | 
| 免疫原 | CatNo: Ag8105 Product name: Recombinant human ADPGK protein Source: e coli.-derived, PGEX-4T Tag: GST Domain: 148-497 aa of BC006112 Sequence: EFPGAQHYVGGNAALIGQKFAANSDLKVLLCGPVGPKLHELLDDNVFVPPESLQEVDEFHLILEYQAGEEWGQLKAPHANRFIFSHDLSNGAMNMLEVFVSSLEEFQPDLVVLSGLHMMEGQSKELQRKRLLEVVTSISDIPTGIPVHLELASMTNRELMSSIVHQQVFPAVTSLGLNEQELLFLTQSASGPHSSLSSWNGVPDVGMVSDILFWILKEHGRSKSRASDLTRIHFHTLVYHILATVDGHWANQLAAVAAGARVAGTQACATETIDTSRVSLRAPQEFMTSHSEAGSRIVLNPNKPVVEWHREGISFHFTPVLVCKDPIRTVGLGDAISAEGLFYSEVHPHY种属同源性预测 | 
| 宿主/亚型 | Rabbit / IgG | 
| 抗体类别 | Polyclonal | 
| 产品类型 | Antibody | 
| 全称 | ADP-dependent glucokinase | 
| 别名 | RbBP 35, PSEC0260, EC:2.7.1.147, ADP-GK, ADP-dependent glucokinase | 
| 计算分子量 | 497 aa, 54 kDa | 
| 观测分子量 | 51 kDa | 
| GenBank蛋白编号 | BC006112 | 
| 基因名称 | ADPGK | 
| Gene ID (NCBI) | 83440 | 
| RRID | AB_2224911 | 
| 偶联类型 | Unconjugated | 
| 形式 | Liquid | 
| 纯化方式 | Antigen affinity purification | 
| UNIPROT ID | Q9BRR6 | 
| 储存缓冲液 | PBS with 0.02% sodium azide and 50% glycerol, pH 7.3. | 
| 储存条件 | Store at -20°C. Stable for one year after shipment. Aliquoting is unnecessary for -20oC storage. | 
背景介绍
ADP-dependent glucokinase (ADPGK) has frst been described 1994 in hyperthermophilic archaea as a novel glucose-phosphorylating enzyme dependent on ADP (adenosine diphosphate) instead of ATP (adenosine triphosphate). Highest ADPGK expression is found in immune cells of both myeloid and lymphoid lineages. Catalyzes the phosphorylation of D-glucose to D-glucose 6-phosphate using ADP as the phosphate donor. GDP and CDP can replace ADP, but with reduced efficiency (By similarity).
实验方案
| Product Specific Protocols | |
|---|---|
| IF protocol for ADPGK antibody 15639-1-AP | Download protocol | 
| IHC protocol for ADPGK antibody 15639-1-AP | Download protocol | 
| WB protocol for ADPGK antibody 15639-1-AP | Download protocol | 
| Standard Protocols | |
|---|---|
| Click here to view our Standard Protocols | 
发表文章
| Species | Application | Title | 
|---|---|---|
| Front Mol Neurosci Quantitative Proteomic Analysis of Mouse Sciatic Nerve Reveals Post-injury Upregulation of ADP-Dependent Glucokinase Promoting Macrophage Phagocytosis. | ||
| Res Sq Molecular and clinical characterization of a founder mutation causing G6PC3 deficiency | ||
| J Clin Immunol Molecular and Clinical Characterization of a Founder Mutation Causing G6PC3 Deficiency | ||
| Biomaterials P-Pev: micelle-like complexes transformed from tumor extracellular vesicles by PEG-PE for personalized therapeutic tumor vaccine | 




