验证数据展示
经过测试的应用
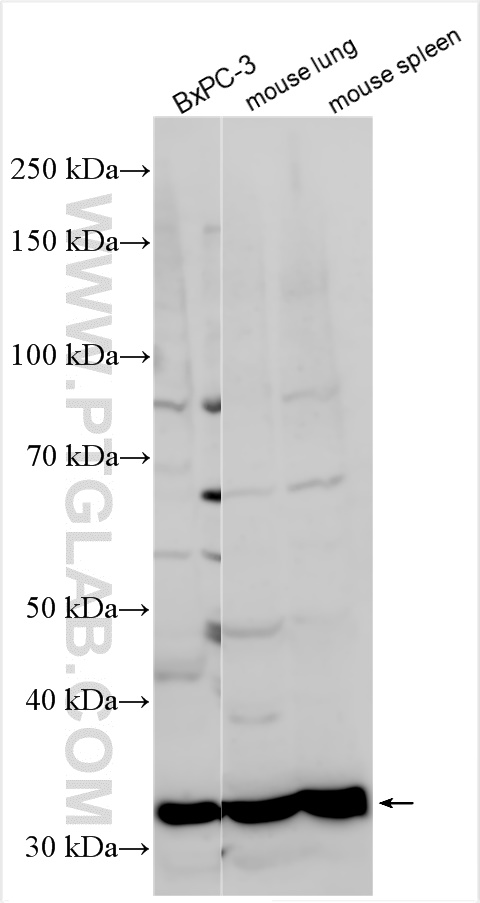
| Positive WB detected in | mouse lung tissue, BxPC-3 cells, PC-13 cells, mouse spleen tissue |
| Positive IP detected in | mouse lung tissue |
推荐稀释比
| 应用 | 推荐稀释比 |
|---|---|
| Western Blot (WB) | WB : 1:500-1:1000 |
| Immunoprecipitation (IP) | IP : 0.5-4.0 ug for 1.0-3.0 mg of total protein lysate |
| It is recommended that this reagent should be titrated in each testing system to obtain optimal results. | |
| Sample-dependent, Check data in validation data gallery. | |
发表文章中的应用
| KD/KO | See 2 publications below |
| WB | See 6 publications below |
产品信息
22234-1-AP targets ADAM28 in WB, IP, ELISA applications and shows reactivity with human, mouse samples.
| 经测试应用 | WB, IP, ELISA Application Description |
| 文献引用应用 | WB |
| 经测试反应性 | human, mouse |
| 文献引用反应性 | human, mouse |
| 免疫原 |
CatNo: Ag17586 Product name: Recombinant human ADAM28 protein Source: e coli.-derived, PGEX-4T Tag: GST Domain: 425-775 aa of BC136478 Sequence: TSEECTNICCDAKTCKIKATFQCALGECCEKCQFKKAGMVCRPAKDECDLPEMCNGKSGNCPDDRFQVNGFPCHHGKGHCLMGTCPTLQEQCTELWGPGTEVADKSCYNRNEGGSKYGYCRRVDDTLIPCKANDTMCGKLFCQGGSDNLPWKGRIVTFLTCKTFDPEDTSQEIGMVANGTKCGDNKVCINAECVDIEKAYKSTNCSSKCKGHAVCDHELQCQCEEGWIPPDCDDSSVVFHFSIVVGVLFPMAVIFVVVAMVIRHQSSREKQKKDQRPLSTTGTRPHKQKRKPQMVKAVQPQEMSQMKPHVYDLPVEGNEPPASFHKDTNALPPTVFKDNPMSTPKDSNPKA 种属同源性预测 |
| 宿主/亚型 | Rabbit / IgG |
| 抗体类别 | Polyclonal |
| 产品类型 | Antibody |
| 全称 | ADAM metallopeptidase domain 28 |
| 别名 | eMDCII, eMDC II, EC:3.4.24.-, Disintegrin and metalloproteinase domain-containing protein 28, ADAM23 |
| 计算分子量 | 775 aa, 87 kDa |
| 观测分子量 | 35 kDa |
| GenBank蛋白编号 | BC136478 |
| 基因名称 | ADAM28 |
| Gene ID (NCBI) | 10863 |
| RRID | AB_2879043 |
| 偶联类型 | Unconjugated |
| 形式 | Liquid |
| 纯化方式 | Antigen affinity purification |
| UNIPROT ID | Q9UKQ2 |
| 储存缓冲液 | PBS with 0.02% sodium azide and 50% glycerol, pH 7.3. |
| 储存条件 | Store at -20°C. Stable for one year after shipment. Aliquoting is unnecessary for -20oC storage. |
背景介绍
ADAM28 belongs to a family of cell surface and secreted glycoproteins that possess both proteolytic and adhesive properties. ADAM28 is predominantly expressed by carcinoma cells in the breast carcinoma tissues as protein bands of 42 kDa and 55/57 kDa, which correspond to the active forms of ADAM28s and ADAM28m, respectively.In human non-small cell lung carcinomas and breast carcinomas, ADAM28 is overexpressed predominantly by carcinoma cells, and the expression correlates with carcinoma cell proliferation and lymph node metastasis(PMID:19601836).
实验方案
| Product Specific Protocols | |
|---|---|
| IP protocol for ADAM28 antibody 22234-1-AP | Download protocol |
| WB protocol for ADAM28 antibody 22234-1-AP | Download protocol |
| Standard Protocols | |
|---|---|
| Click here to view our Standard Protocols |
发表文章
| Species | Application | Title |
|---|---|---|
Nat Commun A small secreted protein NICOL regulates lumicrine-mediated sperm maturation and male fertility | ||
Cancer Lett ADAM28 promotes tumor growth and dissemination of acute myeloid leukemia through IGFBP-3 degradation and IGF-I-induced cell proliferation.
| ||
Biol Reprod ADGRG2 is dispensable for lumicrine signalling regulating epididymal initial segment differentiation and gene expression† | ||
Mol Cell Neurosci Matrix metalloprotease-mediated cleavage of neural glial-related cell adhesion molecules activates quiescent olfactory stem cells via EGFR. | ||
J Reprod Dev Busulfan administration replicated the characteristics of the epididymal initial segment observed in mice lacking testis-epididymis lumicrine signaling |



