验证数据展示
产品信息
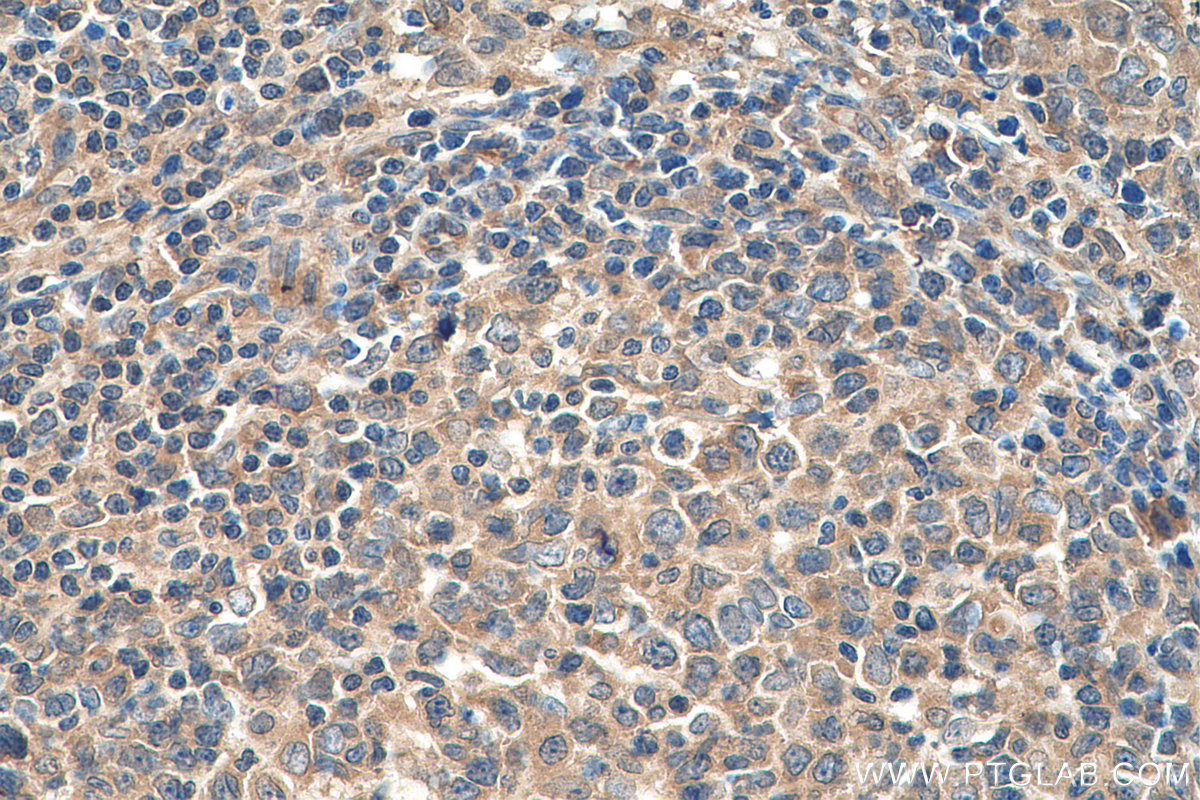
66857-1-PBS targets ACVRL1 in WB, IHC, Indirect ELISA applications and shows reactivity with human, mouse samples.
| 经测试应用 | WB, IHC, Indirect ELISA Application Description |
| 经测试反应性 | human, mouse |
| 免疫原 |
CatNo: Ag6446 Product name: Recombinant human ACVRL1 protein Source: e coli.-derived, PET28a Tag: 6*His Domain: 142-503 aa of BC042637 Sequence: HVRRRQEKQRGLHSELGESSLILKASEQGDSMLGDLLDSDCTTGSGSGLPFLVQRTVARQVALVECVGKGRYGEVWRGLWHGESVAVKIFSSRDEQSWFRETEIYNTVLLRHDNILGFIASDMTSRNSSTQLWLITHYHEHGSLYDFLQRQTLEPHLALRLAVSAACGLAHLHVEIFGTQGKPAIAHRDFKSRNVLVKSNLQCCIADLGLAVMHSQGSDYLDIGNNPRVGTKRYMAPEVLDEQIRTDCFESYKWTDIWAFGLVLWEIARRTIVNGIVEDYRPPFYDVVPNDPSFEDMKKVVCVDQQTPTIPNRLAADPVLSGLAQMMRECWYPNPSARLTALRIKKTLQKISNSPEKPKVIQ 种属同源性预测 |
| 宿主/亚型 | Mouse / IgG1 |
| 抗体类别 | Monoclonal |
| 产品类型 | Antibody |
| 全称 | activin A receptor type II-like 1 |
| 别名 | 2E11B10, Activin receptor like kinase 1, Activin receptor-like kinase 1, ACVRLK1, ALK 1 |
| 计算分子量 | 56 kDa |
| 观测分子量 | 56 kDa, 63 kDa |
| GenBank蛋白编号 | BC042637 |
| 基因名称 | ACVRL1 |
| Gene ID (NCBI) | 94 |
| RRID | AB_2882196 |
| 偶联类型 | Unconjugated |
| 形式 | Liquid |
| 纯化方式 | Protein G purification |
| UNIPROT ID | P37023 |
| 储存缓冲液 | PBS only, pH 7.3. |
| 储存条件 | Store at -80°C. The product is shipped with ice packs. Upon receipt, store it immediately at -80°C |
背景介绍
ACVRL1 (also known as ALK1) is a type I cell-surface receptor for the TGF-beta superfamily of ligands. It shares with other type I receptors a high degree of similarity in serine-threonine kinase subdomains, a glycine- and serine-rich region (called the GS domain) preceding the kinase domain, and a short C-terminal tail. ACVRL1 is highly expressed in endothelial cells and has a critical role in the control of blood vessel development and repair (PMID: 8640225). Mutations in the ACVRL1 gene are associated with hemorrhagic telangiectasia type 2.







