验证数据展示
经过测试的应用
| Positive WB detected in | mouse liver tissue, rat liver tisue |
| Positive IP detected in | mouse brain tissue |
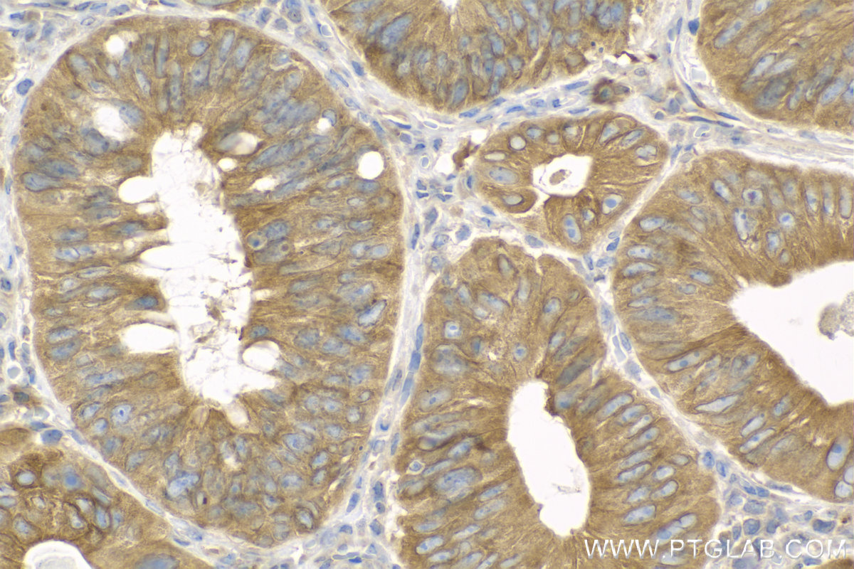
| Positive IHC detected in | human colon cancer tissue Note: suggested antigen retrieval with TE buffer pH 9.0; (*) Alternatively, antigen retrieval may be performed with citrate buffer pH 6.0 |
推荐稀释比
| 应用 | 推荐稀释比 |
|---|---|
| Western Blot (WB) | WB : 1:1000-1:5000 |
| Immunoprecipitation (IP) | IP : 0.5-4.0 ug for 1.0-3.0 mg of total protein lysate |
| Immunohistochemistry (IHC) | IHC : 1:50-1:500 |
| It is recommended that this reagent should be titrated in each testing system to obtain optimal results. | |
| Sample-dependent, Check data in validation data gallery. | |
产品信息
15708-1-AP targets ACSL5 in WB, IHC, IF, IP, ELISA applications and shows reactivity with human, mouse, rat samples.
| 经测试应用 | WB, IHC, IP, ELISA Application Description |
| 文献引用应用 | WB, IF, IP |
| 经测试反应性 | human, mouse, rat |
| 文献引用反应性 | human, mouse, rat, pig |
| 免疫原 |
CatNo: Ag8258 Product name: Recombinant human ACSL5 protein Source: e coli.-derived, PGEX-4T Tag: GST Domain: 388-739 aa of BC007985 Sequence: DIRLLADDMKTLKPTLFPAVPRLLNRIYDKVQNEAKTPLKKFLLKLAVSSKFKELQKGIIRHDSFWDKLIFAKIQDSLGGRVRVIVTGAAPMSTSVMTFFRAAMGCQVYEAYGQTECTGGCTFTLPGDWTSGHVGVPLACNYVKLEDVADMNYFTVNNEGEVCIKGTNVFKGYLKDPEKTQEALDSDGWLHTGDIGRWLPNGTLKIIDRKKNIFKLAQGEYIAPEKIENIYNRSQPVLQIFVHGESLRSSLVGVVVPDTDVLPSFAAKLGVKGSFEELCQNQVVREAILEDLQKIGKESGLKTFEQVKAIFLHPEPFSIENGLLTPTLKAKRGELSKYFRTQIDSLYEHIQD 种属同源性预测 |
| 宿主/亚型 | Rabbit / IgG |
| 抗体类别 | Polyclonal |
| 产品类型 | Antibody |
| 全称 | acyl-CoA synthetase long-chain family member 5 |
| 别名 | ACSL 5, Arachidonate--CoA ligase, EC:6.2.1.15, EC:6.2.1.3, FACL5 |
| 计算分子量 | 76 kDa |
| 观测分子量 | 66-70 kDa |
| GenBank蛋白编号 | BC007985 |
| 基因名称 | ACSL5 |
| Gene ID (NCBI) | 51703 |
| RRID | AB_2257881 |
| 偶联类型 | Unconjugated |
| 形式 | Liquid |
| 纯化方式 | Antigen affinity purification |
| UNIPROT ID | Q9ULC5 |
| 储存缓冲液 | PBS with 0.02% sodium azide and 50% glycerol, pH 7.3. |
| 储存条件 | Store at -20°C. Stable for one year after shipment. Aliquoting is unnecessary for -20oC storage. |
背景介绍
Acyl-CoA synthetase 5, a member of the ACSL gene family that catalyzes the activation of long-chain fatty acids for lipid biosynthesis, is the only ACSL isoform that is both, located on mitochondria and functionally involved in enterocyte apoptosis.ACSL5 could play a role in promoting fatty acid-induced lipoapoptosis in hepatocytes as important mechanism in fatty liver-related disorders(PMID:20470896). ACSL5 is most abundant in liver, brown adipose tissue, and intestine and is located on both the mitochondrial membrane and endoplasmic reticulum(PMID:20798351). It has 3 isoforms produced by alternative splicing.
实验方案
| Product Specific Protocols | |
|---|---|
| IHC protocol for ACSL5 antibody 15708-1-AP | Download protocol |
| IP protocol for ACSL5 antibody 15708-1-AP | Download protocol |
| WB protocol for ACSL5 antibody 15708-1-AP | Download protocol |
| Standard Protocols | |
|---|---|
| Click here to view our Standard Protocols |
发表文章
| Species | Application | Title |
|---|---|---|
Cell Metab AIDA Selectively Mediates Downregulation of Fat Synthesis Enzymes by ERAD to Retard Intestinal Fat Absorption and Prevent Obesity. | ||
Nat Commun Tip60-mediated lipin 1 acetylation and ER translocation determine triacylglycerol synthesis rate. | ||
Cell Death Dis The BRD4-SRPK2-SRSF2 signal modulates the splicing efficiency of ACSL3 pre-mRNA and influences erastin-induced ferroptosis in osteosarcoma cells | ||
Anal Chem Ionic Liquid-Based Extraction System for In-Depth Analysis of Membrane Protein Complexes. | ||
Biochem Pharmacol OTUB1 enhances fatty acid oxidation in APAP-induced liver injury by mediating ACSL5 deubiquitination | ||




