IHCeasy® ACSL5 Ready-To-Use IHC Kit
ACSL5 Ready-to-use reagent kit for IHC.
Reactivity
Human, Mouse, Rat
Sample Type
FFPE tissue
Cat no : KHC3033
Synonyms
ACSL 5, Arachidonate--CoA ligase, EC:6.2.1.15, EC:6.2.1.3, FACL5
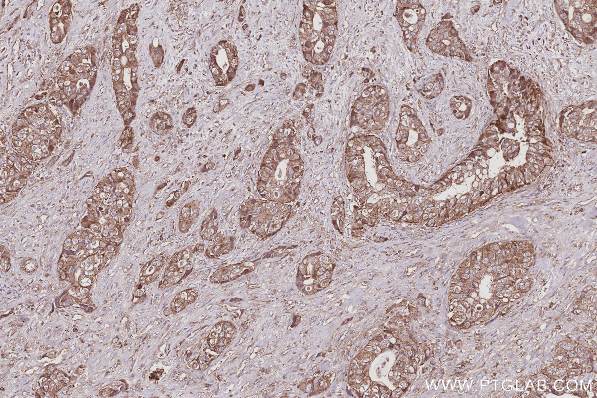
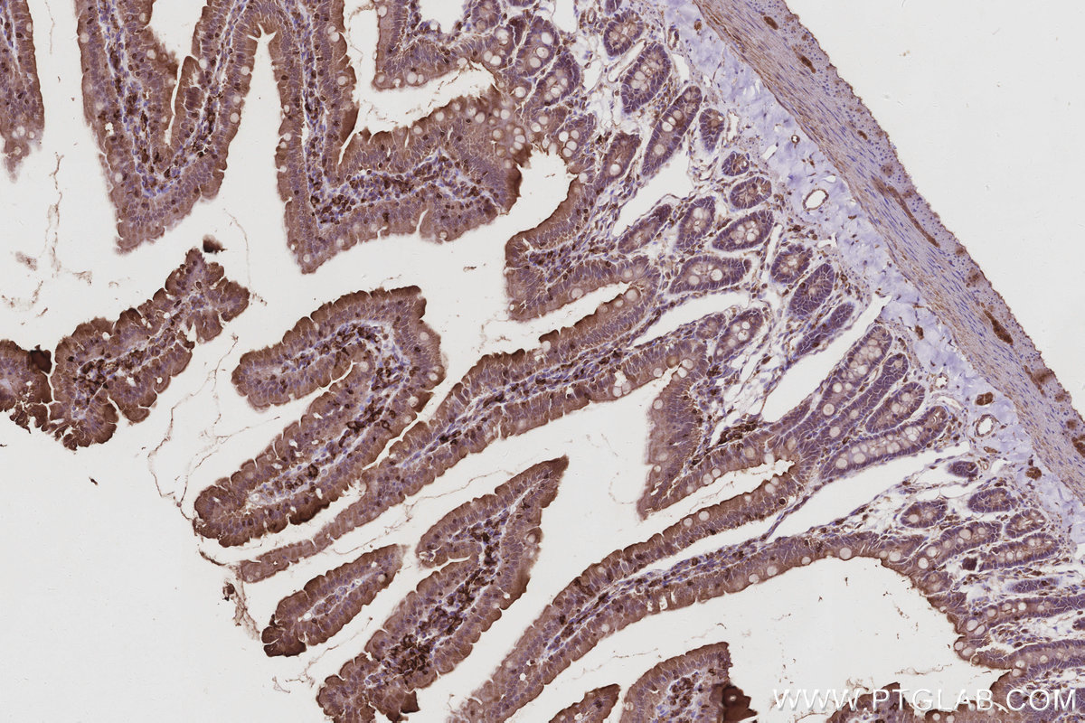
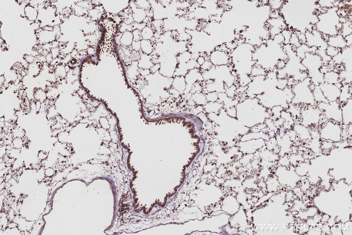
Validation Data Gallery
Product Information
KHC3033 is a ready-to-use IHC kit for staining of ACSL5. The kit provides all reagents, from antigen retrieval to cover slip mounting, that require little to no diluting or handling prior to use. Simply apply the reagents to your sample slide according to the protocol and you're steps away from obtaining high-quality IHC data.
| Product name | IHCeasy® ACSL5 Ready-To-Use IHC Kit |
| Sample type | FFPE tissue |
| Assay type | Immunohistochemistry |
| Primary antibody type | Rabbit Polyclonal |
| Secondary antibody type | Polymer-HRP-Goat anti-Rabbit |
| Reactivity | Human, Mouse, Rat |
Kit components
| Component | Size | Concentration |
|---|---|---|
| Antigen Retrieval Buffer | 100 mL | 50× |
| Washing Buffer | 100 mL ×2 | 20× |
| Blocking Buffer | 5 mL | RTU |
| Primary Antibody | 5 mL | RTU |
| Secondary Antibody | 5 mL | RTU |
| Chromogen Component A | 0.2 mL | RTU |
| Chromogen Component B | 4 mL | RTU |
| Signal Enhancer | 5 mL | RTU |
| Counter Staining Reagent | 5 mL | RTU |
| Mounting Media | 5 mL | RTU |
| Datasheet | 1 Copy | |
| Manual | 1 Copy |
Background Information
Acyl-CoA synthetase 5, a member of the ACSL gene family that catalyzes the activation of long-chain fatty acids for lipid biosynthesis, is the only ACSL isoform that is both, located on mitochondria and functionally involved in enterocyte apoptosis. ACSL5 could play a role in promoting fatty acid-induced lipoapoptosis in hepatocytes as important mechanism in fatty liver-related disorders. ACSL5 is most abundant in liver, brown adipose tissue, and intestine and is located on both the mitochondrial membrane and endoplasmic reticulum.
Properties
| Storage Instructions | All the reagents are stored at 2-8°C. The kit is stable for 6 months from the date of receipt. |
| Synonyms | ACSL 5, Arachidonate--CoA ligase, EC:6.2.1.15, EC:6.2.1.3, FACL5 |




