验证数据展示
产品信息
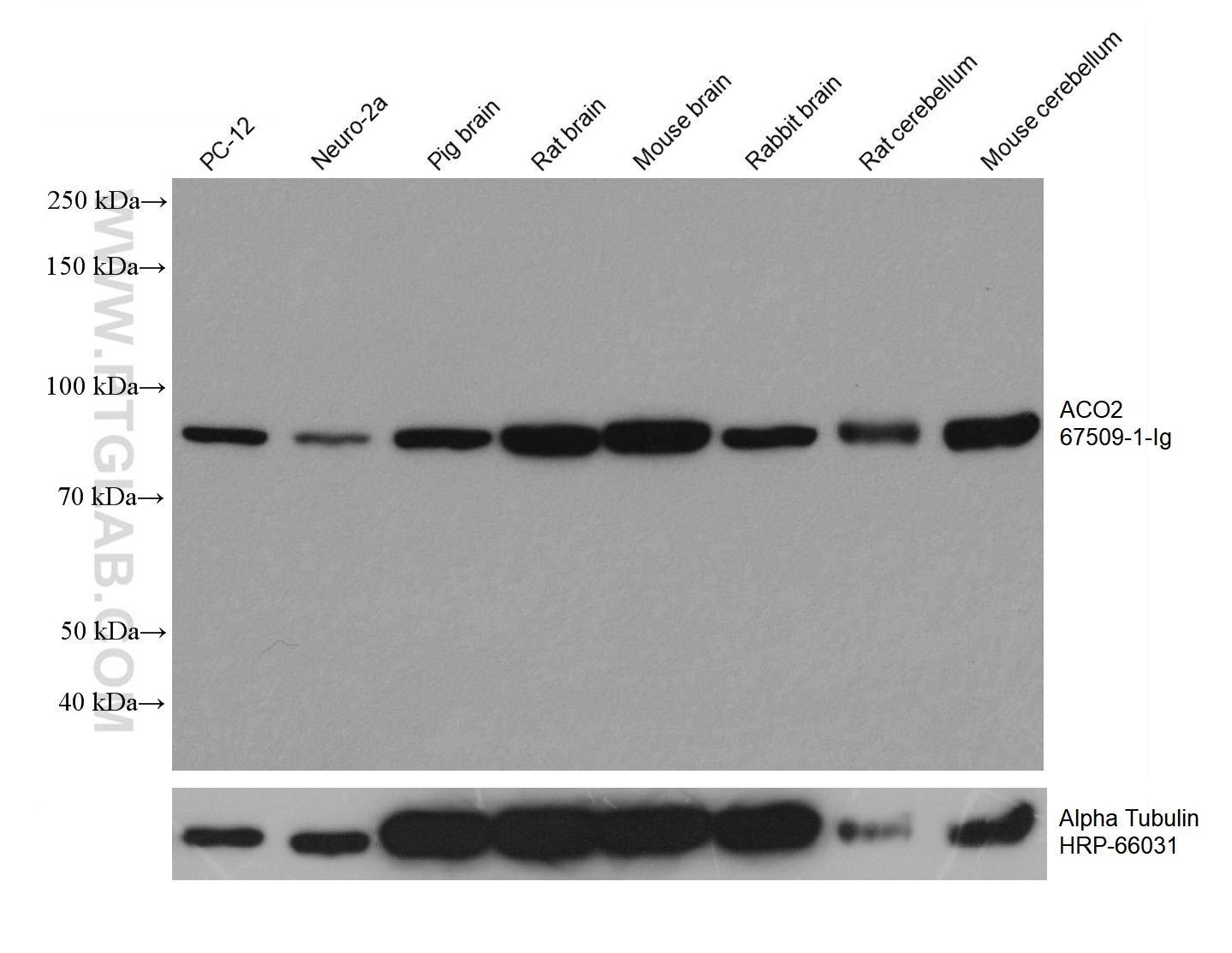
67509-1-PBS targets Aconitase 2 in WB, IHC, FC (Intra), Indirect ELISA applications and shows reactivity with human, mouse, rat, pig samples.
| 经测试应用 | WB, IHC, FC (Intra), Indirect ELISA Application Description |
| 经测试反应性 | human, mouse, rat, pig |
| 免疫原 |
CatNo: Ag17784 Product name: Recombinant human ACO2 protein Source: e coli.-derived, PET28a Tag: 6*His Domain: 1-306 aa of BC014092 Sequence: MAPYSLLVTRLQKALGVRQYHVASVLCQRAKVAMSHFEPNEYIHYDLLEKNINIVRKRLNRPLTLSEKIVYGHLDDPASQEIERGKSYLRLRPDRVAMQDATAQMAMLQFISSGLSKVAVPSTIHCDHLIEAQVGGEKDLRRAKDINQEVYNFLATAGAKYGVGFWKPGSGIIHQIILENYAYPGVLLIGTDSHTPNGGGLGGICIGVGGADAVDVMAGIPWELKCPKVIGVKLTGSLSGWSSPKDVILKVAGILTVKGGTGAIVEYHGPGVDSISCTGMATICNMGAEIGATTSVFPYNHRMKKY 种属同源性预测 |
| 宿主/亚型 | Mouse / IgG1 |
| 抗体类别 | Monoclonal |
| 产品类型 | Antibody |
| 全称 | aconitase 2, mitochondrial |
| 别名 | ACO2, 1F1G4, ACO 2, Aconitase, Aconitase2 |
| 计算分子量 | 85 kDa |
| 观测分子量 | 85 kDa |
| GenBank蛋白编号 | BC014092 |
| 基因名称 | ACO2 |
| Gene ID (NCBI) | 50 |
| RRID | AB_2882730 |
| 偶联类型 | Unconjugated |
| 形式 | Liquid |
| 纯化方式 | Protein G purification |
| UNIPROT ID | Q99798 |
| 储存缓冲液 | PBS only, pH 7.3. |
| 储存条件 | Store at -80°C. The product is shipped with ice packs. Upon receipt, store it immediately at -80°C |
背景介绍
ACO2(aconitate hydratase, mitochondrial) is also named as citrate hydro-lyase and belongs to the aconitase/IPM isomerase family. It plays a key function in cellular energy production, and loss of its activity has a major impact on cellular and organismal survival. Western blot shows two bands of 83 kDa and 40 kDa. The 40 kDa fragment decreases with age and oxidative stress, whereas other fragmentation products with molecular weights between 40 and 83 kDa increased with age and MnSOD(mitochondrial manganese superoxide dismutase) deficiency(PMID:12459471). Defects in ACO2 are the cause of infantile cerebellar-retinal degeneration (ICRD).








