验证数据展示
经过测试的应用
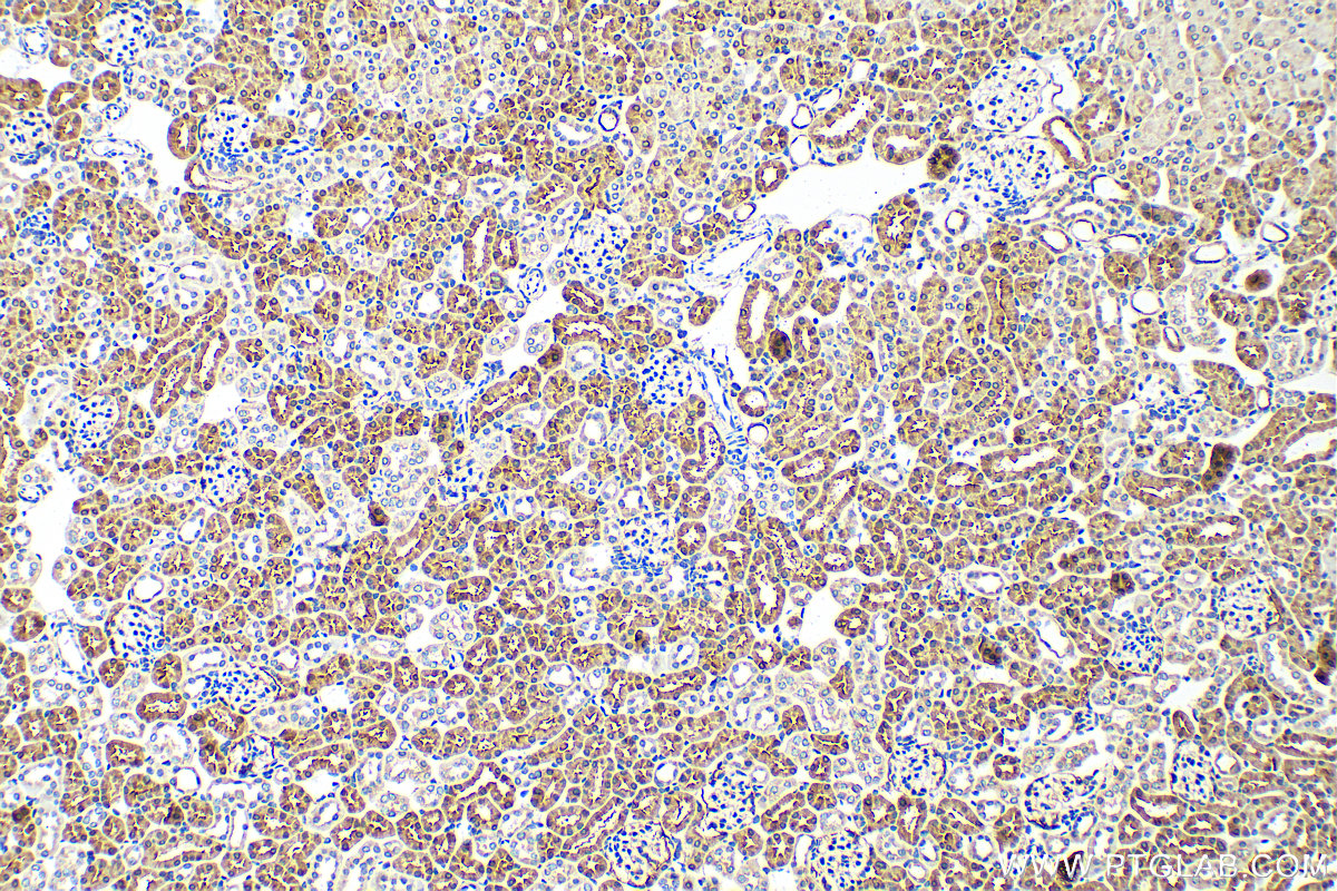
| Positive IHC detected in | mouse kidney tissue Note: suggested antigen retrieval with TE buffer pH 9.0; (*) Alternatively, antigen retrieval may be performed with citrate buffer pH 6.0 |
推荐稀释比
| 应用 | 推荐稀释比 |
|---|---|
| Immunohistochemistry (IHC) | IHC : 1:50-1:500 |
| It is recommended that this reagent should be titrated in each testing system to obtain optimal results. | |
| Sample-dependent, Check data in validation data gallery. | |
产品信息
26834-1-AP targets ACMSD in IHC, ELISA applications and shows reactivity with human, mouse samples.
| 经测试应用 | IHC, ELISA Application Description |
| 经测试反应性 | human, mouse |
| 免疫原 |
CatNo: Ag25230 Product name: Recombinant human ACMSD protein Source: e coli.-derived, PET30a Tag: 6*His Domain: 47-252 aa of BC016018 Sequence: VSYPRRFVGLGTLPMQAPELAVKEMERCVKELGFPGVQIGTHVNEWDLNAQELFPVYAAAERLKCSLFVHPWDMQMDGRMAKYWLPWLVGMPAETTIAICSMIMGGVFEKFPKLKVCFAHGGGAFPFTVGRISHGFSMRPDLCAQDNPMNPKKYLGSFYTDALVHDPLSLKLLTDVIGKDKVILGTDYPFPLGELEPGKLIESMEE 种属同源性预测 |
| 宿主/亚型 | Rabbit / IgG |
| 抗体类别 | Polyclonal |
| 产品类型 | Antibody |
| 全称 | aminocarboxymuconate semialdehyde decarboxylase |
| 别名 | ACMSD, Picolinate carboxylase |
| 计算分子量 | 38 kDa |
| GenBank蛋白编号 | BC016018 |
| 基因名称 | ACMSD |
| Gene ID (NCBI) | 130013 |
| RRID | AB_3085909 |
| 偶联类型 | Unconjugated |
| 形式 | Liquid |
| 纯化方式 | Antigen affinity purification |
| UNIPROT ID | Q8TDX5 |
| 储存缓冲液 | PBS with 0.02% sodium azide and 50% glycerol, pH 7.3. |
| 储存条件 | Store at -20°C. Stable for one year after shipment. Aliquoting is unnecessary for -20oC storage. |
背景介绍
ACMSD (alpha-amino-beta-carboxy-muconate-semialdehyde decarboxylase ) is the key enzyme that regulates the de novo NAD+ synthesis from tryptophan. ACMSD is highly expressed in the liver, kidney and to a lower degree in brain under physiological conditions. The enzyme is primarily cytosolic and is positioned at a critical branching point in the kynurenine pathway, wherein it influences the fate of the precursor 2-amino-3-carboxymuconic-6-semialdehyde (ACMS).
实验方案
| Product Specific Protocols | |
|---|---|
| IHC protocol for ACMSD antibody 26834-1-AP | Download protocol |
| Standard Protocols | |
|---|---|
| Click here to view our Standard Protocols |

