验证数据展示
经过测试的应用
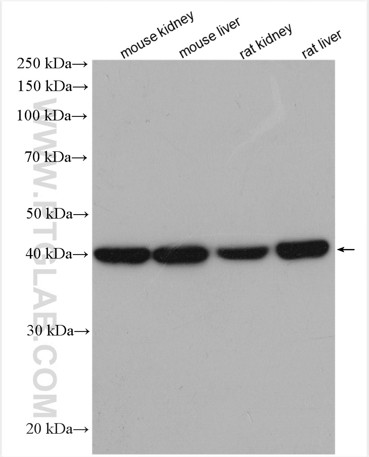
| Positive WB detected in | mouse kidney tissue, COS-7 cells, mouse liver tissue, rat kidney tissue, rat liver tissue |
| Positive IP detected in | HEK-293 cells |
| Positive IHC detected in | human kidney tissue, human heart tissue Note: suggested antigen retrieval with TE buffer pH 9.0; (*) Alternatively, antigen retrieval may be performed with citrate buffer pH 6.0 |
推荐稀释比
| 应用 | 推荐稀释比 |
|---|---|
| Western Blot (WB) | WB : 1:1000-1:4000 |
| Immunoprecipitation (IP) | IP : 0.5-4.0 ug for 1.0-3.0 mg of total protein lysate |
| Immunohistochemistry (IHC) | IHC : 1:20-1:200 |
| It is recommended that this reagent should be titrated in each testing system to obtain optimal results. | |
| Sample-dependent, Check data in validation data gallery. | |
产品信息
16623-1-AP targets ACADS in WB, IHC, IF, IP, ELISA applications and shows reactivity with human, mouse, rat, monkey samples.
| 经测试应用 | WB, IP, IHC, ELISA Application Description |
| 文献引用应用 | WB, IHC, IF, IP |
| 经测试反应性 | human, mouse, rat, monkey |
| 文献引用反应性 | human, mouse, rat |
| 免疫原 |
CatNo: Ag9922 Product name: Recombinant human ACADS protein Source: e coli.-derived, PET28a Tag: 6*His Domain: 1-412 aa of BC025963 Sequence: MAAALLARASGPARRALCPRAWRQLHTIYQSVELPETHQMLLQTCRDFAEKELFPIAAQVDKEHLFPAAQVKKMGGLGLLAMDVPEELGGAGLDYLAYAIAMEEISRGCASTGVIMSVNNSLYLGPILKFGSKEQKQAWVTPFTSGDKIGCFALSEPGNGSDAGAASTTARAEGDSWVLNGTKAWITNAWEASAAVVFASTDRALQNKSISAFLVPMPTPGLTLGKKEDKLGIRGSSTANLIFEDCRIPKDSILGEPGMGFKIAMQTLDMGRIGIASQALGIAQTALDCAVNYAENRMAFGAPLTKLQVIQFKLADMALALESARLLTWRAAMLKDNKKPFIKEAAMAKLAASEAATAISHQAIQILGGMGYVTEMPAERHYRDARITEIYEGTSEIQRLVIAGHLLRSYRS 种属同源性预测 |
| 宿主/亚型 | Rabbit / IgG |
| 抗体类别 | Polyclonal |
| 产品类型 | Antibody |
| 全称 | acyl-Coenzyme A dehydrogenase, C-2 to C-3 short chain |
| 别名 | ACAD3, ACADS, Butyryl CoA dehydrogenase, SCAD |
| 计算分子量 | 412 aa, 44 kDa |
| 观测分子量 | 42 kDa |
| GenBank蛋白编号 | BC025963 |
| 基因名称 | ACADS |
| Gene ID (NCBI) | 35 |
| RRID | AB_10666165 |
| 偶联类型 | Unconjugated |
| 形式 | Liquid |
| 纯化方式 | Antigen affinity purification |
| UNIPROT ID | P16219 |
| 储存缓冲液 | PBS with 0.02% sodium azide and 50% glycerol, pH 7.3. |
| 储存条件 | Store at -20°C. Stable for one year after shipment. Aliquoting is unnecessary for -20oC storage. |
背景介绍
ACADS is also named as SCAD(Short-chain specific acyl-CoA dehydrogenase, mitochondrial) and belongs to the acyl-CoA dehydrogenase family. It is a tetrameric mitochondrial flavoprotein. It is synthesized as a 44 kDa precursor, transported into mitochondria, and proteolytically processed to its 41 kDa mature form. Acyl-CoA de- hydrogenases (ACADs) are a family of flavoproteins that are involved in theβ-oxidation of the fatty acyl-CoA derivatives.
实验方案
| Product Specific Protocols | |
|---|---|
| IHC protocol for ACADS antibody 16623-1-AP | Download protocol |
| IP protocol for ACADS antibody 16623-1-AP | Download protocol |
| WB protocol for ACADS antibody 16623-1-AP | Download protocol |
| Standard Protocols | |
|---|---|
| Click here to view our Standard Protocols |
发表文章
| Species | Application | Title |
|---|---|---|
Cell Res Hypoxia induces mitochondrial protein lactylation to limit oxidative phosphorylation | ||
Cell Metab Targeting Erbin-mitochondria axis in platelets/megakaryocytes promotes B cell-mediated antitumor immunity | ||
Cell Death Differ NAT10 regulates heart development and function by maintaining the expression of genes related to fatty acid β-oxidation and heart contraction | ||
EMBO Rep Lin28 enhances de novo fatty acid synthesis to promote cancer progression via SREBP-1. | ||
Cell Rep HIF-1-Mediated Suppression of Acyl-CoA Dehydrogenases and Fatty Acid Oxidation Is Critical for Cancer Progression. | ||
Aging (Albany NY) ACADS acts as a potential methylation biomarker associated with the proliferation and metastasis of hepatocellular carcinomas.
|








