IHCeasy® ACADS Ready-To-Use IHC Kit
ACADS Ready-to-use reagent kit for IHC.
Reactivity
Human
Sample Type
FFPE tissue
Cat no : KHC3189
Synonyms
SCAD, ACAD3, Butyryl-CoA dehydrogenase, EC:1.3.8.1, Short-chain specific acyl-CoA dehydrogenase, mitochondrial
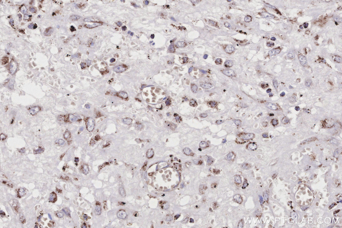
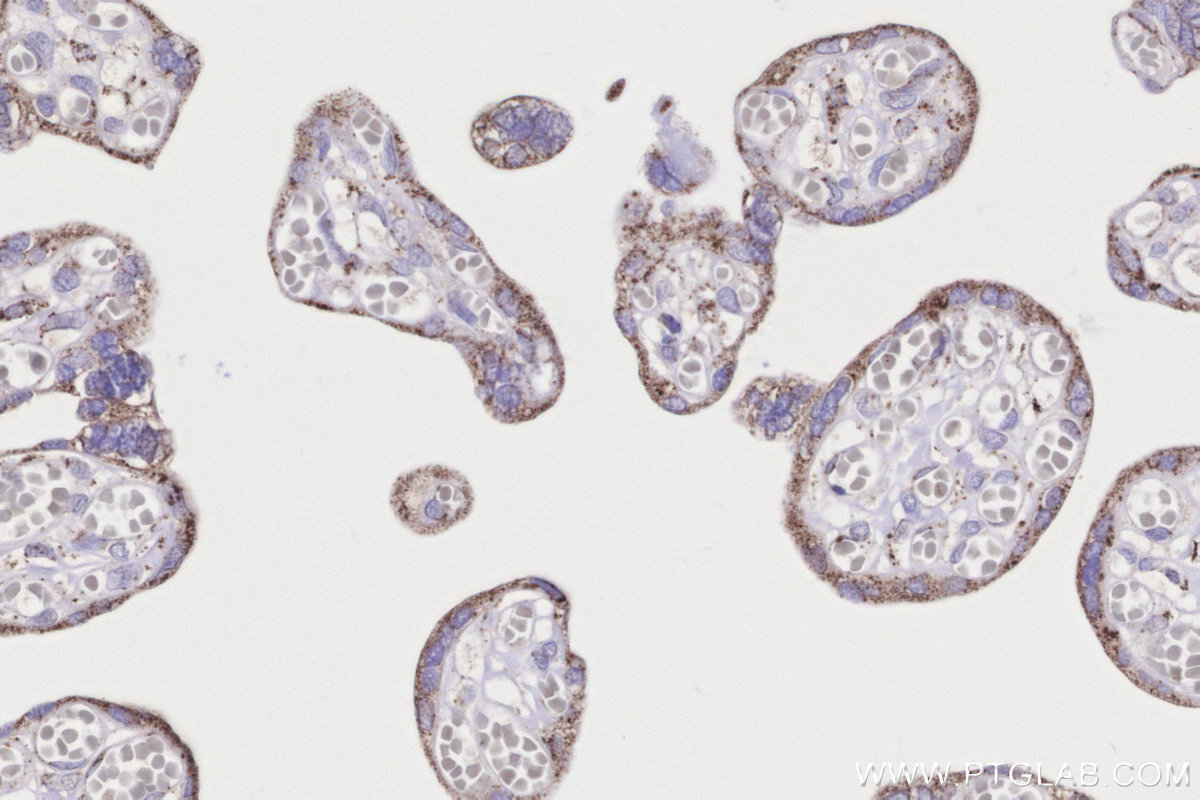
Validation Data Gallery
Product Information
KHC3189 is a ready-to-use IHC kit for staining of ACADS. The kit provides all reagents, from antigen retrieval to cover slip mounting, that require little to no diluting or handling prior to use. Simply apply the reagents to your sample slide according to the protocol and you're steps away from obtaining high-quality IHC data.
| Product name | IHCeasy® ACADS Ready-To-Use IHC Kit |
| Sample type | FFPE tissue |
| Assay type | Immunohistochemistry |
| Primary antibody type | Rabbit Polyclonal |
| Secondary antibody type | Polymer-HRP-Goat anti-Rabbit |
| Reactivity | Human |
Kit components
| Component | Size | Concentration |
|---|---|---|
| Antigen Retrieval Buffer | 100 mL | 50× |
| Washing Buffer | 100 mL ×2 | 20× |
| Blocking Buffer | 5 mL | RTU |
| Primary Antibody | 5 mL | RTU |
| Secondary Antibody | 5 mL | RTU |
| Chromogen Component A | 0.2 mL | RTU |
| Chromogen Component B | 4 mL | RTU |
| Signal Enhancer | 5 mL | RTU |
| Counter Staining Reagent | 5 mL | RTU |
| Mounting Media | 5 mL | RTU |
| Datasheet | 1 Copy | |
| Manual | 1 Copy |
Background Information
ACADS is also named as SCAD(Short-chain specific acyl-CoA dehydrogenase, mitochondrial) and belongs to the acyl-CoA dehydrogenase family. It is a tetrameric mitochondrial flavoprotein. It is synthesized as a 44 kDa precursor, transported into mitochondria, and proteolytically processed to its 41 kDa mature form. Acyl-CoA de- hydrogenases (ACADs) are a family of flavoproteins that are involved in theβ-oxidation of the fatty acyl-CoA derivatives.
Properties
| Storage Instructions | All the reagents are stored at 2-8°C. The kit is stable for 6 months from the date of receipt. |
| Synonyms | SCAD, ACAD3, Butyryl-CoA dehydrogenase, EC:1.3.8.1, Short-chain specific acyl-CoA dehydrogenase, mitochondrial |


