验证数据展示
经过测试的应用
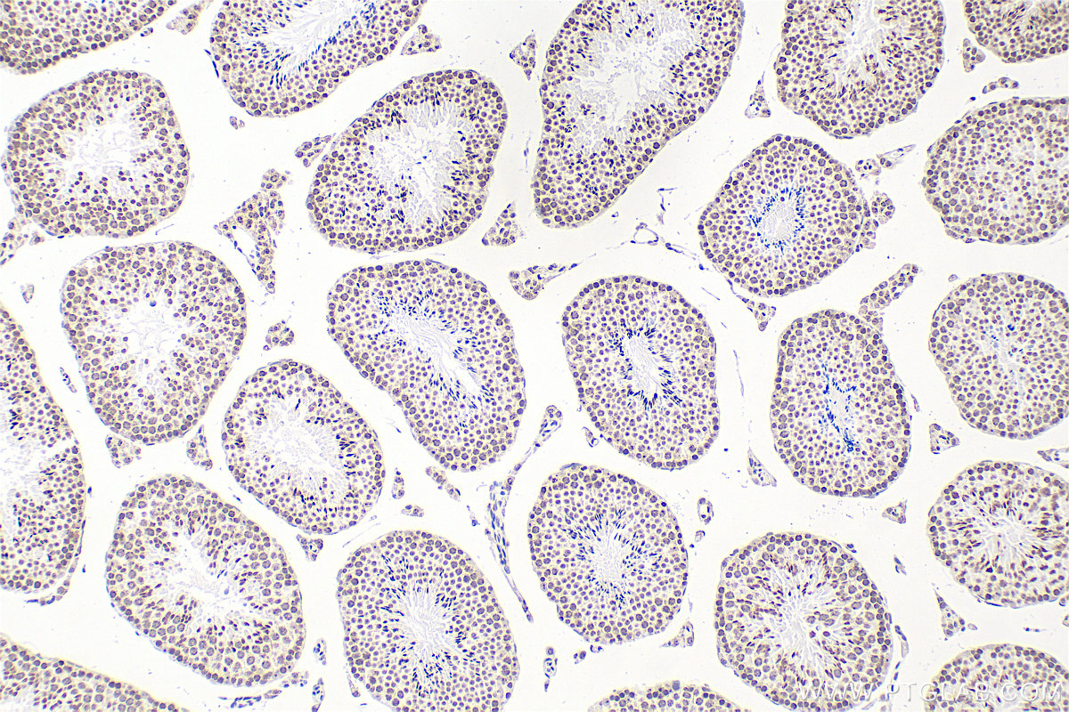
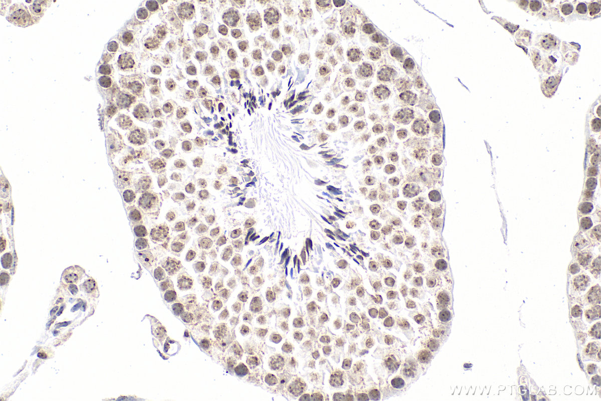
| Positive IHC detected in | mouse testis tissue Note: suggested antigen retrieval with TE buffer pH 9.0; (*) Alternatively, antigen retrieval may be performed with citrate buffer pH 6.0 |
推荐稀释比
| 应用 | 推荐稀释比 |
|---|---|
| Immunohistochemistry (IHC) | IHC : 1:1500-1:6000 |
| It is recommended that this reagent should be titrated in each testing system to obtain optimal results. | |
| Sample-dependent, Check data in validation data gallery. | |
产品信息
Biotin-68301 targets 5-methylcytosine in IHC applications and shows reactivity with 5mc, chemical compound, m5c samples.
| 经测试应用 | IHC Application Description |
| 经测试反应性 | 5mc, chemical compound, m5c |
| 免疫原 |
Peptide 种属同源性预测 |
| 宿主/亚型 | Mouse / IgG2b |
| 抗体类别 | Monoclonal |
| 产品类型 | Antibody |
| 全称 | 5-methylcytosine |
| 别名 | m5C, 5mC |
| 基因名称 | |
| Gene ID (NCBI) | |
| RRID | AB_3746767 |
| 偶联类型 | Biotin |
| 形式 | Liquid |
| 纯化方式 | Protein A purification |
| 储存缓冲液 | PBS with 50% glycerol, 0.05% Proclin300, 0.5% BSA, pH 7.3. |
| 储存条件 | Store at -20°C. Avoid exposure to light. Stable for one year after shipment. Aliquoting is unnecessary for -20oC storage. |
背景介绍
In eukaryotes, 5-methylcytosine in DNA (5mC) and its oxidized derivatives (5-hydroxymethylcytosine (5hmC), 5-formylcytosine (5fC), and 5-carboxylcytosine (5caC)) are the most prominent modifications and have been suggested to contribute to epigenetic gene regulation through a variety of different mechanisms. m5C has also been found in mRNA, rRNA and tRNA of representative organisms from all kinds of species. As reversible epigenetic modifications, m5C modifications of RNA affect the fate of the modified RNA molecules and play important roles in various biological processes including RNA stability control, protein synthesis, and transcriptional regulation (PMID: 35365216).
This antibody can recognize both 5mC in DNA and m5C in RNA.
Protocol for Dot Blot:
https://www.ptglab.com/protocol/68301-1-IgDotBlot.pdf
实验方案
| Product Specific Protocols | |
|---|---|
| IHC protocol for Biotin 5-methylcytosine antibody Biotin-68301 | Download protocol |
| Standard Protocols | |
|---|---|
| Click here to view our Standard Protocols |

