验证数据展示
经过测试的应用
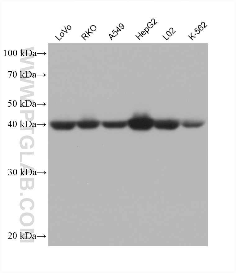
| Positive WB detected in | LoVo cells, A549 cells, HEK-293 cells, HepG2 cells, K-562 cells, MCF-7 cells, NCI-H1299 cells, L02 cells, RKO cells |
| Positive IP detected in | K-562 cells |
| Positive IHC detected in | mouse liver tissue Note: suggested antigen retrieval with TE buffer pH 9.0; (*) Alternatively, antigen retrieval may be performed with citrate buffer pH 6.0 |
| Positive IF/ICC detected in | H9C2 cells |
| Positive FC (Intra) detected in | K-562 cells |
推荐稀释比
| 应用 | 推荐稀释比 |
|---|---|
| Western Blot (WB) | WB : 1:2000-1:10000 |
| Immunoprecipitation (IP) | IP : 0.5-4.0 ug for 1.0-3.0 mg of total protein lysate |
| Immunohistochemistry (IHC) | IHC : 1:250-1:1000 |
| Immunofluorescence (IF)/ICC | IF/ICC : 1:400-1:1600 |
| Flow Cytometry (FC) (INTRA) | FC (INTRA) : 0.50 ug per 10^6 cells in a 100 µl suspension |
| It is recommended that this reagent should be titrated in each testing system to obtain optimal results. | |
| Sample-dependent, Check data in validation data gallery. | |
发表文章中的应用
| WB | See 6 publications below |
| IHC | See 1 publications below |
产品信息
68049-1-Ig targets AIFM2/ FSP1 in WB, IHC, IF/ICC, FC (Intra), IP, ELISA applications and shows reactivity with human, mouse samples.
| 经测试应用 | WB, IHC, IF/ICC, FC (Intra), IP, ELISA Application Description |
| 文献引用应用 | WB, IHC |
| 经测试反应性 | human, mouse |
| 文献引用反应性 | human, mouse, rat |
| 免疫原 |
CatNo: Ag30516 Product name: Recombinant human AIFM2 protein Source: e coli.-derived, PET28a Tag: 6*His Domain: 1-373 aa of BC023601 Sequence: MGSQVSVESGALHVVIVGGGFGGIAAASQLQALNVPFMLVDMKDSFHHNVAALRASVETGFAKKTFISYSVTFKDNFRQGLVVGIDLKNQMVLLQGGEALPFSHLILATGSTGPFPGKFNEVSSQQAAIQAYEDMVRQVQRSRFIVVVGGGSAGVEMAAEIKTEYPEKEVTLIHSQVALADKELLPSVRQEVKEILLRKGVQLLLSERVSNLEELPLNEYREYIKVQTDKGTEVATNLVILCTGIKINSSAYRKAFESRLASSGALRVNEHLQVEGHSNVYAIGDCADVRTPKMAYLAGLHANIAVANIVNSVKQRPLQAYKPGALTFLLSMGRNDGVGQISGFYVGRLMVRLTKSRDLFVSTSWKTMRQSPP 种属同源性预测 |
| 宿主/亚型 | Mouse / IgG1 |
| 抗体类别 | Monoclonal |
| 产品类型 | Antibody |
| 全称 | apoptosis-inducing factor, mitochondrion-associated, 2 |
| 别名 | AIFM2, AMID, FSP1, 1A2B2, AIFM 2 |
| 计算分子量 | 41 kDa |
| 观测分子量 | 41 kDa |
| GenBank蛋白编号 | BC023601 |
| 基因名称 | AIFM2/ FSP1 |
| Gene ID (NCBI) | 84883 |
| RRID | AB_2918791 |
| 偶联类型 | Unconjugated |
| 形式 | Liquid |
| 纯化方式 | Protein G purification |
| UNIPROT ID | Q9BRQ8 |
| 储存缓冲液 | PBS with 0.02% sodium azide and 50% glycerol, pH 7.3. |
| 储存条件 | Store at -20°C. Stable for one year after shipment. Aliquoting is unnecessary for -20oC storage. |
背景介绍
The human AIFM2 protein (also known as FSP1 or AMID) is an apoptosis associated flavoprotein with a 6-hydroxy FAD cofactor. AIFM2 is a NAD(P)H-binding oxidoreductase with some sequence similarities to A1FM1 (formerly known as AIF, Apoptosis Inducing Factor), a mitochondrion-associated enzyme which relocates to the cell nucleus during apoptosis and is considered to be a key player in the progression of cell death.
实验方案
| Product Specific Protocols | |
|---|---|
| FC protocol for AIFM2/ FSP1 antibody 68049-1-Ig | Download protocol |
| IF protocol for AIFM2/ FSP1 antibody 68049-1-Ig | Download protocol |
| IHC protocol for AIFM2/ FSP1 antibody 68049-1-Ig | Download protocol |
| IP protocol for AIFM2/ FSP1 antibody 68049-1-Ig | Download protocol |
| WB protocol for AIFM2/ FSP1 antibody 68049-1-Ig | Download protocol |
| Standard Protocols | |
|---|---|
| Click here to view our Standard Protocols |
发表文章
| Species | Application | Title |
|---|---|---|
Exp Cell Res Protocadherin 17 weakens the lenvatinib resistance of liver cancer through inducing ferroptosis | ||
Front Pharmacol Combination decoction of Astragalus mongholicus and Salvia miltiorrhiza mitigates pressure-overload cardiac dysfunction by inhibiting multiple ferroptosis pathways | ||
Research (Wash D C) PRMT5-Mediated Arginine Methylation of ACSL4 Attenuates Its Stability and Suppresses Ferroptosis in Renal Cancer | ||












