Notable Publications - June Update
A small selection of recent notable publications from around the world
What matters to Proteintech is the success of its antibodies in the hands of scientists.
Here’s just a small selection of publications featuring Proteintech products from May-June 2017.
The transcriptional coactivator TAZ regulates reciprocal differentiation of TH17 cells and Treg cells.
Geng and Yu et al
Nature Immunology (2017)
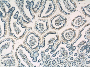
Country: China
Institution: Xiamen University
Cited products: KAT5 Antibody (10827-1-AP)
| 5 Publications | Applications: ELISA, IF, IHC, WB |
![]() |
|
| Immunofluorescent analysis of ( 10% Formaldehyde ) fixed PC-3 cells using 10827-1-AP( KAT5 Antibody) at dilution of 1:50 and Alexa Fluor 488-congugated AffiniPure Goat Anti-Rabbit IgG(H+L) | Immunohistochemical of paraffin-embedded human prostate cancer using 10827-1-AP(KAT5 antibody) at dilution of 1:100 (under 10x lens) |
Architecture of the human interactome defines protein communities and disease networks.
Huttlin and Bruckner et al
Nature 545, 505–509
Country: US
Institution: Harvard Medical School
Cited products: CCDC53 Antibody (24445-1-AP)
| Catalog number: 24445-1-AP | Applications: ELISA, IHC, WB |
MK2 Phosphorylates RIPK1 to Prevent TNF-Induced Cell Death
Jacko and Annibaldi et al
Molecular Cell
Country: UK
Institution: Breast Cancer Now Toby Robins Research Centre
Cited products: SHARPIN Antibody (14626-1-AP)
| 29 Publications | KD/KO Validated |
![]() |
![]() |
| Immunohistochemistry of paraffin-embedded human small intestine tissue slide using 14626-1-AP( SHARPIN Antibody) at dilution of 1:50 (under 10x lens) | IP Result of anti-SHARPIN (IP:14626-1-AP, 3ug; Detection:14626-1-AP 1:1500) with Raji cells lysate 2520ug. |
Exosomes maintain cellular homeostasis by excreting harmful DNA from cells
Takahashi and Okada et al
Nature Communictions
Country: Japan
Institution: Japanese Foundation for Cancer Research (JFCR)
Cited products: TSG101, SYTL4, RAB27B, RAB27A and PDCD6IP
| Antibody | Catalog number | ||
| TSG101 Antibody | 14497-1-AP | KD/KO Validated | 15 Publications |
| SYTL4 Antibody | 12128-1-AP | 2 Publications | |
| RAB27B Antibody | 13412-1-AP | KD/KO Validated | 7 Publications |
| RAB27A Antibody | 17817-1-AP | KD/KO Validated | 10 Publications |
| PDCD6IP Antibody | 12422-1-AP | KD/KO Validated | 8 Publications |
Phosphorylation of Pkp1 by RIPK4 regulates epidermal differentiation and skin tumorigenesis.
Lee P and Jiang S et al
EMBO J
Country: US
Institution: The University of Chicago
Cited products: Sur-8 Antibody (17561-1-AP)
| 5 Publications | Applications: ELISA, IHC, IP, WB |




