验证数据展示
经过测试的应用
| Positive WB detected in | rat spleen tissue, A375 cells, DU 145 cells, MCF-7 cells, PC-3 cells |
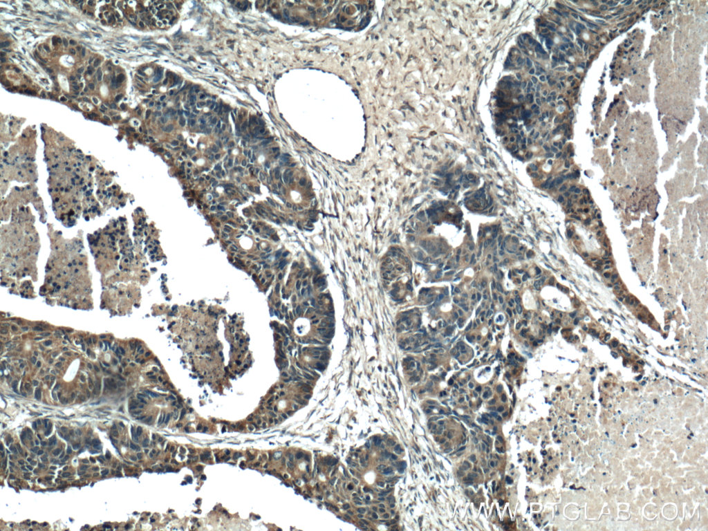
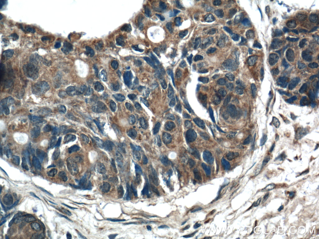
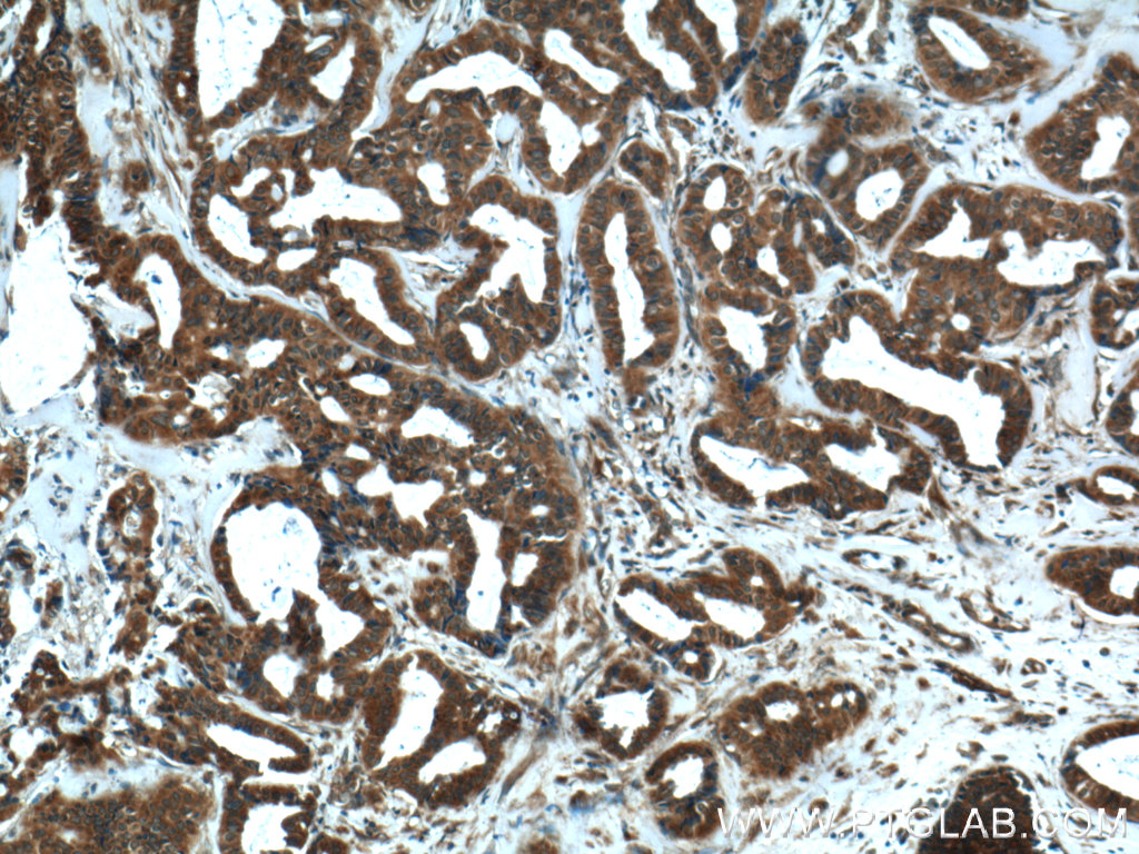
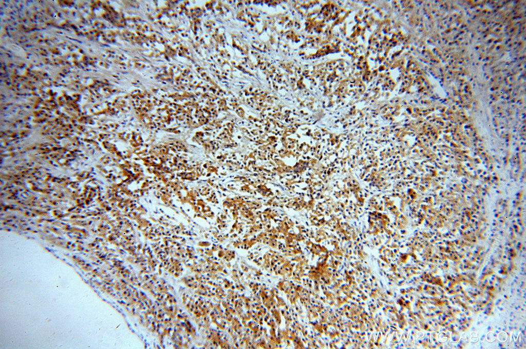
| Positive IHC detected in | rat stomach tissue, human breast cancer tissue, human colon cancer tissue, human liver cancer tissue, human oesophagus cancer tissue, human pancreas cancer tissue, human prostate cancer tissue, human testis tissue, mouse stomach tissue Note: suggested antigen retrieval with TE buffer pH 9.0; (*) Alternatively, antigen retrieval may be performed with citrate buffer pH 6.0 |
| Positive IF/ICC detected in | U-87 MG cells, HeLa cells |
推荐稀释比
| 应用 | 推荐稀释比 |
|---|---|
| Western Blot (WB) | WB : 1:500-1:2000 |
| Immunohistochemistry (IHC) | IHC : 1:250-1:1000 |
| Immunofluorescence (IF)/ICC | IF/ICC : 1:50-1:500 |
| It is recommended that this reagent should be titrated in each testing system to obtain optimal results. | |
| Sample-dependent, Check data in validation data gallery. | |
产品信息
13412-1-AP targets RAB27B in WB, IHC, IF/ICC, CoIP, ELISA applications and shows reactivity with human, mouse, rat samples.
| 经测试应用 | WB, IHC, IF/ICC, ELISA Application Description |
| 文献引用应用 | WB, IHC, IF, CoIP |
| 经测试反应性 | human, mouse, rat |
| 文献引用反应性 | human, mouse, rat, canine |
| 免疫原 |
CatNo: Ag4064 Product name: Recombinant human RAB27B protein Source: e coli.-derived, PGEX-4T Tag: GST Domain: 1-218 aa of BC027474 Sequence: MTDGDYDYLIKLLALGDSGVGKTTFLYRYTDNKFNPKFITTVGIDFREKRVVYNAQGPNGSSGKAFKVHLQLWDTAGQERFRSLTTAFFRDAMGFLLMFDLTSQQSFLNVRNWMSQLQANAYCENPDIVLIGNKADLPDQREVNERQARELADKYGIPYFETSAATGQNVEKAVETLLDLIMKRMEQCVEKTQIPDTVNGGNSGNLDGEKPPEKKCIC 种属同源性预测 |
| 宿主/亚型 | Rabbit / IgG |
| 抗体类别 | Polyclonal |
| 产品类型 | Antibody |
| 全称 | RAB27B, member RAS oncogene family |
| 别名 | C25KG, EC:3.6.5.2, Ras related protein Rab 27B, Ras-related protein Rab-27B |
| 计算分子量 | 218 aa, 25 kDa |
| 观测分子量 | 25-30 kDa |
| GenBank蛋白编号 | BC027474 |
| 基因名称 | RAB27B |
| Gene ID (NCBI) | 5874 |
| RRID | AB_2176732 |
| 偶联类型 | Unconjugated |
| 形式 | Liquid |
| 纯化方式 | Antigen affinity purification |
| UNIPROT ID | O00194 |
| 储存缓冲液 | PBS with 0.02% sodium azide and 50% glycerol, pH 7.3. |
| 储存条件 | Store at -20°C. Stable for one year after shipment. Aliquoting is unnecessary for -20oC storage. |
背景介绍
The Rab27 GTPase subfamily consists of two closely related homologs, Rab27a and Rab27b. Northern blot analysis revealed that Rab27b is expressed significantly only in testis, in which the predominant transcript was 1.4 kb in size. An 8-kb mRNA of unknown origin was detected in many tissues. Rab27b is associated with tubulovesicle membranes in the parietal cell and Rab27b may play a role in stimulation-associated membrane recruitment and gastric acid secretion. Rab27b is recently reported as a marker for breast cancer progression. It regulates invasive growth and metastasis in ER-positive breast cancer cell lines, and increased expression is associated with poor prognosis in humans.
实验方案
| Product Specific Protocols | |
|---|---|
| IF protocol for RAB27B antibody 13412-1-AP | Download protocol |
| IHC protocol for RAB27B antibody 13412-1-AP | Download protocol |
| WB protocol for RAB27B antibody 13412-1-AP | Download protocol |
| Standard Protocols | |
|---|---|
| Click here to view our Standard Protocols |
发表文章
| Species | Application | Title |
|---|---|---|
Nature Microenvironment-induced PTEN loss by exosomal microRNA primes brain metastasis outgrowth. | ||
Cell Exosome transfer from stromal to breast cancer cells regulates therapy resistance pathways. | ||
Immunity MLKL, the Protein that Mediates Necroptosis, Also Regulates Endosomal Trafficking and Extracellular Vesicle Generation. | ||
Nat Commun Identification of genes associated with cortical malformation using a transposon-mediated somatic mutagenesis screen in mice. | ||





























