验证数据展示
经过测试的应用
| Positive WB detected in | mouse brain tissue, SH-SY5Y cells, PC-3 cells, rat brain tissue |
| Positive IP detected in | mouse brain tissue |
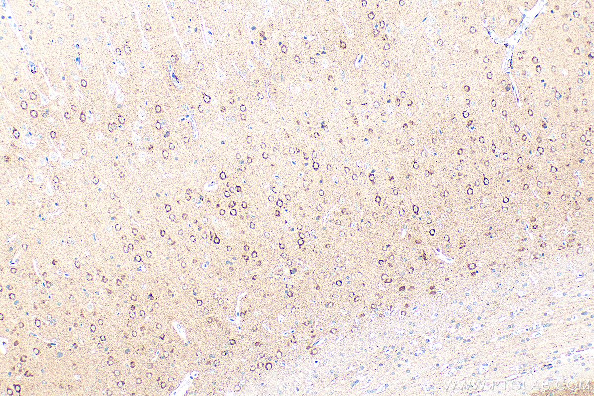
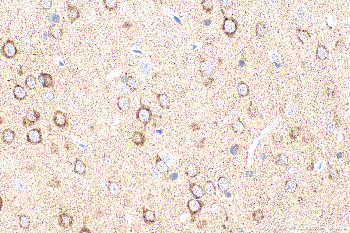
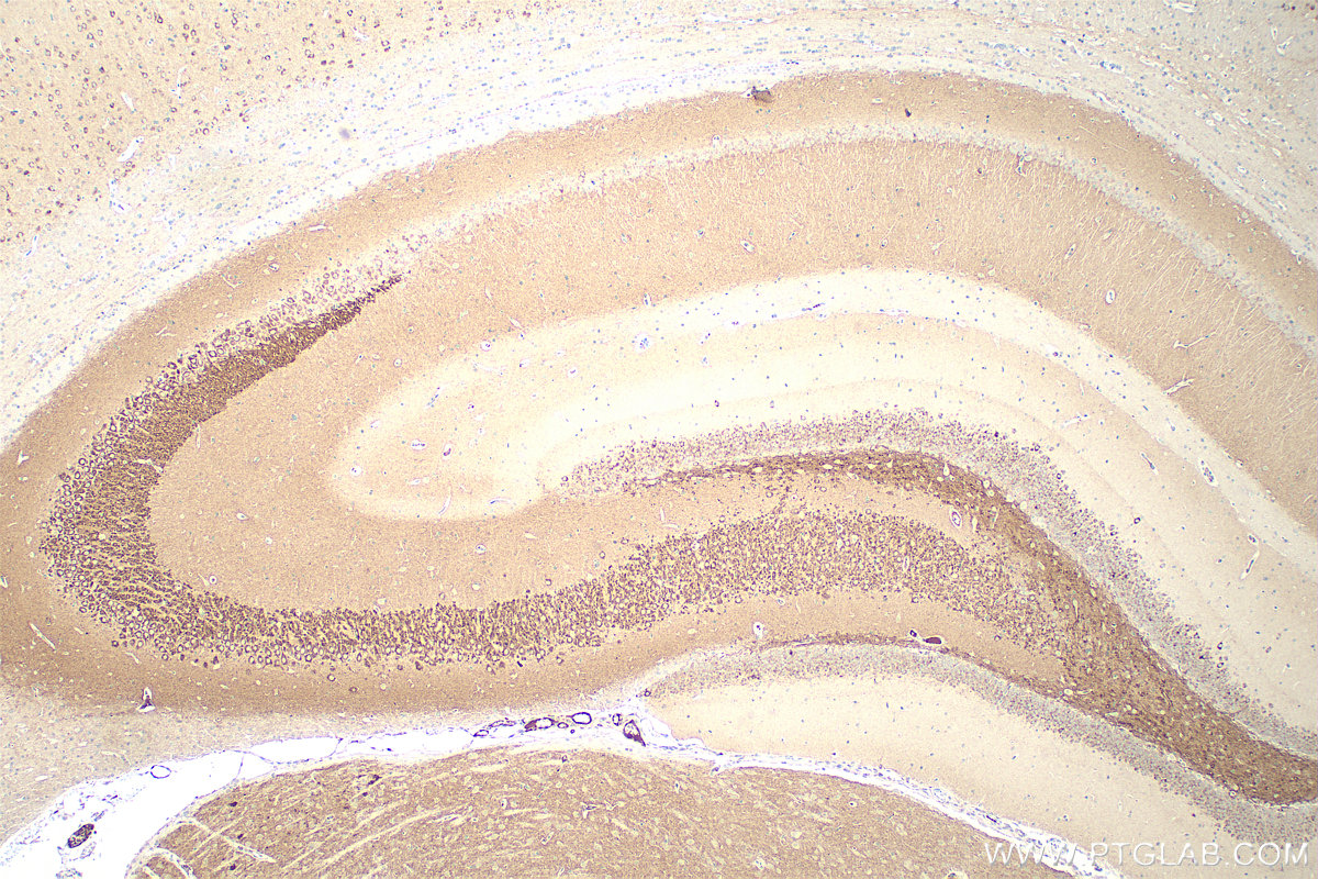
| Positive IHC detected in | human brain tissue, human pancreas cancer tissue, rat brain tissue Note: suggested antigen retrieval with TE buffer pH 9.0; (*) Alternatively, antigen retrieval may be performed with citrate buffer pH 6.0 |
| Positive IF/ICC detected in | SH-SY5Y cells |
推荐稀释比
| 应用 | 推荐稀释比 |
|---|---|
| Western Blot (WB) | WB : 1:1000-1:6000 |
| Immunoprecipitation (IP) | IP : 0.5-4.0 ug for 1.0-3.0 mg of total protein lysate |
| Immunohistochemistry (IHC) | IHC : 1:50-1:500 |
| Immunofluorescence (IF)/ICC | IF/ICC : 1:50-1:500 |
| It is recommended that this reagent should be titrated in each testing system to obtain optimal results. | |
| Sample-dependent, Check data in validation data gallery. | |
产品信息
10889-1-AP targets NPTX2 in WB, IHC, IF/ICC, IP, CoIP, ELISA applications and shows reactivity with human, mouse, rat samples.
| 经测试应用 | WB, IHC, IF/ICC, IP, ELISA Application Description |
| 文献引用应用 | WB, IHC, IF, CoIP |
| 经测试反应性 | human, mouse, rat |
| 文献引用反应性 | human, mouse, rat |
| 免疫原 |
CatNo: Ag1326 Product name: Recombinant human NPTX2 protein Source: e coli.-derived, PGEX-4T Tag: GST Domain: 1-350 aa of BC009924 Sequence: MLALLAASVALAVAAGAQDSPAPGSRFVCTALPPEAVHAGCPLPAMPMQGGAQSPEEELRAAVLQLRETVVQQKETLGAQREAIRELTGKLARCEGLAGGKARGAGATGKDTMGDLPRDPGHVVEQLSRSLQTLKDRLESLEHQLRANVSNAGLPGDFREVLQQRLGELERQLLRKVAELEDEKSLLHNETSAHRQKTESTLNALLQRVTELERGNSAFKSPDAFKVSLPLRTNYLYGKIKKTLPELYAFTICLWLRSSASPGIGTPFSYAVPGQANEIVLIEWGNNPIELLINDKVAQLPLFVSDGKWHHICVTWTTRDGMWEAFQDGEKLGTGENLAPWHPIKPGGVL 种属同源性预测 |
| 宿主/亚型 | Rabbit / IgG |
| 抗体类别 | Polyclonal |
| 产品类型 | Antibody |
| 全称 | neuronal pentraxin II |
| 别名 | Neuronal pentraxin II, Neuronal pentraxin-2, NP2, NP-II |
| 计算分子量 | 47 kDa |
| 观测分子量 | 47-50 kDa |
| GenBank蛋白编号 | BC009924 |
| 基因名称 | NPTX2 |
| Gene ID (NCBI) | 4885 |
| RRID | AB_2153875 |
| 偶联类型 | Unconjugated |
| 形式 | Liquid |
| 纯化方式 | Antigen affinity purification |
| UNIPROT ID | P47972 |
| 储存缓冲液 | PBS with 0.02% sodium azide and 50% glycerol, pH 7.3. |
| 储存条件 | Store at -20°C. Stable for one year after shipment. Aliquoting is unnecessary for -20oC storage. |
背景介绍
Neuronal pentraxins constitute a family of proteins that are homologous to C-reactive protein (CRP) and serum amyloid P component (SAP), including NPTX1, NPTX2, and the neuronal pentraxin receptor (NPTXR). NPTX2, also known as NARP (neuronal activity-regulated pentaxin), is a secreted protein involved in excitatory synapse formation. It also plays a role in the clustering of alpha-amino-3-hydroxy-5-methyl-4-isoxazolepropionic acid (AMPA)-type glutamate receptors at established synapses, resulting in non-apoptotic cell death of dopaminergic nerve cells. NPTX2 is highly up-regulated in Parkinson's disease (PD), suggesting it may be involved in the pathology of PD. (PMID: 12895424; 17987278; 10748068)
实验方案
| Product Specific Protocols | |
|---|---|
| IF protocol for NPTX2 antibody 10889-1-AP | Download protocol |
| IHC protocol for NPTX2 antibody 10889-1-AP | Download protocol |
| IP protocol for NPTX2 antibody 10889-1-AP | Download protocol |
| WB protocol for NPTX2 antibody 10889-1-AP | Download protocol |
| Standard Protocols | |
|---|---|
| Click here to view our Standard Protocols |
发表文章
| Species | Application | Title |
|---|---|---|
J Invest Dermatol NPTX2 Promotes EMT in Cutaneous Squamous Cell Carcinoma via Mettl3-Mediated m6A Methylation of Snail | ||
Neuropsychopharmacology NPTX2 is a key component in the regulation of anxiety.
| ||
Front Immunol Identification of Neuronal Pentraxins as Synaptic Binding Partners of C1q and the Involvement of NP1 in Synaptic Pruning in Adult Mice. | ||
J Neurochem Quantitative proteomic analysis of the frontal cortex in Alzheimer's disease. | ||
J Cancer Promoter Methylation-Mediated NPTX2 Silencing Promotes Tumor Growth in Human Prostate Cancer. | ||
Mol Biol Rep The neuronal pentraxin II gene (NPTX2) inhibit proliferation and invasion of pancreatic cancer cells in vitro. |











