验证数据展示
经过测试的应用
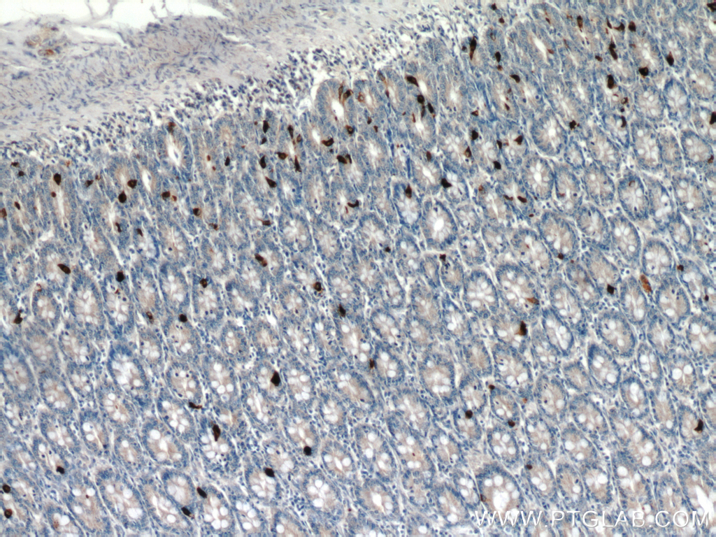
| Positive IHC detected in | human pancreas tissue, human small intestine tissue, mouse small intestine tissue, rat pancreas tissue, human colon tissue Note: suggested antigen retrieval with TE buffer pH 9.0; (*) Alternatively, antigen retrieval may be performed with citrate buffer pH 6.0 |
| Positive IF-P detected in | mouse pancreas tissue, human pancreas tissue, rat pancreas tissue |
推荐稀释比
| 应用 | 推荐稀释比 |
|---|---|
| Immunohistochemistry (IHC) | IHC : 1:12800-1:51200 |
| Immunofluorescence (IF)-P | IF-P : 1:200-1:800 |
| It is recommended that this reagent should be titrated in each testing system to obtain optimal results. | |
| Sample-dependent, Check data in validation data gallery. | |
产品信息
15954-1-AP targets Glucagon in WB, IHC, IF-P, ELISA applications and shows reactivity with human, mouse, rat samples.
| 经测试应用 | IHC, IF-P, ELISA Application Description |
| 文献引用应用 | WB, IHC, IF, ELISA |
| 经测试反应性 | human, mouse, rat |
| 文献引用反应性 | human, mouse, rat |
| 免疫原 |
CatNo: Ag8677 Product name: Recombinant human Glucagon protein Source: e coli.-derived, PGEX-4T Tag: GST Domain: 1-180 aa of BC005278 Sequence: MKSIYFVAGLFVMLVQGSWQRSLQDTEEKSRSFSASQADPLSDPDQMNEDKRHSQGTFTSDYSKYLDSRRAQDFVQWLMNTKRNRNNIAKRHDEFERHAEGTFTSDVSSYLEGQAAKEFIAWLVKGRGRRDFPEEVAIVEELGRRHADGSFSDEMNTILDNLAARDFINWLIQTKITDRK 种属同源性预测 |
| 宿主/亚型 | Rabbit / IgG |
| 抗体类别 | Polyclonal |
| 产品类型 | Antibody |
| 全称 | glucagon |
| 别名 | GCG, GLP 2, GLP1, GLP2, glucagon, GRPP, GRPP Oxyntomodulin, OXM, Proglucagon |
| 计算分子量 | 180 aa, 21 kDa |
| GenBank蛋白编号 | BC005278 |
| 基因名称 | Glucagon |
| Gene ID (NCBI) | 2641 |
| RRID | AB_2878200 |
| 偶联类型 | Unconjugated |
| 形式 | Liquid |
| 纯化方式 | Antigen affinity purification |
| UNIPROT ID | P01275 |
| 储存缓冲液 | PBS with 0.02% sodium azide and 50% glycerol, pH 7.3. |
| 储存条件 | Store at -20°C. Stable for one year after shipment. Aliquoting is unnecessary for -20oC storage. |
背景介绍
Background
Glucagon is a protein cleaved from a precursor protein encoded by the GCG gene. The distinct peptides formed from this precursor include Glucagon, Glucagon-Like Peptide 1 (GLP-1), Glucagon-Like Peptide 2 (GLP-2), and oxyntomodulin. Glucagon is essential in maintaining blood glucose homeostasis and therefore has a key role in Type 1 and Type 2 diabetes.
What is the molecular weight of Glucagon?
21 kDa. Glucagon is composed of 180 amino acids and is a ligand for a specific G-protein coupled receptor (GPCR).
Where is it expressed?
Glucagon is a hormone secreted by the pancreas, in the α cells of the islets of Langerhans (PMID: 18880761). GLP-1, GLP-2, and oxyntomodulin are secreted by gut endocrine cells of the GI tract and also by selected neurons in the brain. These secreted proteins are transported to the target organ in plasma.
What is the function of glucagon?
The regulation of blood glucose levels is controlled by a balance of the hormones INS and glucagon in a negative feedback loop. A drop in blood glucose, or hypoglycemia, stimulates the release of glucagon. This initiates a cascade of signals, ultimately causing the conversion of stored glycogen into free glucose in a process called glycogenolysis, which takes place in liver and muscle cells. Glucagon can also stimulate gluconeogenesis in the liver, the process of forming glucose from non-carbohydrate sources such as amino acids (PMID: 13477815).
What diseases are associated with glucagon?
Glucagon is key in homeostasis of blood glucose and maintaining the balance between hyperglycaemia and hypoglycemia. It is therefore important in the study of Type 1 and Type 2 diabetes mellitus, where dysfunction of the pancreatic cells leads to a deregulation of blood glucose levels (PMID: 19326096). In both forms of the disease, glucagon secretion is impaired, from too much being secreted during hyperglycaemia, to too little being released to normalize hypoglycemia (PMID: 18197838).
实验方案
| Product Specific Protocols | |
|---|---|
| IF protocol for Glucagon antibody 15954-1-AP | Download protocol |
| IHC protocol for Glucagon antibody 15954-1-AP | Download protocol |
| Standard Protocols | |
|---|---|
| Click here to view our Standard Protocols |
发表文章
| Species | Application | Title |
|---|---|---|
J Pineal Res Paternal sleep deprivation induces metabolic perturbations in male offspring via altered LRP5 DNA methylation of pancreatic islets | ||
Phytomedicine Ramulus Mori (Sangzhi) alkaloids enhance pancreatic β-Cell maturation and function by targeting the CD81/endoplasmic reticulum stress pathway | ||
Elife Multifaceted secretion of htNSC-derived hypothalamic islets induces survival and antidiabetic effect via peripheral implantation in mice. |

















