验证数据展示
经过测试的应用
| Positive WB detected in | HeLa cells, SH-SY5Y cells, Jurkat cells |
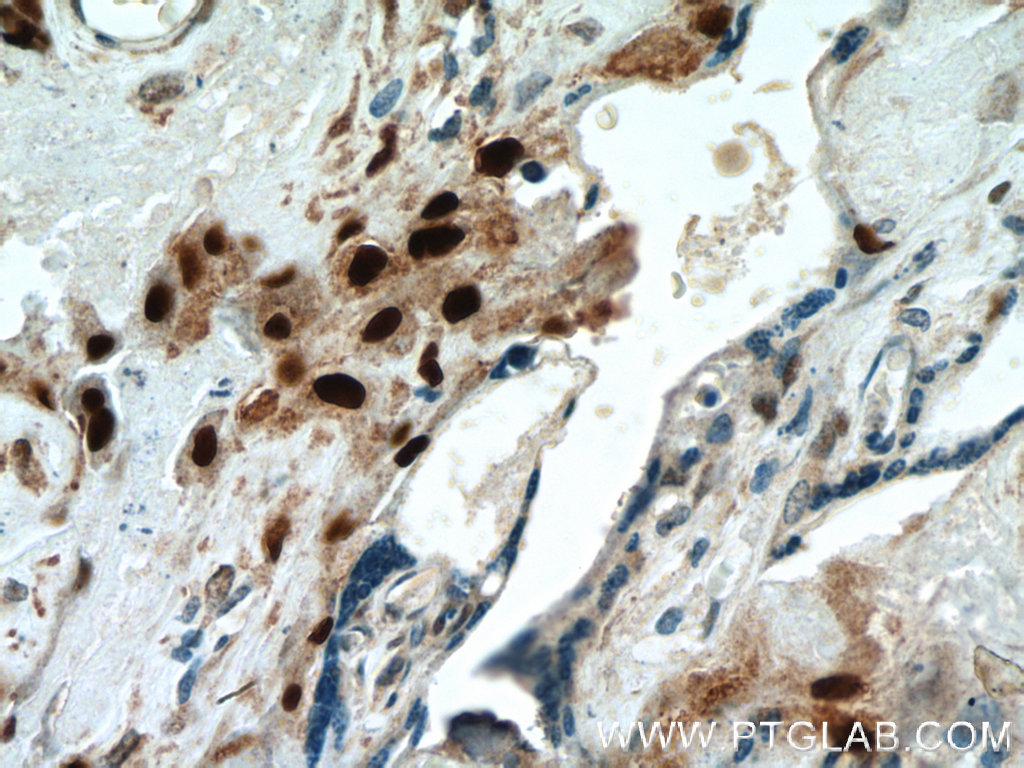
| Positive IHC detected in | human placenta tissue Note: suggested antigen retrieval with TE buffer pH 9.0; (*) Alternatively, antigen retrieval may be performed with citrate buffer pH 6.0 |
推荐稀释比
| 应用 | 推荐稀释比 |
|---|---|
| Western Blot (WB) | WB : 1:1000-1:8000 |
| Immunohistochemistry (IHC) | IHC : 1:20-1:200 |
| It is recommended that this reagent should be titrated in each testing system to obtain optimal results. | |
| Sample-dependent, Check data in validation data gallery. | |
产品信息
23317-1-AP targets p57Kip2 in WB, IHC, CoIP, ELISA applications and shows reactivity with human samples.
| 经测试应用 | WB, IHC, ELISA Application Description |
| 文献引用应用 | WB, IHC, CoIP |
| 经测试反应性 | human |
| 文献引用反应性 | human |
| 免疫原 |
CatNo: Ag19849 Product name: Recombinant human CDKN1C protein Source: e coli.-derived, PGEX-4T Tag: GST Domain: 1-316 aa of BC067842 Sequence: MSDASLRSTSTMERLVARGTFPVLVRTSACRSLFGPVDHEELSRELQARLAELNAEDQNRWDYDFQQDMPLRGPGRLQWTEVDSDSVPAFYRETVQVGRCRLLLAPRPVAVAVAVSPPLEPAAESLDGLEEAPEQLPSVPVPAPASTPPPVPVLAPAPAPAPAPVAAPVAAPVAVAVLAPAPAPAPAPAPAPAPVAAPAPAPAPAPAPAPAPAPAPDAAPQESAEQGANQGQRGQEPLADQLHSGISGRPAAGTAAASANGAAIKKLSGPLISDFFAKRKRSAPEKSSGDVPAPCPSPSAAPGVGSVEQTPRKRLR 种属同源性预测 |
| 宿主/亚型 | Rabbit / IgG |
| 抗体类别 | Polyclonal |
| 产品类型 | Antibody |
| 全称 | cyclin-dependent kinase inhibitor 1C (p57, Kip2) |
| 别名 | BWCR, BWS, CDKN1C, KIP2, p57, p57Kip2, WBS |
| 计算分子量 | 316 aa, 32 kDa |
| 观测分子量 | 57 kDa |
| GenBank蛋白编号 | BC067842 |
| 基因名称 | p57 Kip2/CDKN1C |
| Gene ID (NCBI) | 1028 |
| RRID | AB_2879254 |
| 偶联类型 | Unconjugated |
| 形式 | Liquid |
| 纯化方式 | Antigen affinity purification |
| UNIPROT ID | P49918 |
| 储存缓冲液 | PBS with 0.02% sodium azide and 50% glycerol, pH 7.3. |
| 储存条件 | Store at -20°C. Stable for one year after shipment. Aliquoting is unnecessary for -20oC storage. |
背景介绍
CDKN1C, also named as p57KIP2 and KIP2, belongs to the CDI family. CDKN1C is a potent tight-binding inhibitor of several G1 cyclin/CDK complexes (cyclin E-CDK2, cyclin D2-CDK4, and cyclin A-CDK2) and, to lesser extent, of the mitotic cyclin B-CDC2. It is a negative regulator of cell proliferation. CDKN1C may play a role in maintenance of the non-proliferative state throughout life.
实验方案
| Product Specific Protocols | |
|---|---|
| IHC protocol for p57Kip2 antibody 23317-1-AP | Download protocol |
| WB protocol for p57Kip2 antibody 23317-1-AP | Download protocol |
| Standard Protocols | |
|---|---|
| Click here to view our Standard Protocols |
发表文章
| Species | Application | Title |
|---|---|---|
Clin Cancer Res microRNA-221 Enhances MYCN via Targeting Nemo-like Kinase and Functions as an Oncogene Related to Poor Prognosis in Neuroblastoma. | ||
FASEB J Downregulation of ALKBH5 rejuvenates aged human mesenchymal stem cells and enhances their therapeutic efficacy in myocardial infarction | ||
Cancer Med PIK3R3 is upregulated in liver cancer and activates Akt signaling to control cancer growth by regulation of CDKN1C and SMC1A
| ||
Cell Death Dis The FOXM1/RNF26/p57 axis regulates the cell cycle to promote the aggressiveness of bladder cancer. | ||
Oncogene Dual network analysis of transcriptome data for discovery of new therapeutic targets in non-small cell lung cancer | ||




