验证数据展示
产品信息
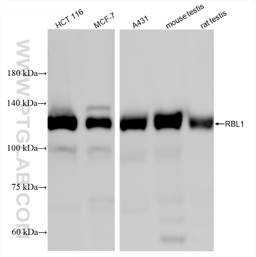
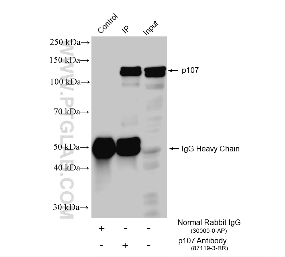
87119-3-PBS targets p107 in WB, IP, Indirect ELISA applications and shows reactivity with human, mouse, rat samples.
| 经测试应用 | WB, IP, Indirect ELISA Application Description |
| 经测试反应性 | human, mouse, rat |
| 免疫原 |
CatNo: Ag4146 Product name: Recombinant human RBL1 protein Source: e coli.-derived, PGEX-4T Tag: GST Domain: 1-351 aa of BC032247 Sequence: MFEDKPHAEGAAVVAAAGEALQALCQELNLDEGSAAEALDDFTAIRGNYSLEGEVTHWLACSLYVACRKSIIPTVGKGIMEGNCVSLTRILRSAKLSLIQFFSKMKKWMDMSNLPQEFRERIERLERNFEVSTVIFKKYEPIFLDIFQNPYEEPPKLPRSRKQRRIPCSVKDLFNFCWTLFVYTKGNFRMIGDDLVNSYHLLLCCLDLIFANAIMCPNRQDLLNPSFKGLPSDFHTADFTASEEPPCIIAVLCELHDGLLVEAKGIKEHYFKPYISKLFDRKILKGECLLDLSSFTDNSKAVNKEYEEYVLTVGDFDERIFLGADAEEEIGTPRKFTRDTPLGKLTAQANV 种属同源性预测 |
| 宿主/亚型 | Rabbit / IgG |
| 抗体类别 | Recombinant |
| 产品类型 | Antibody |
| 全称 | retinoblastoma-like 1 (p107) |
| 别名 | 107 kDa retinoblastoma-associated protein, CP107, PRB1, RBL1, retinoblastoma like 1 (p107) |
| 计算分子量 | 1068 aa, 119 kDa |
| 观测分子量 | 119 kDa |
| GenBank蛋白编号 | BC032247 |
| 基因名称 | p107 |
| Gene ID (NCBI) | 5933 |
| RRID | AB_3745352 |
| 偶联类型 | Unconjugated |
| 形式 | Liquid |
| 纯化方式 | Protein A purification |
| UNIPROT ID | P28749 |
| 储存缓冲液 | PBS only, pH 7.3. |
| 储存条件 | Store at -80°C. The product is shipped with ice packs. Upon receipt, store it immediately at -80°C |
背景介绍
Retinoblastoma-like protein 1, also named RBL1, p107, is a member of E1A-binding proteins, which contains a A/B pocket, or pRb. Via this structure, RBL1 can bind to viral oncoproteins and other perteins containing LXCXE motif. It regulates cell proliferation via phosphorylation-sensitive interactions with E2F transcription factors and other proteins. Key regulator of entry into cell division. Directly involved in heterochromatin formation by maintaining overall chromatin structure and, in particular, that of constitutive heterochromatin by stabilizing histone methylation. Recruits and targets histone methyltransferases SUV420H1 and SUV420H2, leading to epigenetic transcriptional repression.(uniprot). It has been reported there are two transcirpts variants of RBL1, which encode a 119-kd protein and a 68-kd protein(PMID:7490090).


