验证数据展示
经过测试的应用
| Positive WB detected in | HeLa cells, MDA-MB-231 cells, NIH/3T3 cells |
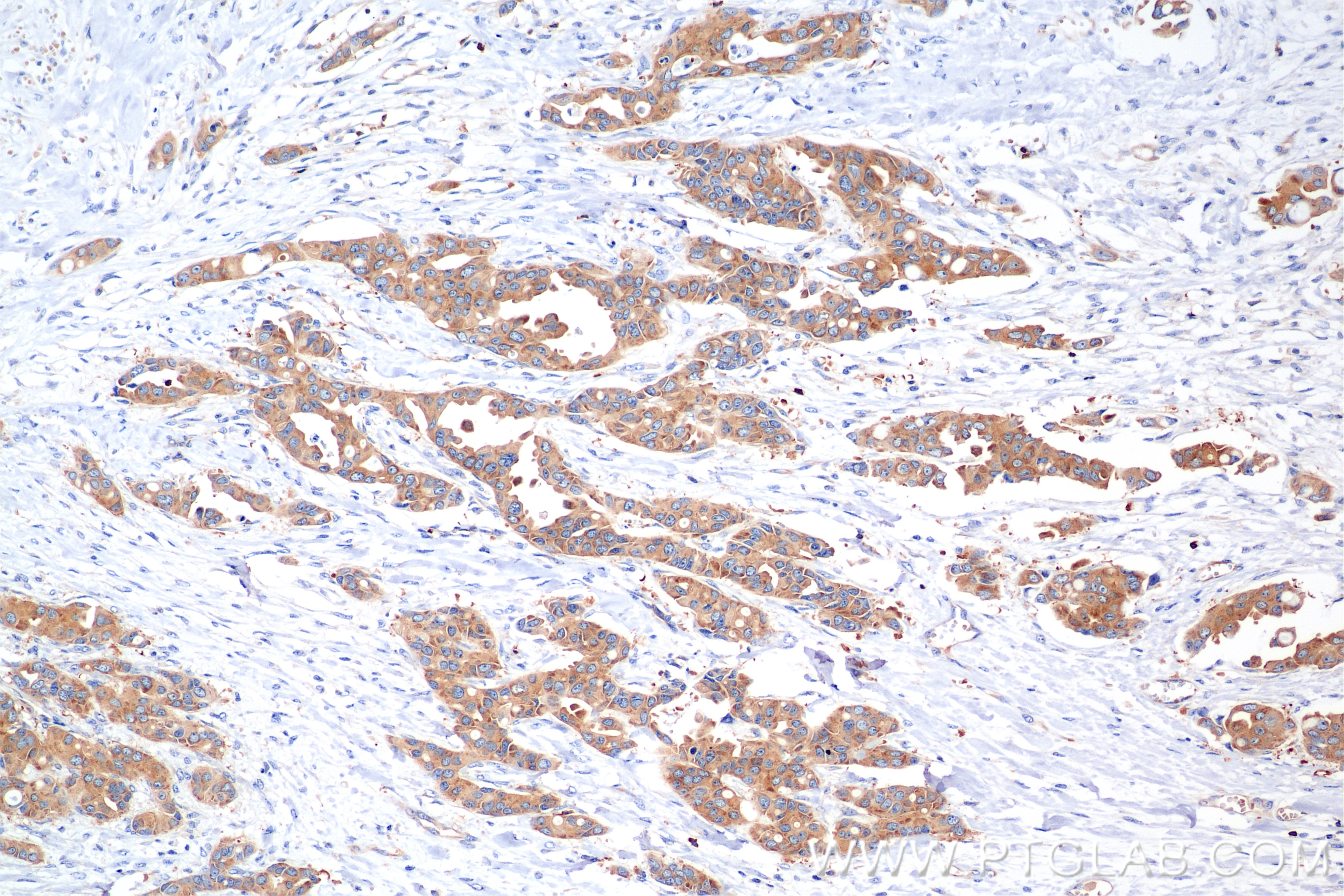
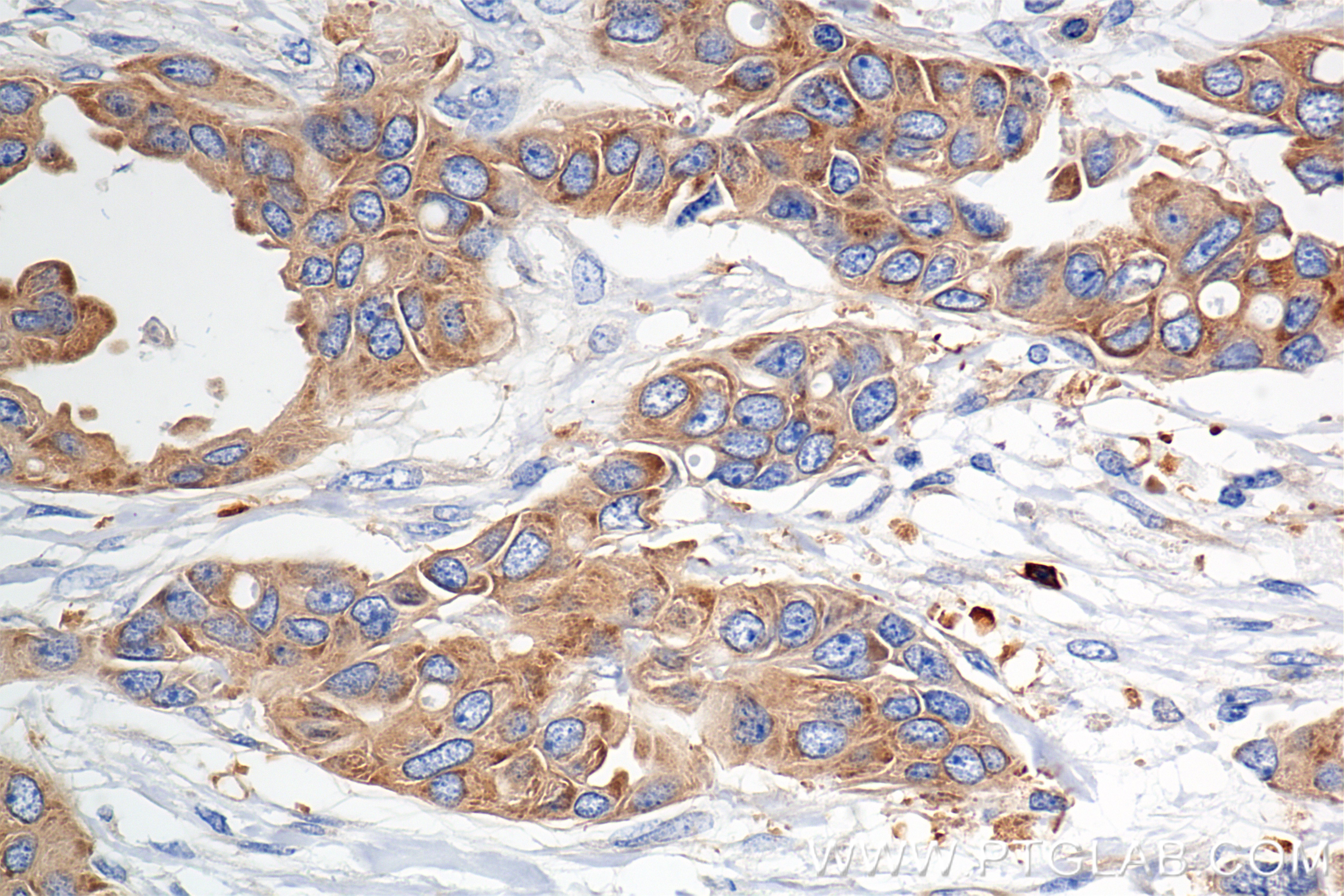
| Positive IHC detected in | Human Breast Cancer(Her2+;ER-;PR-) Note: suggested antigen retrieval with TE buffer pH 9.0; (*) Alternatively, antigen retrieval may be performed with citrate buffer pH 6.0 |
| Positive IF/ICC detected in | HeLa cells |
推荐稀释比
| 应用 | 推荐稀释比 |
|---|---|
| Western Blot (WB) | WB : 1:5000-1:50000 |
| Immunohistochemistry (IHC) | IHC : 1:500-1:2000 |
| Immunofluorescence (IF)/ICC | IF/ICC : 1:250-1:1000 |
| It is recommended that this reagent should be titrated in each testing system to obtain optimal results. | |
| Sample-dependent, Check data in validation data gallery. | |
产品信息
85708-2-RR targets mDia1 in WB, IHC, IF/ICC, ELISA applications and shows reactivity with human, mouse samples.
| 经测试应用 | WB, IHC, IF/ICC, ELISA Application Description |
| 经测试反应性 | human, mouse |
| 免疫原 |
CatNo: Ag14523 Product name: Recombinant human DIAP1 protein Source: e coli.-derived, PGEX-4T Tag: GST Domain: 1211-1272 aa of BC007411 Sequence: AFRRKRGPRQANRKAGCAVTSLLASELTKDDAMAAVPAKVSKNSETFPTILEEAKELVGRAS 种属同源性预测 |
| 宿主/亚型 | Rabbit / IgG |
| 抗体类别 | Recombinant |
| 产品类型 | Antibody |
| 全称 | diaphanous homolog 1 (Drosophila) |
| 别名 | DIAPH1, DIAP1, DIAPH 1, Diaphanous related formin 1, Diaphanous-related formin-1 |
| 计算分子量 | 1272 aa, 141 kDa |
| 观测分子量 | 140-150 kDa |
| GenBank蛋白编号 | BC007411 |
| 基因名称 | mDia1 |
| Gene ID (NCBI) | 1729 |
| 偶联类型 | Unconjugated |
| 形式 | Liquid |
| 纯化方式 | Protein A purification |
| UNIPROT ID | O60610 |
| 储存缓冲液 | PBS with 0.02% sodium azide and 50% glycerol, pH 7.3. |
| 储存条件 | Store at -20°C. Stable for one year after shipment. Aliquoting is unnecessary for -20oC storage. |
背景介绍
mDia1, also known as DIAPH1 or Diap1, is a mammalian diaphanous-related formin which is implicated in multiple physical and pathological events including cytoskeletal dynamics, autosomal hearing loss, and myelodysplasia. Depending upon the cell type and position in the cell cycle, mDia1 has been shown to localize to the cell cortex, trafficking endosomes, cleavage furrow, mid-bodies, and centrosomes, the cytoplasmic microtubule-organizing center crucial for cell division. Mutation of mDia1 has been linked to microcephaly. This antibody recognizes the endogenous mDia1 mainly around 140-150 kDa, while sometimes an additional 70 kDa can also be observed which is proposed to be a fragment of 140-150 kDa molecules (26011179).
实验方案
| Product Specific Protocols | |
|---|---|
| IF protocol for mDia1 antibody 85708-2-RR | Download protocol |
| IHC protocol for mDia1 antibody 85708-2-RR | Download protocol |
| WB protocol for mDia1 antibody 85708-2-RR | Download protocol |
| Standard Protocols | |
|---|---|
| Click here to view our Standard Protocols |




