验证数据展示
经过测试的应用
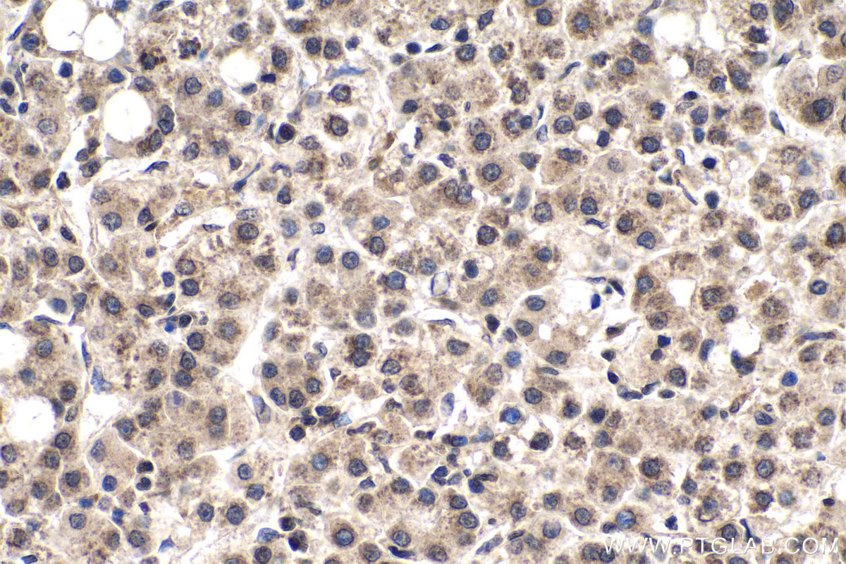
| Positive IHC detected in | mouse testis tissue, human colon cancer tissue,  human liver cancer tissue,  human pancreas cancer tissue Note: suggested antigen retrieval with TE buffer pH 9.0; (*) Alternatively, antigen retrieval may be performed with citrate buffer pH 6.0 | 
| Positive ELISA detected in | compound | 
| Positive Dot Blot detected in | HeLa cells | 
推荐稀释比
| 应用 | 推荐稀释比 | 
|---|---|
| Immunohistochemistry (IHC) | IHC : 1:1000-1:4000 | 
| Enzyme-linked Immunosorbent Assay (ELISA) | ELISA : 1:10-1:100 | 
| DOT BLOT | DOT BLOT : 1:2500-1:10000 | 
| It is recommended that this reagent should be titrated in each testing system to obtain optimal results. | |
| Sample-dependent, Check data in validation data gallery. | |
产品信息
68302-1-Ig targets m7G in IHC, Dot Blot, ELISA applications and shows reactivity with chemical compound samples.
| 经测试应用 | IHC, Dot Blot, ELISA Application Description | 
| 经测试反应性 | chemical compound | 
| 文献引用反应性 | mouse | 
| 免疫原 | Peptide种属同源性预测 | 
| 宿主/亚型 | Mouse / IgG2b | 
| 抗体类别 | Monoclonal | 
| 产品类型 | Antibody | 
| 全称 | m7G | 
| 别名 | 7-Methylguanosine | 
| 基因名称 | |
| Gene ID (NCBI) | |
| RRID | AB_2935381 | 
| 偶联类型 | Unconjugated | 
| 形式 | Liquid | 
| 纯化方式 | Protein A purification | 
| 储存缓冲液 | PBS with 0.02% sodium azide and 50% glycerol, pH 7.3. | 
| 储存条件 | Store at -20°C. Stable for one year after shipment. Aliquoting is unnecessary for -20oC storage. | 
背景介绍
7-Methylguanosine (m7G) is a modified purine nucleoside. It is a methylated version of guanosine and when found in human urine, it may be a biomarker of some types of cancer. In the RNAs, 7-methylguanosine have been used to study and examine the reaction evolving methylguanosine. It also plays a role in mRNA as a blocking group at its 5´-end. The m7G modification actively participates in biological and pathological functions by affecting the metabolism of various RNA molecules, including messenger RNA, ribosomal RNA, microRNA, and transfer RNA. Increasing evidence indicates a critical role for m7G in human disease development, especially cancer, and aberrant m7G levels are closely associated with tumorigenesis and progression via regulation of the expression of multiple oncogenes and tumor suppressor genes.
Protocol for Dot Blot:
https://www.ptglab.com/protocol/68302-1-IgDotBlot.pdf
实验方案
| Product Specific Protocols | |
|---|---|
| IHC protocol for m7G antibody 68302-1-Ig | Download protocol | 
| Standard Protocols | |
|---|---|
| Click here to view our Standard Protocols | 







