验证数据展示
产品信息
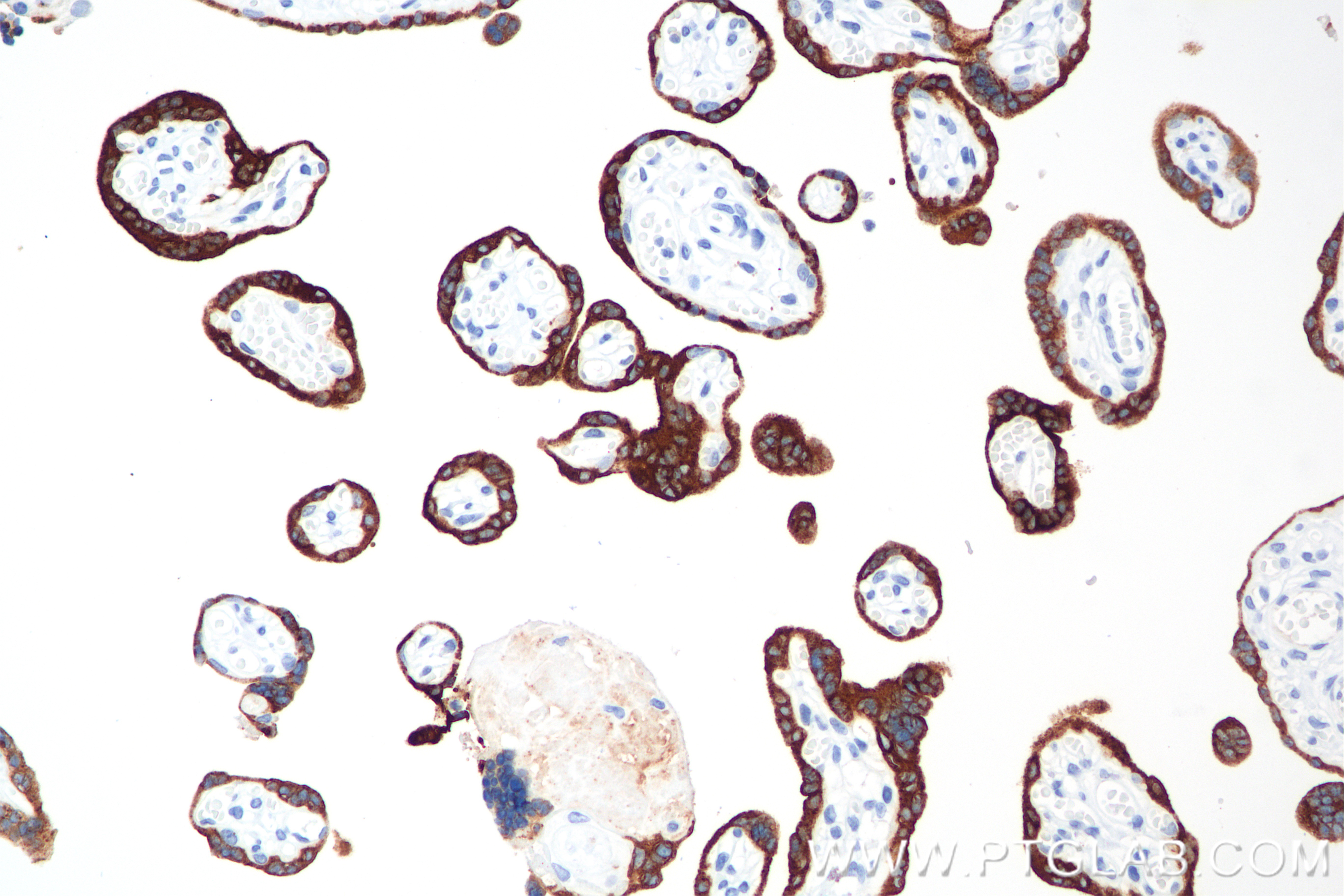
85800-9-PBS targets hCG Alpha in WB, IHC, IF/ICC, Indirect ELISA applications and shows reactivity with human samples.
| 经测试应用 | WB, IHC, IF/ICC, Indirect ELISA Application Description |
| 经测试反应性 | human |
| 免疫原 |
CatNo: Eg3377 Product name: Recombinant Human hCG Alpha protein (rFc Tag) (HPLC verified) Source: mammalian cells-derived, pHZ-KIsec-C-rFc Tag: C-rFc Sequence: APDVQDCPECTLQENPFFSQPGAPILQCMGCCFSRAYPTPLRSKKTMLVQKNVTSESTCCVAKSYNRVTVMGGFKVENHTACHCSTCYYHKS 种属同源性预测 |
| 宿主/亚型 | Rabbit / IgG |
| 抗体类别 | Recombinant |
| 产品类型 | Antibody |
| 全称 | CG beta |
| 别名 | CGA, HCG, Anterior pituitary glycoprotein hormones common subunit alpha, CG ALPHA, CG-alpha |
| 计算分子量 | 18 kDa |
| 观测分子量 | 20 kDa |
| 基因名称 | hCG Beta |
| Gene ID (NCBI) | 1082 |
| 偶联类型 | Unconjugated |
| 形式 | Liquid |
| 纯化方式 | Protein A purification |
| UNIPROT ID | P0DN86(CGB)+P01215(CGA) |
| 储存缓冲液 | PBS only, pH 7.3. |
| 储存条件 | Store at -80°C. The product is shipped with ice packs. Upon receipt, store it immediately at -80°C |
背景介绍
Human chorionic gonadotropin (hCG) is a heterodimeric glycoprotein hormone consisting of two non-covalently linked subunits: a common α-subunit (hCGα) and a hormone-specific β-subunit (hCGβ). The α-subunit, also designated CGA (chorionic gonadotropin alpha chain), is a 92-amino-acid glycopeptide of ~14-22 kDa that is identical to the α-subunits of the pituitary glycoprotein hormones luteinizing hormone (LH), follicle-stimulating hormone (FSH), and thyroid-stimulating hormone (TSH). Because the α-subunit is shared among these hormones, its biological specificity is conferred by the unique β-subunit with which it associates.



