验证数据展示
经过测试的应用
| Positive WB detected in | HT-29 cells, HUVEC cells, T-47D cells, mouse heart tissue, MCF-7 cells, rat heart tissue |
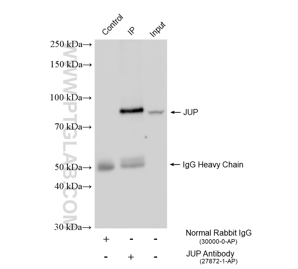
| Positive IP detected in | HT-29 cells, mouse heart tissue |
| Positive IHC detected in | human breast cancer tissue Note: suggested antigen retrieval with TE buffer pH 9.0; (*) Alternatively, antigen retrieval may be performed with citrate buffer pH 6.0 |
| Positive IF/ICC detected in | MCF-7 cells, HeLa cells, A431 cells |
推荐稀释比
| 应用 | 推荐稀释比 |
|---|---|
| Western Blot (WB) | WB : 1:5000-1:50000 |
| Immunoprecipitation (IP) | IP : 0.5-4.0 ug for 1.0-3.0 mg of total protein lysate |
| Immunohistochemistry (IHC) | IHC : 1:2000-1:8000 |
| Immunofluorescence (IF)/ICC | IF/ICC : 1:500-1:2000 |
| It is recommended that this reagent should be titrated in each testing system to obtain optimal results. | |
| Sample-dependent, Check data in validation data gallery. | |
发表文章中的应用
| WB | See 3 publications below |
| IF | See 2 publications below |
产品信息
27872-1-AP targets Gamma Catenin in WB, IHC, IF/ICC, IP, ELISA applications and shows reactivity with human, mouse, rat samples.
| 经测试应用 | WB, IHC, IF/ICC, IP, ELISA Application Description |
| 文献引用应用 | WB, IF |
| 经测试反应性 | human, mouse, rat |
| 文献引用反应性 | human |
| 免疫原 |
CatNo: Ag27394 Product name: Recombinant human JUP protein Source: e coli.-derived, PGEX-4T Tag: GST Domain: 669-745 aa of BC000441 Sequence: TNSLFKHDPAAWEAAQSMIPINEPYGDDMDATYRPMYSSDVPLDPLEMHMDMDGDYPIDTYSDGLRPPYPTADHMLA 种属同源性预测 |
| 宿主/亚型 | Rabbit / IgG |
| 抗体类别 | Polyclonal |
| 产品类型 | Antibody |
| 全称 | junction plakoglobin |
| 别名 | JUP, JUP/gamma Catenin, γ-Catenin, ARVD12, Catenin gamma |
| 观测分子量 | 82 kDa |
| GenBank蛋白编号 | BC000441 |
| 基因名称 | Gamma Catenin |
| Gene ID (NCBI) | 3728 |
| RRID | AB_2881000 |
| 偶联类型 | Unconjugated |
| 形式 | Liquid |
| 纯化方式 | Antigen affinity purification |
| UNIPROT ID | P14923 |
| 储存缓冲液 | PBS with 0.02% sodium azide and 50% glycerol, pH 7.3. |
| 储存条件 | Store at -20°C. Stable for one year after shipment. Aliquoting is unnecessary for -20oC storage. |
实验方案
| Product Specific Protocols | |
|---|---|
| IF protocol for Gamma Catenin antibody 27872-1-AP | Download protocol |
| IHC protocol for Gamma Catenin antibody 27872-1-AP | Download protocol |
| IP protocol for Gamma Catenin antibody 27872-1-AP | Download protocol |
| WB protocol for Gamma Catenin antibody 27872-1-AP | Download protocol |
| Standard Protocols | |
|---|---|
| Click here to view our Standard Protocols |
发表文章
| Species | Application | Title |
|---|---|---|
Cell Oncol (Dordr) The POU2F1/miR-4490/USP22 axis regulates cell proliferation and metastasis in gastric cancer. | ||
BMC Cancer Systematic optimization and evaluation of culture conditions for the construction of circulating tumor cell clusters using breast cancer cell lines | ||
Int J Biol Macromol Frameshift variants in the C-terminal of CTNNB1 cause familial exudative vitreoretinopathy by AXIN1-mediated ubiquitin-proteasome degradation condensation |











