Alpha-Synuclein
Interactions in Neurodegenerative Disorders
|
Why is Alpha-Synuclein important? Disease spectrum and Alpha-Synuclein Product Focus: Alpha-Synuclein Latest Scientific Facts about Alpha-Synuclein |
1. What is Alpha-Synuclein?
Alpha-Synuclein is a 14-19 kDa phosphoprotein primarily localized in the presynaptic terminals of mature neurons, where it is involved in synaptic function and plasticity.
2. Why is Alpha-Synuclein important?
-
Alpha-Synuclein was the first missense mutation identified as a cause of familial Parkinson’s disease.
-
Aggregated and hyper-phosphorylated forms of Alpha-Synuclein are the major components of Lewy bodies.
-
Alpha-Synuclein is involved in regulation of the dopaminergic pathway.
-
Alpha-Synuclein reduces neuronal responsiveness to various apoptotic stimuli, leading to decreased caspase-3 activation.
-
Alpha-Synuclein intermediate oligomers/protofibrils are thought to be the major neurotoxic species.
-
Alpha-Synuclein is a target for the treatment of Parkinson’s disease; a humanized monoclonal anti-Alpha-Synuclein (PRX002) is currently under Phase 1 trails.
3. Disease spectrum and Alpha-Synuclein:
-
Alpha-Synucleinopathies (protein aggregates in neurons, nerve fibers, and glial cells)
-
Dementia (Lewy body)
-
Multiple system atrophy (Alpha-Synuclein protein prions)
| Product Focus: Alpha-Synuclein | ||
| Catalog number | Type | Applications |
| 10842-1-AP | Rabbit polyclonal | ELISA, WB, IHC, IF |
| View the Alpha-Synuclein product page here | ||
![]() |
|
Immunofluorescence analysis of SH-SY5Y cells (human neuroblastoma) labeling Alpha-Synuclein with 10842-1-AP Proteintech antibody at a dilution of 1:25. Alexa Fluor 488-congugated AffiniPure Goat Anti-Rabbit IgG (H+L) was used as the secondary antibody and DAPI was used as the nuclear counterstain. |
| Catalog number | Type | Applications |
| 66412-1-Ig | Mouse Monoclonal | WB, IHC, ELISA |
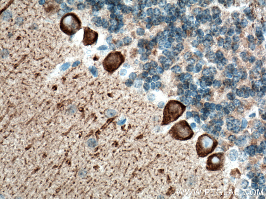
![]() |
||
| IHC analysis of paraffin-embedded mouse cerebellum tissue using 66412-1-Ig at a dilution of 1:1000 under 40x lens.4. Latest Scientific Facts about Alpha-Synuclein. | ||
5. Latest Scientific Facts about Alpha-Synuclein
- Exploiting the aggregation properties of Alpha-Synuclein for diagnostic purposes.
-
Alpha-synuclein contributes to malignant progression of human meningioma via the Akt/mTOR pathway.
6. PubMed record and Proteintech Alpha-Synuclein Antibody
-
Alpha-Synuclein overexpression-induced mitochondrial damage by the generation of endogenous neurotoxins in PC12 cells.
-
Mutant Alpha-Synuclein causes age-dependent neuropathology in monkey brain.
-
Fenpropathrin, a Widely Used Pesticide, Causes Dopaminergic Degeneration.
Related Antibodies
|
Catalog number |
Gene ID |
Antigen Name |
Application |
| 22524-1-AP | 6531 | DAT | ELISA, IHC, WB, IP |
| 18355-1-AP | 5337 | PLD1 | ELISA, WB, IF, IP |
| 14060-1-AP | 5071 | PARK2 | ELISA, WB, IF |



