验证数据展示
经过测试的应用
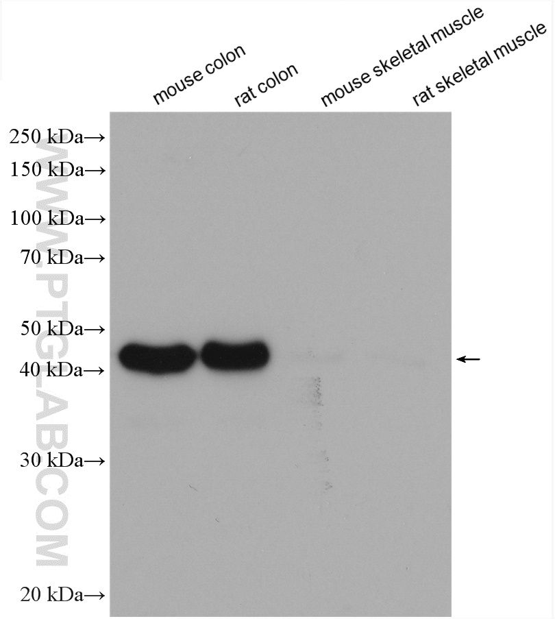
| Positive WB detected in | mouse colon tissue, pig vein tissue, chicken crop tissue, zebrafish tissue, A549 cells, pig stomach, pig colon, rat stomach, chicken small intestine tissue, rat colon tissue |
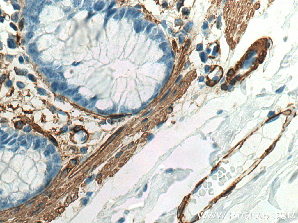
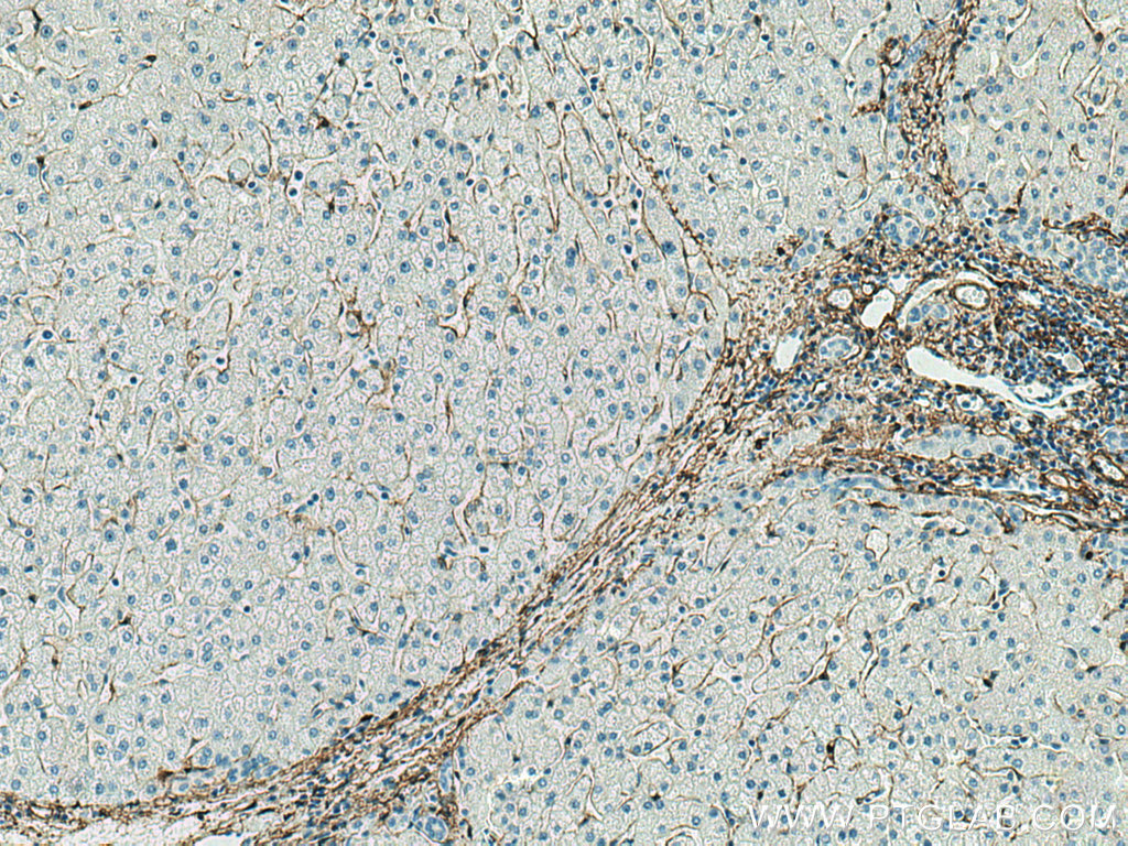
| Positive IHC detected in | human liver tissue, human colon tissue, mouse colon tissue, rat colon tissue, human heart tissue, human appendicitis tissue, human rectal cancer tissue Note: suggested antigen retrieval with TE buffer pH 9.0; (*) Alternatively, antigen retrieval may be performed with citrate buffer pH 6.0 |
| Positive IF-P detected in | mouse heart tissue, mouse embryo tissue |
| Positive IF-Fro detected in | mouse small intestine tissue |
| Positive FC (Intra) detected in | C2C12 cells |
推荐稀释比
| 应用 | 推荐稀释比 |
|---|---|
| Western Blot (WB) | WB : 1:20000-1:100000 |
| Immunohistochemistry (IHC) | IHC : 1:2500-1:10000 |
| Immunofluorescence (IF)-P | IF-P : 1:500-1:2000 |
| Immunofluorescence (IF)-FRO | IF-FRO : 1:200-1:800 |
| Flow Cytometry (FC) (INTRA) | FC (INTRA) : 0.50 ug per 10^6 cells in a 100 µl suspension |
| It is recommended that this reagent should be titrated in each testing system to obtain optimal results. | |
| Sample-dependent, Check data in validation data gallery. | |
产品信息
80008-1-RR targets Alpha smooth muscle actin specific in WB, IHC, IF-P, IF-Fro, FC (Intra), ELISA applications and shows reactivity with human, mouse, rat, pig, chicken, zebrafish samples.
| 经测试应用 | WB, IHC, IF-P, IF-Fro, FC (Intra), ELISA Application Description |
| 文献引用应用 | WB, IHC, IF |
| 经测试反应性 | human, mouse, rat, pig, chicken, zebrafish |
| 文献引用反应性 | human, mouse, rat, pig, rabbit, duck |
| 免疫原 |
Peptide 种属同源性预测 |
| 宿主/亚型 | Rabbit / IgG |
| 抗体类别 | Recombinant |
| 产品类型 | Antibody |
| 全称 | actin, alpha 2, smooth muscle, aorta |
| 别名 | ACTA2, Alpha SMA, a-SMA, smooth muscle actin, 5H7 |
| 计算分子量 | 42 kDa |
| 观测分子量 | 42 kDa |
| GenBank蛋白编号 | NM_001613 |
| 基因名称 | Alpha smooth muscle actin |
| Gene ID (NCBI) | 59 |
| RRID | AB_2882938 |
| 偶联类型 | Unconjugated |
| 形式 | Liquid |
| 纯化方式 | Protein A purification |
| UNIPROT ID | P62736 |
| 储存缓冲液 | PBS with 0.02% sodium azide and 50% glycerol, pH 7.3. |
| 储存条件 | Store at -20°C. Stable for one year after shipment. Aliquoting is unnecessary for -20oC storage. |
背景介绍
ACTA2 (also known as α-smooth muscle actin or α-SMA) belongs to the actin family. Actins are highly conserved proteins that are involved in various types of cell motility and are ubiquitously expressed in all eukaryotic cells. ACTA2 is primarily expressed in vascular smooth muscle and anti-ACTA2 is commonly used to marker smooth muscle cells.
实验方案
| Product Specific Protocols | |
|---|---|
| FC protocol for Alpha smooth muscle actin specific antibody 80008-1-RR | Download protocol |
| IF protocol for Alpha smooth muscle actin specific antibody 80008-1-RR | Download protocol |
| IHC protocol for Alpha smooth muscle actin specific antibody 80008-1-RR | Download protocol |
| WB protocol for Alpha smooth muscle actin specific antibody 80008-1-RR | Download protocol |
| Standard Protocols | |
|---|---|
| Click here to view our Standard Protocols |
发表文章
| Species | Application | Title |
|---|---|---|
Gastroenterology Pancreatic acinar cells-derived sphingosine-1-phosphate contributes to fibrosis of chronic pancreatitis via inducing autophagy and activation of pancreatic stellate cells | ||
Biomaterials Myocardial delivery of miR30d with peptide-functionalized milk-derived extracellular vesicles for targeted treatment of hypertrophic heart failure | ||
JCI Insight Targeting hyaluronan synthesis enhances the therapeutic effectiveness of biologics in inflammatory bowel disease | ||
Phytomedicine Quercetin improves airway remodeling in COPD rats by suppressing phenotypic switch of ASMCs via inhibiting the Wnt5a/β-catenin pathway | ||
Pharmacol Res MicroRNA-24-3p alleviates cardiac fibrosis by suppressing cardiac fibroblasts mitophagy via downregulating PHB2. | ||
Int Immunopharmacol TSLP/TSLPR promotes renal fibrosis by activating STAT3 in renal fibroblasts |




















