验证数据展示
经过测试的应用
| Positive WB detected in | HeLa cells, HEK-293 cells, A431 cells, MCF-7 cells, Daudi cells, NIH/3T3 cells, PC-12 cells |
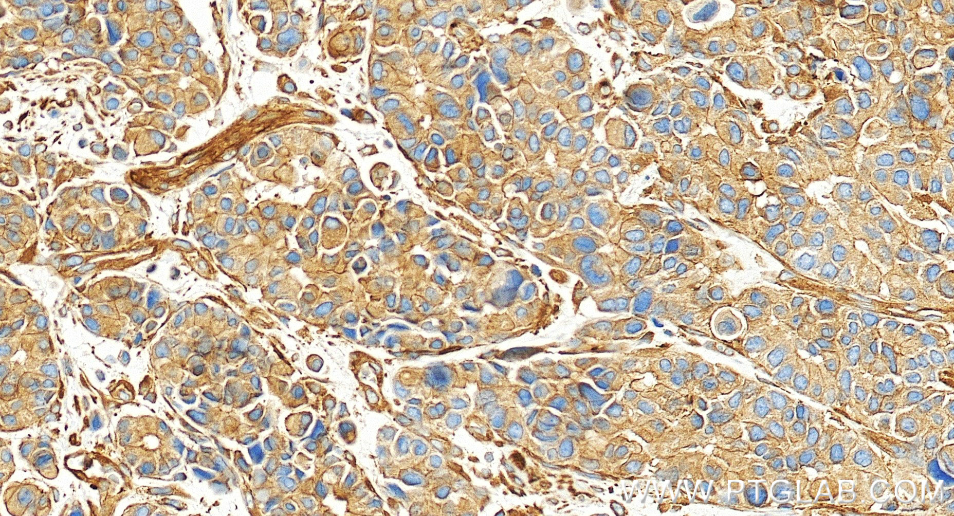
| Positive IHC detected in | human stomach cancer tissue Note: suggested antigen retrieval with TE buffer pH 9.0; (*) Alternatively, antigen retrieval may be performed with citrate buffer pH 6.0 |
| Positive IF/ICC detected in | A549 cells |
推荐稀释比
| 应用 | 推荐稀释比 |
|---|---|
| Western Blot (WB) | WB : 1:5000-1:50000 |
| Immunohistochemistry (IHC) | IHC : 1:500-1:2000 |
| Immunofluorescence (IF)/ICC | IF/ICC : 1:250-1:1000 |
| It is recommended that this reagent should be titrated in each testing system to obtain optimal results. | |
| Sample-dependent, Check data in validation data gallery. | |
产品信息
86364-3-RR targets Zyxin in WB, IHC, IF/ICC, ELISA applications and shows reactivity with human, mouse, rat samples.
| 经测试应用 | WB, IHC, IF/ICC, ELISA Application Description |
| 经测试反应性 | human, mouse, rat |
| 免疫原 |
CatNo: Ag0419 Product name: Recombinant human ZYX protein Source: e coli.-derived, PGEX-4T Tag: GST Domain: 278-572 aa of BC008743 Sequence: SKFSPGAPGGSGSQPNQKLGHPEALSAGTGSPQPPSFTYAQQREKPRVQEKQHPVPPPAQNQNQVRSPGAPGPLTLKEVEELEQLTQQLMQDMEHPQRQNVAVNELCGRCHQPLARAQPAVRALGQLFHIACFTCHQCAQQLQGQQFYSLEGAPYCEGCYTDTLEKCNTCGEPITDRMLRATGKAYHPHCFTCVVCARPLEGTSFIVDQANRPHCVPDYHKQYAPRCSVCSEPIMPEPGRDETVRVVALDKNFHMKCYKCEDCGKPLSIEADDNGCFPLDGHVLCRKCHTARAQT 种属同源性预测 |
| 宿主/亚型 | Rabbit / IgG |
| 抗体类别 | Recombinant |
| 产品类型 | Antibody |
| 全称 | zyxin |
| 别名 | ZYX, Zyxin-2 |
| 计算分子量 | 80 kDa |
| 观测分子量 | 78 kDa |
| GenBank蛋白编号 | BC008743 |
| 基因名称 | Zyxin |
| Gene ID (NCBI) | 7791 |
| RRID | AB_3744840 |
| 偶联类型 | Unconjugated |
| 形式 | Liquid |
| 纯化方式 | Protein A purification |
| UNIPROT ID | Q15942 |
| 储存缓冲液 | PBS with 0.02% sodium azide and 50% glycerol, pH 7.3. |
| 储存条件 | Store at -20°C. Stable for one year after shipment. Aliquoting is unnecessary for -20oC storage. |
背景介绍
Focal adhesions are actin-rich structures that enable cells to adhere to the extracellular matrix and at which protein complexes involved in signal transduction assemble. Zyxin (ZYX) is a zinc-binding phosphoprotein that concentrates at focal adhesions and along the actin cytoskeleton. Zyxin has an N-terminal proline-rich domain and three LIM domains in its C-terminal half. The proline-rich domain may interact with SH3 domains of proteins involved in signal transduction pathways while the LIM domains are likely involved in protein-protein binding. Zyxin may function as a messenger in the signal transduction pathway that mediates adhesion-stimulated changes in gene expression and may modulate the cytoskeletal organization of actin bundles.
实验方案
| Product Specific Protocols | |
|---|---|
| IF protocol for Zyxin antibody 86364-3-RR | Download protocol |
| IHC protocol for Zyxin antibody 86364-3-RR | Download protocol |
| WB protocol for Zyxin antibody 86364-3-RR | Download protocol |
| Standard Protocols | |
|---|---|
| Click here to view our Standard Protocols |


