验证数据展示
经过测试的应用
| Positive WB detected in | HeLa cells, A431 cells, MCF-7 cells |
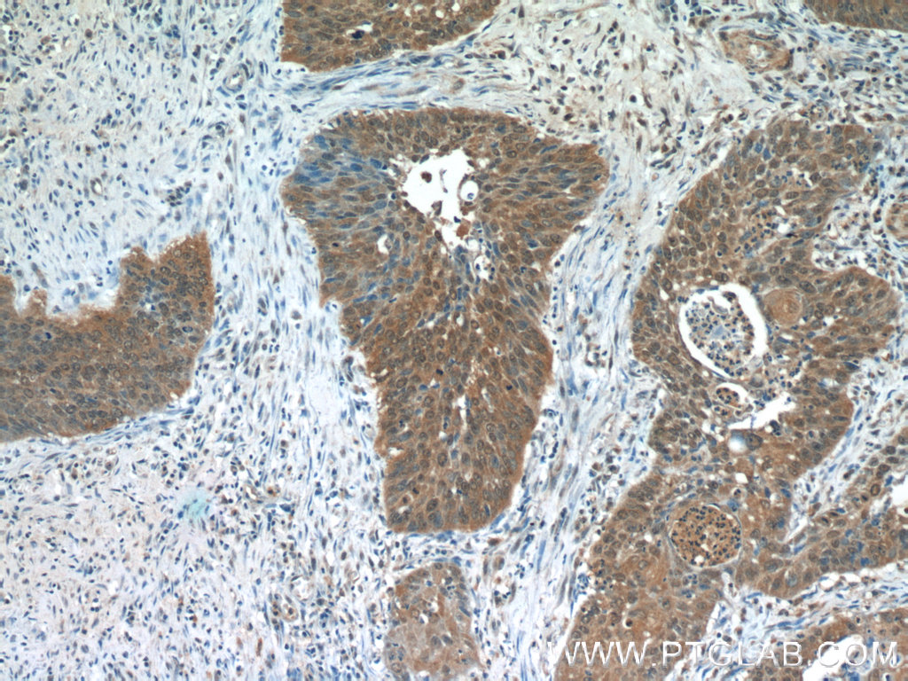
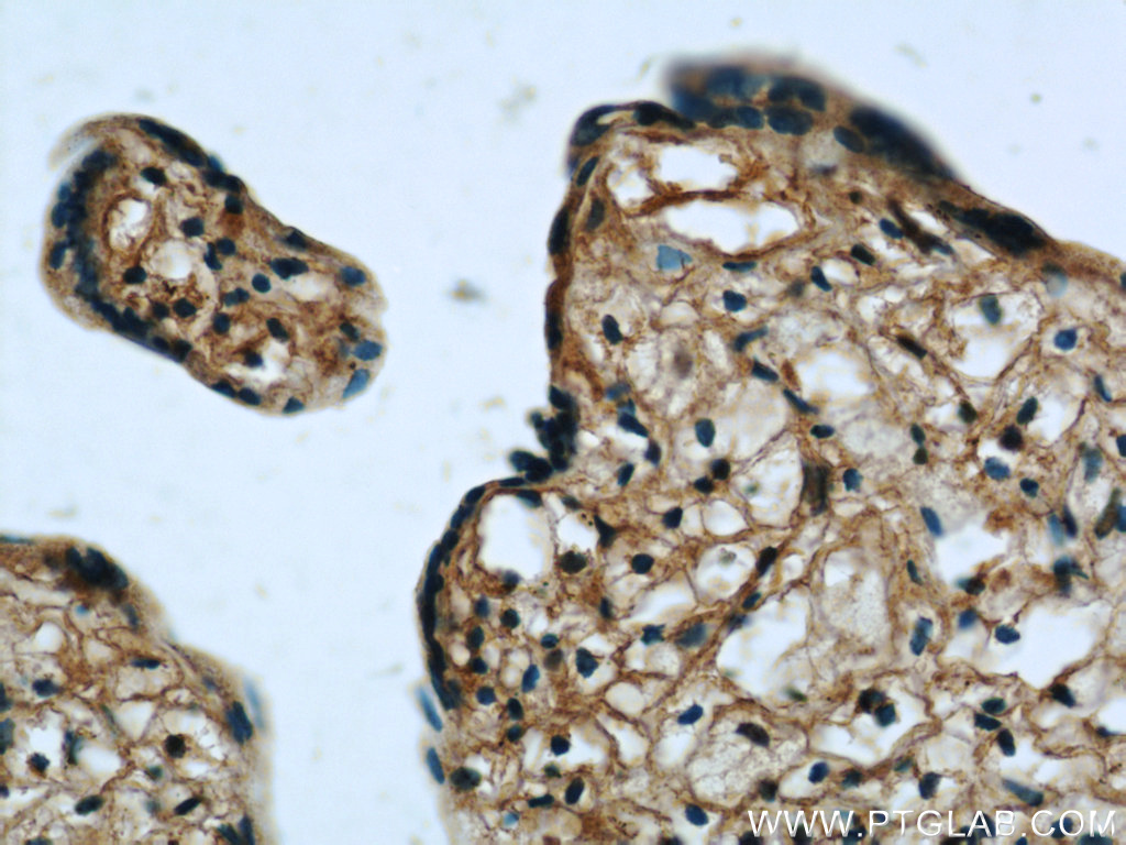
| Positive IHC detected in | human kidney tissue, human breast cancer tissue, human cervical cancer tissue, human placenta tissue, human testis tissue Note: suggested antigen retrieval with TE buffer pH 9.0; (*) Alternatively, antigen retrieval may be performed with citrate buffer pH 6.0 |
| Positive IF/ICC detected in | HeLa cells |
推荐稀释比
| 应用 | 推荐稀释比 |
|---|---|
| Western Blot (WB) | WB : 1:500-1:2000 |
| Immunohistochemistry (IHC) | IHC : 1:20-1:200 |
| Immunofluorescence (IF)/ICC | IF/ICC : 1:20-1:200 |
| It is recommended that this reagent should be titrated in each testing system to obtain optimal results. | |
| Sample-dependent, Check data in validation data gallery. | |
发表文章中的应用
| WB | See 4 publications below |
| IF | See 2 publications below |
产品信息
60254-1-Ig targets Zyxin in WB, IHC, IF/ICC, ELISA applications and shows reactivity with human, mouse samples.
| 经测试应用 | WB, IHC, IF/ICC, ELISA Application Description |
| 文献引用应用 | WB, IF |
| 经测试反应性 | human, mouse |
| 文献引用反应性 | human |
| 免疫原 |
CatNo: Ag0419 Product name: Recombinant human ZYX protein Source: e coli.-derived, PGEX-4T Tag: GST Domain: 278-572 aa of BC008743 Sequence: SKFSPGAPGGSGSQPNQKLGHPEALSAGTGSPQPPSFTYAQQREKPRVQEKQHPVPPPAQNQNQVRSPGAPGPLTLKEVEELEQLTQQLMQDMEHPQRQNVAVNELCGRCHQPLARAQPAVRALGQLFHIACFTCHQCAQQLQGQQFYSLEGAPYCEGCYTDTLEKCNTCGEPITDRMLRATGKAYHPHCFTCVVCARPLEGTSFIVDQANRPHCVPDYHKQYAPRCSVCSEPIMPEPGRDETVRVVALDKNFHMKCYKCEDCGKPLSIEADDNGCFPLDGHVLCRKCHTARAQT 种属同源性预测 |
| 宿主/亚型 | Mouse / IgG1 |
| 抗体类别 | Monoclonal |
| 产品类型 | Antibody |
| 全称 | zyxin |
| 别名 | 4D7E7, ZYX, Zyxin-2 |
| 计算分子量 | 80 kDa |
| 观测分子量 | 78 kDa |
| GenBank蛋白编号 | BC008743 |
| 基因名称 | Zyxin |
| Gene ID (NCBI) | 7791 |
| RRID | AB_2881375 |
| 偶联类型 | Unconjugated |
| 形式 | Liquid |
| 纯化方式 | Protein G purification |
| UNIPROT ID | Q15942 |
| 储存缓冲液 | PBS with 0.02% sodium azide and 50% glycerol, pH 7.3. |
| 储存条件 | Store at -20°C. Stable for one year after shipment. Aliquoting is unnecessary for -20oC storage. |
背景介绍
Focal adhesions are actin-rich structures that enable cells to adhere to the extracellular matrix and at which protein complexes involved in signal transduction assemble. Zyxin (ZYX) is a zinc-binding phosphoprotein that concentrates at focal adhesions and along the actin cytoskeleton. Zyxin has an N-terminal proline-rich domain and three LIM domains in its C-terminal half. The proline-rich domain may interact with SH3 domains of proteins involved in signal transduction pathways while the LIM domains are likely involved in protein-protein binding. Zyxin may function as a messenger in the signal transduction pathway that mediates adhesion-stimulated changes in gene expression and may modulate the cytoskeletal organization of actin bundles.
实验方案
| Product Specific Protocols | |
|---|---|
| IF protocol for Zyxin antibody 60254-1-Ig | Download protocol |
| IHC protocol for Zyxin antibody 60254-1-Ig | Download protocol |
| WB protocol for Zyxin antibody 60254-1-Ig | Download protocol |
| Standard Protocols | |
|---|---|
| Click here to view our Standard Protocols |
发表文章
| Species | Application | Title |
|---|---|---|
Ann Transl Med Peptidome characterization of ovarian cancer serum and the identification of tumor suppressive peptide ZYX36-58. | ||
Aesthetic Plast Surg In Vivo and In Vitro Fibroblasts' Behavior and Capsular Formation in Correlation with Smooth and Textured Silicone Surfaces. | ||
J Mater Sci Mater Med Surface changes of nanotopography by carbon ion implantation to enhance the biocompatibility of silicone rubber: an in vitro study of the optimum ion fluence and adsorbed protein. | ||
J Exp Clin Cancer Res Tumor cell-derived SPON2 promotes M2-polarized tumor-associated macrophage infiltration and cancer progression by activating PYK2 in CRC. | ||
J Immunol Res Tuftelin 1 Facilitates Hepatocellular Carcinoma Progression through Regulation of Lipogenesis and Focal Adhesion Maturation. |













