验证数据展示
经过测试的应用
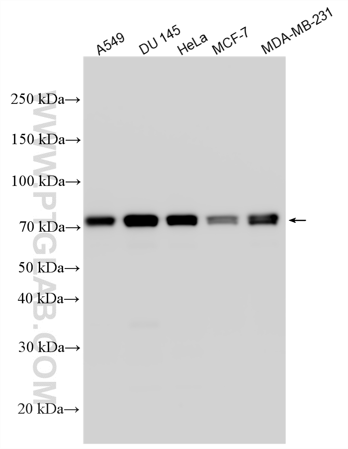
| Positive WB detected in | A549 cells, HeLa cells, MCF-7 cells, DU 145 cells, MDA-MB-231 cells |
| Positive IHC detected in | mouse kidney tissue Note: suggested antigen retrieval with TE buffer pH 9.0; (*) Alternatively, antigen retrieval may be performed with citrate buffer pH 6.0 |
| Positive IF/ICC detected in | A549 cells |
推荐稀释比
| 应用 | 推荐稀释比 |
|---|---|
| Western Blot (WB) | WB : 1:1000-1:5000 |
| Immunohistochemistry (IHC) | IHC : 1:50-1:500 |
| Immunofluorescence (IF)/ICC | IF/ICC : 1:50-1:500 |
| It is recommended that this reagent should be titrated in each testing system to obtain optimal results. | |
| Sample-dependent, Check data in validation data gallery. | |
产品信息
10330-1-AP targets Zyxin in WB, IHC, IF/ICC, IP, ELISA applications and shows reactivity with human samples.
| 经测试应用 | WB, IHC, IF/ICC, ELISA Application Description |
| 文献引用应用 | WB, IF, IP |
| 经测试反应性 | human |
| 文献引用反应性 | human, mouse, rabbit |
| 免疫原 |
CatNo: Ag0419 Product name: Recombinant human ZYX protein Source: e coli.-derived, PGEX-4T Tag: GST Domain: 278-572 aa of BC008743 Sequence: SKFSPGAPGGSGSQPNQKLGHPEALSAGTGSPQPPSFTYAQQREKPRVQEKQHPVPPPAQNQNQVRSPGAPGPLTLKEVEELEQLTQQLMQDMEHPQRQNVAVNELCGRCHQPLARAQPAVRALGQLFHIACFTCHQCAQQLQGQQFYSLEGAPYCEGCYTDTLEKCNTCGEPITDRMLRATGKAYHPHCFTCVVCARPLEGTSFIVDQANRPHCVPDYHKQYAPRCSVCSEPIMPEPGRDETVRVVALDKNFHMKCYKCEDCGKPLSIEADDNGCFPLDGHVLCRKCHTARAQT 种属同源性预测 |
| 宿主/亚型 | Rabbit / IgG |
| 抗体类别 | Polyclonal |
| 产品类型 | Antibody |
| 全称 | zyxin |
| 别名 | ZYX, Zyxin-2 |
| 计算分子量 | 80 kDa |
| 观测分子量 | 78 kDa |
| GenBank蛋白编号 | BC008743 |
| 基因名称 | Zyxin |
| Gene ID (NCBI) | 7791 |
| RRID | AB_2221279 |
| 偶联类型 | Unconjugated |
| 形式 | Liquid |
| 纯化方式 | Antigen affinity purification |
| UNIPROT ID | Q15942 |
| 储存缓冲液 | PBS with 0.02% sodium azide and 50% glycerol, pH 7.3. |
| 储存条件 | Store at -20°C. Stable for one year after shipment. Aliquoting is unnecessary for -20oC storage. |
背景介绍
Focal adhesions are actin-rich structures that enable cells to adhere to the extracellular matrix and at which protein complexes involved in signal transduction assemble. Zyxin (ZYX) is a zinc-binding phosphoprotein that concentrates at focal adhesions and along the actin cytoskeleton. Zyxin has an N-terminal proline-rich domain and three LIM domains in its C-terminal half. The proline-rich domain may interact with SH3 domains of proteins involved in signal transduction pathways while the LIM domains are likely involved in protein-protein binding. Zyxin may function as a messenger in the signal transduction pathway that mediates adhesion-stimulated changes in gene expression and may modulate the cytoskeletal organization of actin bundles.
实验方案
| Product Specific Protocols | |
|---|---|
| IF protocol for Zyxin antibody 10330-1-AP | Download protocol |
| IHC protocol for Zyxin antibody 10330-1-AP | Download protocol |
| WB protocol for Zyxin antibody 10330-1-AP | Download protocol |
| Standard Protocols | |
|---|---|
| Click here to view our Standard Protocols |
发表文章
| Species | Application | Title |
|---|---|---|
J Cell Biol The late endosomal p14-MP1 (LAMTOR2/3) complex regulates focal adhesion dynamics during cell migration. | ||
Cell Death Dis Essential role of zyxin in platelet biogenesis and glycoprotein Ib-IX surface expression
| ||
Cell Prolif Zyxin-involved actin regulation is essential in the maintenance of vinculin focal adhesion and chondrocyte differentiation status.
| ||
J Biol Chem O-GlcNAc transferase promotes the nuclear localization of the focal adhesion-associated protein Zyxin to regulate UV-induced cell death. | ||
Am J Physiol Gastrointest Liver Physiol Targeted disruption of the Lasp-1 gene is linked to increases in histamine-stimulated gastric HCl secretion. | ||
Physiol Genomics Lasp1 gene disruption is linked to enhanced cell migration and tumor formation. |



