验证数据展示
经过测试的应用
| Positive WB detected in | HeLa cells, HepG2 cells |
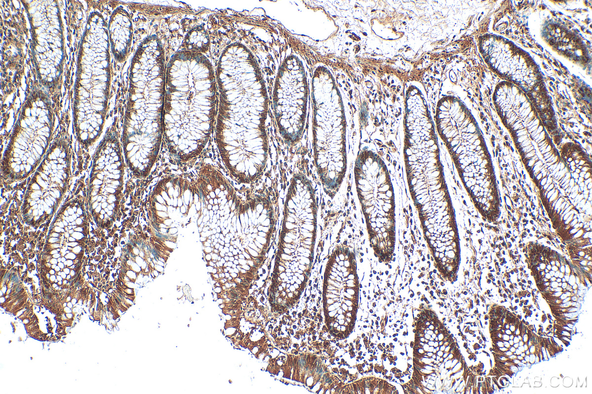
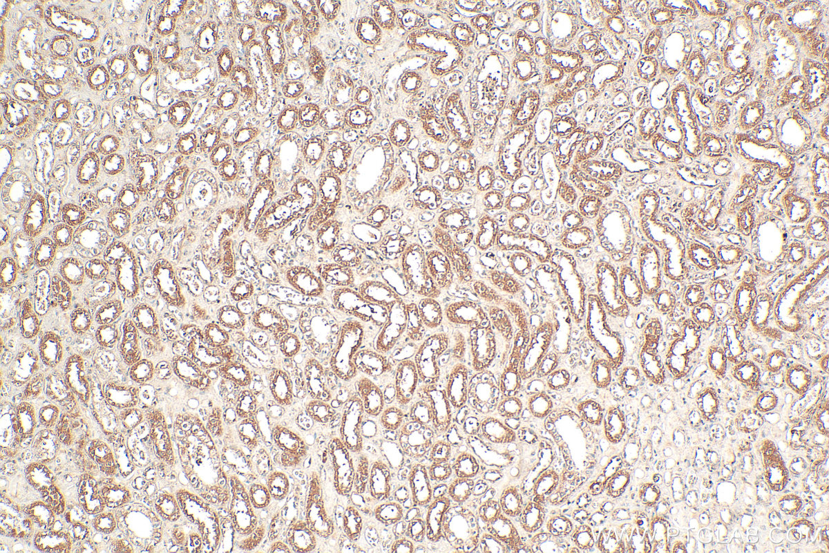
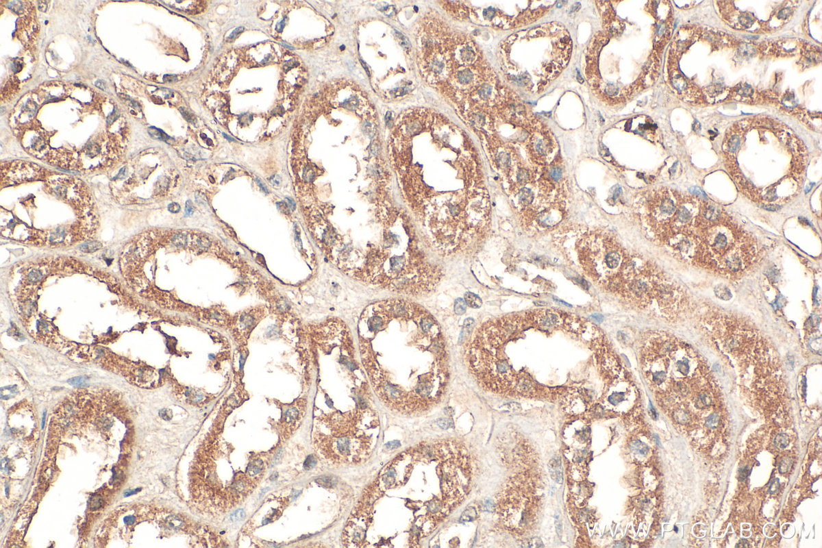
| Positive IHC detected in | human colon tissue, human kidney tissue Note: suggested antigen retrieval with TE buffer pH 9.0; (*) Alternatively, antigen retrieval may be performed with citrate buffer pH 6.0 |
推荐稀释比
| 应用 | 推荐稀释比 |
|---|---|
| Western Blot (WB) | WB : 1:5000-1:50000 |
| Immunohistochemistry (IHC) | IHC : 1:50-1:500 |
| It is recommended that this reagent should be titrated in each testing system to obtain optimal results. | |
| Sample-dependent, Check data in validation data gallery. | |
产品信息
21630-1-AP targets ZSCAN29 in WB, IHC, ELISA applications and shows reactivity with human samples.
| 经测试应用 | WB, IHC, ELISA Application Description |
| 经测试反应性 | human |
| 免疫原 |
CatNo: Ag16239 Product name: Recombinant human ZSCAN29 protein Source: e coli.-derived, PGEX-4T Tag: GST Domain: 99-304 aa of BC109271 Sequence: PGRPRSSVTVSVKGQEVRLEKMTPPKSSQELLSVRQESVEPQPRGVPKKERARSPDLGPQEQMNPKEKLKPFQRSGFEAGFENEDNSKRDISEEVQLHRTLLARSERKIPRYLHQGKGNESDCRSGRQWAKTSGEKRGKLTLPEKSLSEVLSQQRPCLGERPYKYLKYSKSFGPNSLLMHQVSHQVENPYKCADCGKSFSRSARLI 种属同源性预测 |
| 宿主/亚型 | Rabbit / IgG |
| 抗体类别 | Polyclonal |
| 产品类型 | Antibody |
| 全称 | zinc finger and SCAN domain containing 29 |
| 别名 | Zfp690, Zinc finger and SCAN domain-containing protein 29, ZNF690 |
| 计算分子量 | 852 aa, 97 kDa |
| 观测分子量 | 96-97 kDa |
| GenBank蛋白编号 | BC109271 |
| 基因名称 | ZSCAN29 |
| Gene ID (NCBI) | 146050 |
| RRID | AB_3085664 |
| 偶联类型 | Unconjugated |
| 形式 | Liquid |
| 纯化方式 | Antigen affinity purification |
| UNIPROT ID | Q8IWY8 |
| 储存缓冲液 | PBS with 0.02% sodium azide and 50% glycerol, pH 7.3. |
| 储存条件 | Store at -20°C. Stable for one year after shipment. Aliquoting is unnecessary for -20oC storage. |
背景介绍
ZSCAN29 (zinc finger and SCAN domain containing 29), also named as ZNF690 or Zfp690. It is predicted to be located in nucleus and ubiquitous expression in testis and lymph node. The calculated molecular weight of ZSCAN29 is 96 kDa. The genes ZSCAN29 (associated with five disorders: SCZ, BIP, MD, ASD and ADHD) and ZSCAN31 (associated with three disorders: SCZ, BIP and MD) encode zing finger transcription factor proteins that belong to the krueppel C2H2-type zinc-finger protein family. Zinc finger proteins are essential in multiple regulatory mechanisms and some have been associated with psychiatric disorders as reviewed by Squassina et al., 2019 (PMID: 34637873). It also enables sequence-specific double-stranded DNA binding activity and be predicted to be involved in regulation of transcription by RNA polymerase II.
实验方案
| Product Specific Protocols | |
|---|---|
| IHC protocol for ZSCAN29 antibody 21630-1-AP | Download protocol |
| WB protocol for ZSCAN29 antibody 21630-1-AP | Download protocol |
| Standard Protocols | |
|---|---|
| Click here to view our Standard Protocols |




