验证数据展示
经过测试的应用
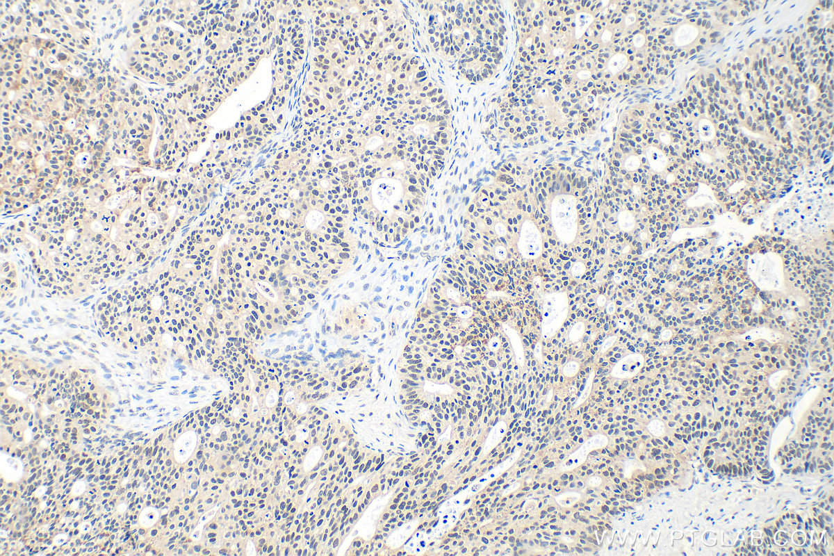
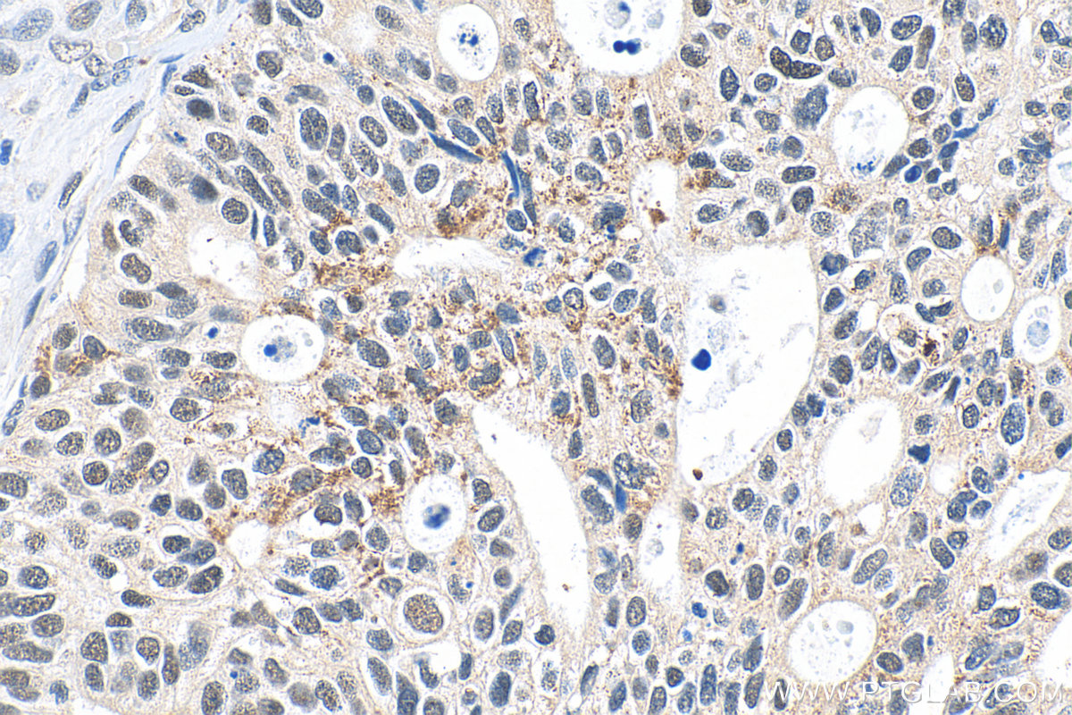
| Positive IHC detected in | human ovary tumor tissue Note: suggested antigen retrieval with TE buffer pH 9.0; (*) Alternatively, antigen retrieval may be performed with citrate buffer pH 6.0 |
| Positive IF/ICC detected in | U-251 cells |
推荐稀释比
| 应用 | 推荐稀释比 |
|---|---|
| Immunohistochemistry (IHC) | IHC : 1:50-1:500 |
| Immunofluorescence (IF)/ICC | IF/ICC : 1:50-1:500 |
| It is recommended that this reagent should be titrated in each testing system to obtain optimal results. | |
| Sample-dependent, Check data in validation data gallery. | |
产品信息
21221-1-AP targets ZNF816 in IHC, IF/ICC, ELISA applications and shows reactivity with human samples.
| 经测试应用 | IHC, IF/ICC, ELISA Application Description |
| 经测试反应性 | human |
| 免疫原 |
CatNo: Ag15658 Product name: Recombinant human ZNF816A protein Source: e coli.-derived, PGEX-4T Tag: GST Domain: 399-506 aa of BC105930 Sequence: CEECDNVYIRRSHLERHRKIHTGEGSYKCKVCDKVFRSDSYLAEHQRVHTGEKPYKCNKCGRSFSRKSSLQYHHTLHTGEKPYTCNECGKVFSRRENLARHHRLHAGE 种属同源性预测 |
| 宿主/亚型 | Rabbit / IgG |
| 抗体类别 | Polyclonal |
| 产品类型 | Antibody |
| 全称 | zinc finger protein 816A |
| 别名 | ZNF816A |
| 计算分子量 | 651 aa, 76 kDa |
| GenBank蛋白编号 | BC105930 |
| 基因名称 | ZNF816A |
| Gene ID (NCBI) | 125893 |
| 偶联类型 | Unconjugated |
| 形式 | Liquid |
| 纯化方式 | Antigen affinity purification |
| UNIPROT ID | Q0VGE8 |
| 储存缓冲液 | PBS with 0.02% sodium azide and 50% glycerol, pH 7.3. |
| 储存条件 | Store at -20°C. Stable for one year after shipment. Aliquoting is unnecessary for -20oC storage. |
背景介绍
ZNF816 ( Zinc finger protein 816), a direct target of ZBED4, was found to interact with multiple FDA-approved immunomodulatory agents, suggesting a potential ZBED4-ZNF816 regulatory axis with translational value.
实验方案
| Product Specific Protocols | |
|---|---|
| IF protocol for ZNF816 antibody 21221-1-AP | Download protocol |
| IHC protocol for ZNF816 antibody 21221-1-AP | Download protocol |
| Standard Protocols | |
|---|---|
| Click here to view our Standard Protocols |



