验证数据展示
经过测试的应用
| Positive WB detected in | HeLa cells |
| Positive IP detected in | HeLa cells |
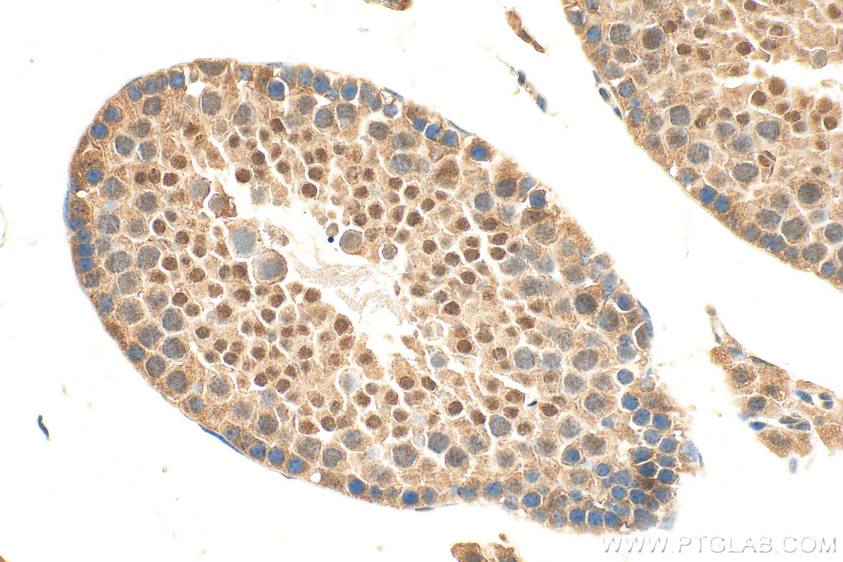
| Positive IHC detected in | mouse testis tissue Note: suggested antigen retrieval with TE buffer pH 9.0; (*) Alternatively, antigen retrieval may be performed with citrate buffer pH 6.0 |
推荐稀释比
| 应用 | 推荐稀释比 |
|---|---|
| Western Blot (WB) | WB : 1:200-1:1000 |
| Immunoprecipitation (IP) | IP : 0.5-4.0 ug for 1.0-3.0 mg of total protein lysate |
| Immunohistochemistry (IHC) | IHC : 1:500-1:2000 |
| It is recommended that this reagent should be titrated in each testing system to obtain optimal results. | |
| Sample-dependent, Check data in validation data gallery. | |
产品信息
25817-1-AP targets ZNF639 in WB, IHC, IP, ELISA applications and shows reactivity with human samples.
| 经测试应用 | WB, IHC, IP, ELISA Application Description |
| 经测试反应性 | human |
| 免疫原 |
CatNo: Ag19854 Product name: Recombinant human ZNF639 protein Source: e coli.-derived, PET28a Tag: 6*His Domain: 136-485 aa of BC026181 Sequence: EDVPIAVEVHAISEDYDIETENNSSESLQDQTDEEPPAKLCKILDKSQALNVTAQQKWPLLRANSSGLYKCELCEFNSKYFSDLKQHMILKHKRTDSNVCRVCKESFSTNMLLIEHAKLHEEDPYICKYCDYKTVIFENLSQHIADTHFSDHLYWCEQCDVQFSSSSELYLHFQEHSCDEQYLCQFCEHETNDPEDLHSHVVNEHACKLIELSDKYNNGEHGQYSLLSKITFDKCKNFFVCQVCGFRSRLHTNVNRHVAIEHTKIFPHVCDDCGKGFSSMLEYCKHLNSHLSEGIYLCQYCEYSTGQIEDLKIHLDFKHSADLPHKCSDCLMRFGNERELISHLPVHETT 种属同源性预测 |
| 宿主/亚型 | Rabbit / IgG |
| 抗体类别 | Polyclonal |
| 产品类型 | Antibody |
| 全称 | zinc finger protein 639 |
| 别名 | ANC 2H01, ANC_2H01, ZASC1, Zinc finger protein 639, Zinc finger protein ANC_2H01 |
| 计算分子量 | 485 aa, 56 kDa |
| 观测分子量 | 65-70 kDa |
| GenBank蛋白编号 | BC026181 |
| 基因名称 | ZNF639 |
| Gene ID (NCBI) | 51193 |
| RRID | AB_2880251 |
| 偶联类型 | Unconjugated |
| 形式 | Liquid |
| 纯化方式 | Antigen affinity purification |
| UNIPROT ID | Q9UID6 |
| 储存缓冲液 | PBS with 0.02% sodium azide and 50% glycerol, pH 7.3. |
| 储存条件 | Store at -20°C. Stable for one year after shipment. Aliquoting is unnecessary for -20oC storage. |
背景介绍
ZNF639, also named as ZASC1, is a 485 amino acid protein, which locates in the nucleus and contains 8 C2H2-type zinc fingers and belongs to the krueppel C2H2-type zinc-finger protein family. ZNF639 binds DNA and may function as a transcriptional repressor.
实验方案
| Product Specific Protocols | |
|---|---|
| IHC protocol for ZNF639 antibody 25817-1-AP | Download protocol |
| IP protocol for ZNF639 antibody 25817-1-AP | Download protocol |
| WB protocol for ZNF639 antibody 25817-1-AP | Download protocol |
| Standard Protocols | |
|---|---|
| Click here to view our Standard Protocols |


